Ежедневно с 8:00 до 21:00

+7 (495) 324-50-50

пр. Космонавтов, д.11

+7 (495) 151-88-18

Детское отделение

+7 (495) 989-00-48

пр. Космонавтов, д.37

+7 (495) 156-20-30

ул. Терешковой, д.8

+7 (495) 104-42-00

отдел качества

+7 (495) 801-68-68

Общий телефон

+7 (495) 324-50-50

пр. Космонавтов, д.11

+7 (495) 151-88-18

Детское отделение

+7 (495) 989-00-48

пр. Космонавтов, д.37

+7 (495) 156-20-30

ул. Терешковой, д.8

+7 (495) 104-42-00

отдел качества

Ежедневно с 8:00 до 21:00

Взрослая стоматология
Детская стоматология
+7 (495) 801-68-68

Общий телефон

+7 (495) 324-50-50

пр. Космонавтов, д.11

+7 (495) 151-88-18

Детское отделение

+7 (495) 989-00-48

пр. Космонавтов, д.37

+7 (495) 156-20-30

ул. Терешковой, д.8

+7 (495) 104-42-00

отдел качества

Взрослая стоматология
Детская стоматология

Съемное протезирование зубов

В медицинском центре «Интердентос» применяются инновационные и надежные технологии изготовления съемных протезов, кроме того у нас есть собственная зуботехническая лаборатория, которая позволяет использовать современные материалы и технологии, что позволяет сделать любую конструкцию анатомически безупречной и комфортной для пациента.
9 клиник

9 клиник

В 5 городах подмосковья:
Королёв, Мытищи, Щёлково, Пушкино и Балашиха.
с 1998 года

с 1998 года

Многолетний накопленный опыт и собственная научная база позволяет решать даже самые сложные случаи
250 тысяч пациентов

250 тысяч пациентов

Доверили нам своё здоровье.
80% из них
— пришли к нам по рекомендациям
-0

Актуальность съемных зубных протезов

Несмотря на развитие ортопедической стоматологии, несъемное протезирование не всегда оказывается возможным. В этом случае решением становятся съемные протезы, которые пациент может самостоятельно надеть или снять.

Современные технологии изготовления съемных протезов вкупе с использованием инновационных материалов позволяют создавать удобные и надежные конструкции, которые не только качественно выполняют жевательные функции, но и выглядят естественно и эстетично. При этом срок изготовления протезов постоянно сокращается благодаря применению новых производственных методик.

Быстрая запись на приём

Оставьте номер телефона и администратор перезвонит Вам в течение 5 минут.

img

Спасибо!

Наши специалисты свяжутся с вами в ближайшее время.

Ежедневно с 8:00 до 21:00

+7 (495) 801-68-68

Общий телефон

+7 (495) 324-50-50

пр. Космонавтов, д.11

+7 (495) 151-88-18

Детское отделение

+7 (495) 989-00-48

пр. Космонавтов, д.37

+7 (495) 156-20-30

ул. Терешковой, д.8

+7 (495) 104-42-00

отдел качества

Услуги

Показать всё

Услуги

Показать всё

Наши врачи ортопеды

Все врачи

Наше оборудование

CEREC - технология художественной реставрации зубов за 2 часа

CEREC - технология художественной реставрации зубов за 2 часа

CAD/CAM система CEREC позволяет проводить лечение и протезирование зубов быстро и с высокой точностью – благодаря специальному сканеру, воспроизводящему модель зуба в 3D. CEREC Omnicam, MEDIT  i700,  PrimeScan.
Дентальный микроскоп

Дентальный микроскоп

Использование ультрасовременных дентальных микроскопов создает уникальные возможности для спасения «безнадежных зубов». Микроскопы:  Advanced,  Karl Kaps,  Carl Zeiss EXTARO 300, Prima D с вариоскопом.
3D томограф Galileos

3D томограф Galileos

Охватывает всю зубочелюстную систему, включая пазухи. А благодаря 3D-моделированию аппарат  позволяет повысить диагностическую точность и виртуально спланировать наиболее эффективное лечение.
Артикулятор

Артикулятор

Является универсальным прибором для диагностики и терапии, он имитирует жевательные движения, точно определяя анатомические особенности пациента и незаменим при изготовлении ортопедических конструкций.
Дентальный компьютерный томограф Planmeca ProMax

Дентальный компьютерный томограф Planmeca ProMax

Уникальный компьютерный томограф для качественной диагностики  и планирования лечения
Sleeper One - электронная система анестезии

Sleeper One - электронная система анестезии

Система анестезии нового поколения, объём, скорость и давление подачи препарата контролируется электронной системой. Специальные иглы обеспечивают безболезненность и снижают травматичность тканей.
Стоматологическая установка DENTSPLY SIRONA

Стоматологическая установка DENTSPLY SIRONA

Признаны стоматологами во всём мире, как наиболее совершенные и комфортные, обладающие передовыми характеристиками. Обладают наградами iF Design Gold Award и German Design Award.
Интраоральный 3D-сканер

Интраоральный 3D-сканер

3D-сканирование можно назвать новым стандартом в стоматологической практике, который становится всё более распространенным. 3D-сканер позволяет достичь высочайшей точности и качества в протезировании.

