Ежедневно с 8:00 до 21:00

+7 (495) 324-50-50

пр. Космонавтов, д.11

+7 (495) 151-88-18

Детское отделение

+7 (495) 989-00-48

пр. Космонавтов, д.37

+7 (495) 156-20-30

ул. Терешковой, д.8

+7 (495) 104-42-00

отдел качества

+7 (495) 801-68-68

Общий телефон

+7 (495) 324-50-50

пр. Космонавтов, д.11

+7 (495) 151-88-18

Детское отделение

+7 (495) 989-00-48

пр. Космонавтов, д.37

+7 (495) 156-20-30

ул. Терешковой, д.8

+7 (495) 104-42-00

отдел качества

Ежедневно с 8:00 до 21:00

Взрослая стоматология
Детская стоматология
+7 (495) 801-68-68

Общий телефон

+7 (495) 324-50-50

пр. Космонавтов, д.11

+7 (495) 151-88-18

Детское отделение

+7 (495) 989-00-48

пр. Космонавтов, д.37

+7 (495) 156-20-30

ул. Терешковой, д.8

+7 (495) 104-42-00

отдел качества

Взрослая стоматология
Детская стоматология

Брекеты

Если природа не наделила вас красивыми и ровными зубами, это не значит, что всю жизнь придется скрывать улыбку или мириться с недостатками. Есть эффективный способ, который поможет решить проблему — брекеты. Эти классические щечные системы или лингвальные располагаются в конкретной зоне зубного ряда и корректируют несовершенства.
9 клиник

9 клиник

В 5 городах подмосковья:
Королёв, Мытищи, Щёлково, Пушкино и Балашиха.
с 1998 года

с 1998 года

Многолетний накопленный опыт и собственная научная база позволяет решать даже самые сложные случаи
250 тысяч пациентов

250 тысяч пациентов

Доверили нам своё здоровье.
80% из них
— пришли к нам по рекомендациям
-0

Идеальная улыбка – это просто!

Дефекты зубного ряда способны испортить жизнь и удовольствие от общения каждому – независимо от возраста и рода деятельности. Если вы устали скрывать неровные зубы и не можете открыто улыбаться, самое время посетить специалиста-ортодонта. Сколько бы вам ни было лет, установка брекетов поможет в решении проблем.

Быстрая запись на приём

Оставьте номер телефона и администратор перезвонит Вам в течение 5 минут.

img

Спасибо!

Наши специалисты свяжутся с вами в ближайшее время.

Ежедневно с 8:00 до 21:00

+7 (495) 801-68-68

Общий телефон

+7 (495) 324-50-50

пр. Космонавтов, д.11

+7 (495) 151-88-18

Детское отделение

+7 (495) 989-00-48

пр. Космонавтов, д.37

+7 (495) 156-20-30

ул. Терешковой, д.8

+7 (495) 104-42-00

отдел качества

Услуги

Показать всё

Услуги

Показать всё

Врачи направления

Все врачи

Цены на установку брекетов

Все цены

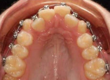
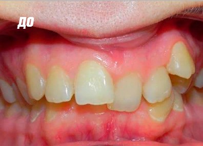
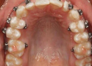
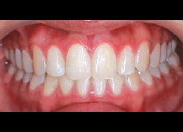
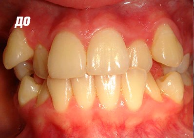
Брекеты: фото До и После

Фото ДО
Фото ПОСЛЕ

Наведите для просмотра

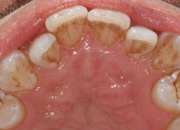
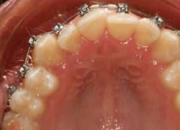
Брекет-системы

Фото ДО
Фото ПОСЛЕ

Наведите для просмотра

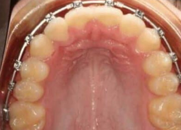
Брекет-системы

Фото ДО
Фото ПОСЛЕ

Наведите для просмотра

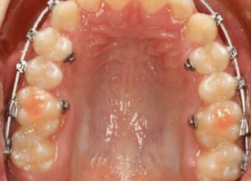
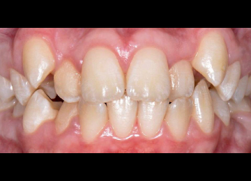
Брекеты Incognito

