Ежедневно с 8:00 до 21:00

+7 (495) 324-50-50

пр. Космонавтов, д.11

+7 (495) 151-88-18

Детское отделение

+7 (495) 989-00-48

пр. Космонавтов, д.37

+7 (495) 156-20-30

ул. Терешковой, д.8

+7 (495) 104-42-00

отдел качества

+7 (495) 801-68-68

Общий телефон

+7 (495) 324-50-50

пр. Космонавтов, д.11

+7 (495) 151-88-18

Детское отделение

+7 (495) 989-00-48

пр. Космонавтов, д.37

+7 (495) 156-20-30

ул. Терешковой, д.8

+7 (495) 104-42-00

отдел качества

Ежедневно с 8:00 до 21:00

Взрослая стоматология
Детская стоматология
+7 (495) 801-68-68

Общий телефон

+7 (495) 324-50-50

пр. Космонавтов, д.11

+7 (495) 151-88-18

Детское отделение

+7 (495) 989-00-48

пр. Космонавтов, д.37

+7 (495) 156-20-30

ул. Терешковой, д.8

+7 (495) 104-42-00

отдел качества

Взрослая стоматология
Детская стоматология

Профилактика зубов детям

Профилактика детских зубов важнее, чем кажется. У детей кариес развивается быстро: сегодня «точка», через пару месяцев уже гнилой зуб, боль и сложное лечение. К сожалению, чаще всего родители приходят только тогда, когда «всё плохо».

А это стресс для ребёнка, долгие приёмы, обезболивание и большие счета. Хотя предотвратить всё это можно простым маршрутом: регулярная гигиена и профосмотр раз в несколько месяцев.

9 клиник

9 клиник

В 5 городах подмосковья:
Королёв, Мытищи, Щёлково, Пушкино и Балашиха.
с 1998 года

с 1998 года

Многолетний накопленный опыт и собственная научная база позволяет решать даже самые сложные случаи
250 тысяч пациентов

250 тысяч пациентов

Доверили нам своё здоровье.
80% из них
— пришли к нам по рекомендациям
-0

  • Профилактика занимает 20 минут, проходит спокойно и не даёт кариесу даже шанса начаться. Профилактика - это прийти планово и вовремя.

  • Дешевле, быстрее, комфортнее и действительно спасает зубы. Просто приходите заранее. Именно так сохраняют детские зубы здоровыми.

Что рекомендуем проходить регулярно:

  • профилактический осмотр детского стоматолога,
  • профессиональная гигиена полости рта,
  • герметизация фиссур,
  • фторирование.

Быстрая запись на приём

Оставьте номер телефона и администратор перезвонит Вам в течение 5 минут.

img

Спасибо!

Наши специалисты свяжутся с вами в ближайшее время.

Ежедневно с 8:00 до 21:00

+7 (495) 801-68-68

Общий телефон

+7 (495) 324-50-50

пр. Космонавтов, д.11

+7 (495) 151-88-18

Детское отделение

+7 (495) 989-00-48

пр. Космонавтов, д.37

+7 (495) 156-20-30

ул. Терешковой, д.8

+7 (495) 104-42-00

отдел качества

Услуги

Услуги

Врачи направления

Все врачи

Цены на профилактику зубов

Все цены

Наши работы

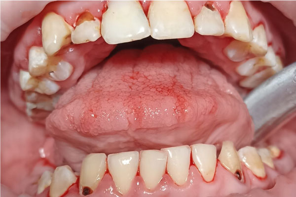
Фото ДО
Фото ПОСЛЕ

Наведите для просмотра

Профессиональная гигиена молочных зубов

Наши клиники

Детское отделение

Клиника «Эксперт»

Центр экспертной ортодонтии и цифровой стоматологии

Клиника экстренной помощи

Наши лицензии

Лечение проводится на основании действующих медицинских лицензий Л041-01162-50/00360420 и Л041-01162-50/00367813. Это гарантирует, что все процедуры — от диагностики до реставрации — выполняются безопасно, с использованием сертифицированных материалов и оборудования, в строгом соответствии с российскими стандартами.

Л041-01162-50/00360420 Л041-01162-50/00360420

Открыть PDF
Л041-01162-50/00367813-1 Л041-01162-50/00367813

Л041-01162-50/00367813-2 Л041-01162-50/00367813

Л041-01162-50/00367813-3 Л041-01162-50/00367813

Л041-01162-50/00367813-4 Л041-01162-50/00367813

Л041-01162-50/00367813-5 Л041-01162-50/00367813

Л041-01162-50/00367813-6 Л041-01162-50/00367813

Л041-01162-50/00367813-7 Л041-01162-50/00367813

Л041-01162-50/00367813-8 Л041-01162-50/00367813

Л041-01162-50/00367813 Л041-01162-50/00367813

Открыть PDF
Консилиум врачей в подарок Получить подарок