Ежедневно с 8:00 до 21:00

+7 (495) 324-50-50

пр. Космонавтов, д.11

+7 (495) 151-88-18

Детское отделение

+7 (495) 989-00-48

пр. Космонавтов, д.37

+7 (495) 156-20-30

ул. Терешковой, д.8

+7 (495) 104-42-00

отдел качества

+7 (495) 801-68-68

Общий телефон

+7 (495) 324-50-50

пр. Космонавтов, д.11

+7 (495) 151-88-18

Детское отделение

+7 (495) 989-00-48

пр. Космонавтов, д.37

+7 (495) 156-20-30

ул. Терешковой, д.8

+7 (495) 104-42-00

отдел качества

Ежедневно с 8:00 до 21:00

Взрослая стоматология
Детская стоматология
+7 (495) 801-68-68

Общий телефон

+7 (495) 324-50-50

пр. Космонавтов, д.11

+7 (495) 151-88-18

Детское отделение

+7 (495) 989-00-48

пр. Космонавтов, д.37

+7 (495) 156-20-30

ул. Терешковой, д.8

+7 (495) 104-42-00

отдел качества

Взрослая стоматология
Детская стоматология

Исправление прикуса у детей

Детская ортодонтия – это область стоматологии, направленная на лечение врожденных проблем, обычно влияющих на формирование жевательно-речевого аппарата. Уже в младенческом возрасте желательно показать малыша врачу-ортодонту в целях профилактики, так как именно в этот период режутся первые зубы, и начинает формироваться зубочелюстная система.
9 клиник

9 клиник

В 5 городах подмосковья:
Королёв, Мытищи, Щёлково, Пушкино и Балашиха.
с 1998 года

с 1998 года

Многолетний накопленный опыт и собственная научная база позволяет решать даже самые сложные случаи
250 тысяч пациентов

250 тысяч пациентов

Доверили нам своё здоровье.
80% из них
— пришли к нам по рекомендациям
-0

На что влияет неправильный прикуса у ребёнка?

Неправильный прикус у детей приводит к множеству проблем. Во-первых, это некрасиво, во-вторых, трудно пережевывать пищу, в-третьих, сложно качественно почистить зубы, в-четвертых, возможно нарушение дикции. К счастью, исправление прикуса у ребенка происходит проще, чем у взрослого, так как детские зубы достаточно подвижны. Существует несколько способов исправления прикуса у малышей, среди которых можно выделить 3 самых популярных.

Быстрая запись на приём

Оставьте номер телефона и администратор перезвонит Вам в течение 5 минут.

img

Спасибо!

Наши специалисты свяжутся с вами в ближайшее время.

Ежедневно с 8:00 до 21:00

+7 (495) 801-68-68

Общий телефон

+7 (495) 324-50-50

пр. Космонавтов, д.11

+7 (495) 151-88-18

Детское отделение

+7 (495) 989-00-48

пр. Космонавтов, д.37

+7 (495) 156-20-30

ул. Терешковой, д.8

+7 (495) 104-42-00

отдел качества

Услуги

Услуги

Врачи отделения

Все врачи

Цены на исправление прикуса

Все цены
  • Изготовление пластинок для исправления прикуса

    22141

  • Коррекция прикуса с использованием съемных и несъемных конструкций, окклюзионная каппа для лечения дисфункции ВНЧС (СПЛИНТ)

    32976

  • фиксация вестибулярных брекетов в полости рта (за 1 челюсть)

    29802

Результат лечения

Фото ДО
Фото ПОСЛЕ

Наведите для просмотра

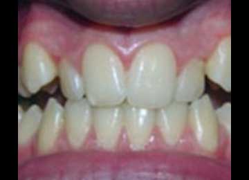
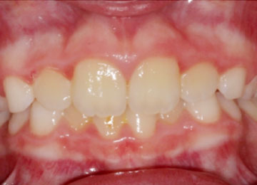
Исправление прикуса подросткам

Фото ДО
Фото ПОСЛЕ

Наведите для просмотра

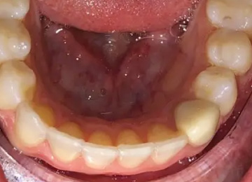
Капа для выравнивая зубов

Фото ДО
Фото ПОСЛЕ

Наведите для просмотра

Капа для выравнивая зубов

Фото ДО
Фото ПОСЛЕ

Наведите для просмотра

Исправление прикуса пластинками

Фото ДО
Фото ПОСЛЕ

Наведите для просмотра

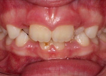
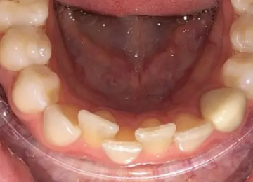
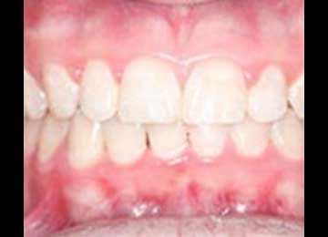
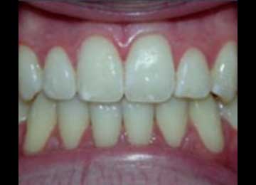
Исправление прикуса у детей

Фото ДО
Фото ПОСЛЕ

Наведите для просмотра

Исправление прикуса у детей

Наши клиники

Детское отделение

Клиника «Эксперт»

Центр экспертной ортодонтии и цифровой стоматологии

Клиника экстренной помощи

Наши лицензии

Лечение проводится на основании действующих медицинских лицензий Л041-01162-50/00360420 и Л041-01162-50/00367813. Это гарантирует, что все процедуры — от диагностики до реставрации — выполняются безопасно, с использованием сертифицированных материалов и оборудования, в строгом соответствии с российскими стандартами.

Л041-01162-50/00360420 Л041-01162-50/00360420

Открыть PDF
Л041-01162-50/00367813-1 Л041-01162-50/00367813

Л041-01162-50/00367813-2 Л041-01162-50/00367813

Л041-01162-50/00367813-3 Л041-01162-50/00367813

Л041-01162-50/00367813-4 Л041-01162-50/00367813

Л041-01162-50/00367813-5 Л041-01162-50/00367813

Л041-01162-50/00367813-6 Л041-01162-50/00367813

Л041-01162-50/00367813-7 Л041-01162-50/00367813

Л041-01162-50/00367813-8 Л041-01162-50/00367813

Л041-01162-50/00367813 Л041-01162-50/00367813

Открыть PDF

Исправление прикуса с помощью пластинки на зубы ребенку

Съемная пластинка на зубы ребенку из пластика изготавливается в лаборатории на основе слепков обеих челюстей маленького пациента. Конструкция оснащена крючками и пружинками, их натяжение регулируется ортодонтом. Пластинки важно носить, круглые сутки, снимая их только для приема пищи.

Исправление прикуса с помощью специальной капы

Для изготовления капы слепки не нужны. Врач-ортодонт проводит замеры в полости рта ребенка специальной линейкой и подбирает капу подходящую по размеру и типу. Капы, в отличие от пластинок, не требуется носить постоянно. Достаточно надевать их на время ночного сна и днем на пару-тройку часов. Капы можно использовать для коррекции прикуса с самого раннего возраста.

Исправление прикуса с помощью брекет-системы

Эта конструкция является несъемной. В нее входит металлическая дуга, различные пружинки, лигатуры и собственно брекеты. Система давит определенным образом на зубы, вынуждая их принять правильное положение. Брекеты можно носить детям, у которых уже все молочные зубы заменились постоянными – обычно после 12 лет.

Консилиум врачей в подарок Получить подарок