Фото ДО
Фото ПОСЛЕ

Наведите для просмотра

Брекеты Incognito

Фото ДО
Фото ПОСЛЕ

Наведите для просмотра

Брекеты H4

Фото ДО
Фото ПОСЛЕ

Наведите для просмотра

Брекеты H4

Фото ДО
Фото ПОСЛЕ

Наведите для просмотра

Брекеты Damon

Фото ДО
Фото ПОСЛЕ

Наведите для просмотра

Брекеты Damon

Фото ДО
Фото ПОСЛЕ

Наведите для просмотра

Брекеты Damon

Фото ДО
Фото ПОСЛЕ

Наведите для просмотра

Брекеты Damon

Наши клиники

Детское отделение

Клиника «Эксперт»

Центр экспертной ортодонтии и цифровой стоматологии

Клиника экстренной помощи

Наши лицензии

Лечение проводится на основании действующих медицинских лицензий Л041-01162-50/00360420 и Л041-01162-50/00367813. Это гарантирует, что все процедуры — от диагностики до реставрации — выполняются безопасно, с использованием сертифицированных материалов и оборудования, в строгом соответствии с российскими стандартами.

Л041-01162-50/00360420 Л041-01162-50/00360420

Открыть PDF
Л041-01162-50/00367813-1 Л041-01162-50/00367813

Л041-01162-50/00367813-2 Л041-01162-50/00367813

Л041-01162-50/00367813-3 Л041-01162-50/00367813

Л041-01162-50/00367813-4 Л041-01162-50/00367813

Л041-01162-50/00367813-5 Л041-01162-50/00367813

Л041-01162-50/00367813-6 Л041-01162-50/00367813

Л041-01162-50/00367813-7 Л041-01162-50/00367813

Л041-01162-50/00367813-8 Л041-01162-50/00367813

Л041-01162-50/00367813 Л041-01162-50/00367813

Открыть PDF

Что такое брекеты

Чтобы установить брекеты, понадобится не только подобрать надежную клинику с хорошей репутацией, но и пройти консультацию у специалиста-ортодонта с большим опытом и отличной квалификацией. Именно такие врачи работают в «Интердентос» в Королёве. В нашем медицинском центре установлено современное оборудование, а о качестве лечения можно судить по положительным откликам наших клиентов. Вас ждут доступные цены, профессиональный подход и результат, о котором вы мечтали!

Современные устройства, не лишенные изящества, соединяют несколько коронок. Брекеты не такие массивные, как съемные скобки. Они соединяются в межзубных промежутках, надавливая на зубы для выправления их положения плоскими накладками.

Форма накладок, а также сам принцип давления не травмируют зубную эмаль и не приводят к образованию выемок. Накладки могут быть изготовлены из таких материалов, как:

  • керамика (можно подобрать их в тон эмали);
  • металл (наиболее бюджетный вариант из современных);
  • пластик (непрактичные и почти вышедшие из обихода);
  • искусственный камень (сравнимые с ювелирными украшениями).

Коррекция возможна в любом возрасте, потому что зубы подвижны, они связаны с костью челюсти корнем, укрепляемым эластичными связками. Когда в определенном направлении осуществляется давление, происходит сдвиг и перестройка соединительной ткани. В итоге неровности зубного ряда исправляются. Для этого специалист подбирает соответствующие накладки, которые будут оказывать давление определенной силы в нужном направлении. 

Массивные скобки, которые применялись прежде вместо брекетов, давили на зубы проволочным каркасом, что могло приводить к повреждениям. Брекеты — щадящий вариант ортодонтических конструкций, аккуратный и безопасный.

Способы крепления брекетов

Внешне брекеты выглядят почти одинаковы, однако могут отличаться по способу крепления:

  • для лигатурных брекетов характерна фиксация специальным замком на эластичной ортодонтической дуге;
  • для безлигаторных брекетов креплением выступает закрывающаяся защелка со специальным пазом.

Источником давления, благодаря которому и осуществляется коррекция, выступает упругая дуга. Этот элемент брекетов задает постоянную силу давления, но отличается эластичностью, поэтому если положение изменилось, дуга все равно вернется в исходное.

В результате продолжительного ношения брекетов зубной ряд выравнивается естественным образом.

Материалы и модели брекетов

В стоматологии представлено немало разновидностей брекетов:

  • Декоративные. Они не влияют на зубной ряд. Такие брекеты часто используют в качестве украшения публичные люди.
  • Пластиковые брекеты. Наиболее доступные по цене, но ввиду пористости, присущей материалу, они недостаточно долговечные и могут окрашиваться пищей или напитками.
  • Керамические или фарфоровые брекеты. Такие конструкции легко подобрать в тон естественного цвета эмали, что делает их менее заметными.
  • Сапфировые брекеты. Наиболее дорогостоящие накладки, которые представляют собой искусственные полудрагоценные камни. Конструкция изящная и красивая, но если эмаль рыхлая, то могут возникнуть повреждения.
  • Металлические. Максимально практичные и безопасные. Материал не подвержен коррозии, не дает образовываться электрохимическому напряжению и позволяет проводить терапию в нужном ритме.