Цены на съемное протезирование зубов

Все цены

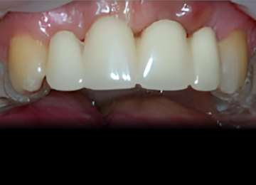
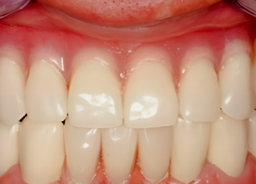
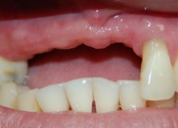
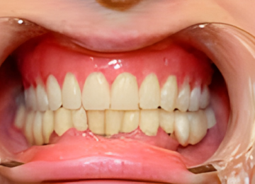
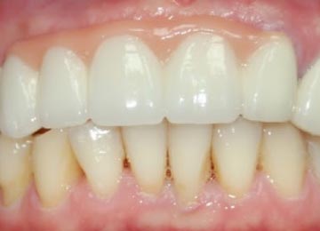
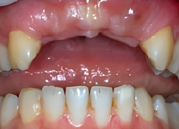
Съемное протезирование: фото До и После

Фото ДО
Фото ПОСЛЕ

Наведите для просмотра

Акри Фри

Фото ДО
Фото ПОСЛЕ

Наведите для просмотра

Акри Фри

Фото ДО
Фото ПОСЛЕ

Наведите для просмотра

Акри Фри

Фото ДО
Фото ПОСЛЕ

Наведите для просмотра

Нейлоновые протезы

Фото ДО
Фото ПОСЛЕ

Наведите для просмотра

Нейлоновые протезы

Фото ДО
Фото ПОСЛЕ

Наведите для просмотра

Нейлоновые протезы

Фото ДО
Фото ПОСЛЕ

Наведите для просмотра

Квадротти протезы

Фото ДО
Фото ПОСЛЕ

Наведите для просмотра

Квадротти протезы

Фото ДО
Фото ПОСЛЕ

Наведите для просмотра

Квадротти протезы

Наши клиники

Детское отделение

Клиника «Эксперт»

Центр экспертной ортодонтии и цифровой стоматологии

Клиника экстренной помощи

Наши лицензии

Лечение проводится на основании действующих медицинских лицензий Л041-01162-50/00360420 и Л041-01162-50/00367813. Это гарантирует, что все процедуры — от диагностики до реставрации — выполняются безопасно, с использованием сертифицированных материалов и оборудования, в строгом соответствии с российскими стандартами.

Л041-01162-50/00360420 Л041-01162-50/00360420

Открыть PDF
Л041-01162-50/00367813-1 Л041-01162-50/00367813

Л041-01162-50/00367813-2 Л041-01162-50/00367813

Л041-01162-50/00367813-3 Л041-01162-50/00367813

Л041-01162-50/00367813-4 Л041-01162-50/00367813

Л041-01162-50/00367813-5 Л041-01162-50/00367813

Л041-01162-50/00367813-6 Л041-01162-50/00367813

Л041-01162-50/00367813-7 Л041-01162-50/00367813

Л041-01162-50/00367813-8 Л041-01162-50/00367813

Л041-01162-50/00367813 Л041-01162-50/00367813

Открыть PDF

Показания к установке зубных протезов

Изготовление съемных зубных протезов целесообразно в следующих случаях:

  • Отсутствие зубов (частичное или полное);
  • Невозможность имплантации;
  • В качестве временного варианта;
  • Для укрепления расшатанных зубов (с помощью бюгельного протеза);
  • При отсутствии зубов, служащих опорой для несъемного протеза;
  • При выраженном пародонтозе или пародонтите.

Достоинства и недостатки съемных зубных протезов

Съемное протезирование обладает рядом преимуществ, в числе которых:

  • Простой уход за конструкцией;
  • Эстетичный внешний вид протеза;
  • Изготовление полного съемного протеза – оптимальное решение при абсолютной адентии;
  • Умеренная стоимость протезирования при разумном сроке изготовления.

При этом следует знать и о недостатках съемного протезирования:

  • Конструкция недостаточно прочно закрепляется в полости рта, и во время разговора или при пережевывании пищи может выйти за границу челюсти. Исправить такое положение помогает применение фиксирующего средства;
  • Из-за передачи жевательной нагрузки на слизистую верхней (опорной для протезов) части челюсти происходит постепенное сужение сосудов, ухудшается кровоток, наблюдаются отечные явления;
  • Низкая теплопроводность материалов, применяемых при изготовлении съемных протезов на имплантах, пластиночных или бюгельных конструкций, становится причиной температурной разницы под конструкциями и снаружи них, что, в сочетании со скопившимися в порах частичками пищи, может привести к воспалению и неприятному запаху.

Этапы съемного протезирования зубов

Изготовление съемных пластиночных протезов, бюгельных или нейлоновых, несмотря на различия конструктивных особенностей, происходит по одной схеме:

  • Делается рентгеновский снимок зубочелюстной системы;
  • Доктор снимает слепки;
  • В лаборатории изготавливают нужную конструкцию;
  • Готовый протез примеряется;
  • При необходимости производится коррекция конструкции;
  • Протез устанавливается.
Консилиум врачей в подарок Получить подарок