Обратите внимание: если у пациента есть металлические коронки, при установке системы брекетов используется аналогичный сплав. Применяются титан и никель.

Брекеты могут размещаться как с наружной стороны зубного ряда, так и с обратной (лингвальные), по направлению к ротовой полости. Лингвальная конструкция брекетов может повлиять на произношение и усложнить процесс принятия пищи, но такой вариант установки выбирают за ее незаметность. Тонкая полоска металлического каркаса не привлекает к себе внимания. А если на слизистой щек были травмы, этот вариант становится наиболее предпочтительным.

Мини-брекеты — еще один эстетичный вариант — почти не заметны на поверхности зубов.

Процедура установки брекетов и сроки ношения

Процесс установки брекетов протекает спокойно и не занимает больше полутора-двух часов. Для начала проводится профессиональная чистка зубов, после чего ротовая полость промывается и просушивается. Используются антисептические препараты, после чего наносятся составы адгезива и праймера, благодаря которым и будут фиксироваться накладки. Производится фиксация, избытки клеящего состава удаляются, после чего начинается процесс полимеризации. Для этого используется световое излучение.

Болевых ощущений в процессе не возникает, хоть щипцы для замыкания замочков и сдавливания металлических конструкций и могут неприятно щелкать.

Носить брекеты для исправления существующих дефектов зубного ряда может потребоваться от полутора до трех лет. Именно потому современные конструкции не только практичны и эффективны, но и эстетичны. Дорогие варианты по красоте не уступают ювелирным украшениям.

Сколько будет длиться исправление прикуса брекетами

Точный срок ношения брекет-системы устанавливается только после консультации с врачом. Иногда терапия требует полугодового ношения, а сложные дефекты требуется исправлять до трех лет. Для закрепления результата применяются ретейнеры, носить которые нужно вдвое дольше брекетов. Зубам следует привыкнуть к новому положению, иначе прогресс легко откатится назад. В процессе терапии брекетами пациенту придется приходить на прием к лечащему стоматологу регулярно, так как за процессом движения зубного ряда нужен регулярный контроль.

Следует помнить: Улучшение прикуса станет заметным уже через три-четыре месяца после установки, если дефект не слишком сложный, но снимать в этот момент конструкцию нельзя!

Повлиять на срок ношения установленных брекетов могут такие моменты:

  • чем старше пациент, тем дольше требуется исправлять неприятный дефект;
  • чем сложнее выявленная аномалия, тем больше нужно времени для восстановления зубного ряда.

Конкретный тип брекетов также влияет на длительность ношения.

Если пациенту нравится внешний вид брекетов, и он хочет их оставить и после курса терапии, изготавливается новая конструкция, которая не будет оказывать давления на зубной ряд.

Иногда происходит так, что брекеты приводят к возникновению болезненных ощущений. Если при этом не повреждаются зубы или десны, нет кровотечения, рекомендуется принимать обезболивающие.

В редких случаях наблюдается индивидуальная гиперчувствительность. В этом случае врачи клиники «Интердентос» предложат альтернативные методы лечения.

Когда нужно поставить брекеты

Дефекты зубного ряда могут наблюдаться и в подростковом возрасте, и у взрослых. Они становятся причиной скованности в общении, стеснительности и вынуждают реже улыбаться. Но все это останется в прошлом – запишитесь на консультацию в клинику «Интердентос», чтобы подобрать эффективное и современное решение проблемы!  Установка брекетов возможна с двенадцатилетнего возраста. Эта процедура поможет, если наблюдаются дефекты прикуса, включая необычные или тяжелые.

Противопоказания

Несмотря на то, что установка брекетов — неинвазивная процедура и практически никогда не вызывает кровотечения, однако в процессе ношения брекеты находятся в тесном контакте с деснами и давят на зубной ряд. Если у пациента плохо заживают раны и наблюдается склонность к кровоточивости, лучше отказаться от этого метода коррекции зубного ряда.

Прежде всего, чтобы установить брекеты, требуется избавиться от кариозных поражений, пародонтоза, гингивита, пародонтита. Отдельные хронические заболевания могут выступить противопоказаниями, если установка брекетов может помешать действиям реаниматологов.

Препятствиями для проведения процедуры становятся:

  • психические заболевания;
  • дистрофические процессы в ротовой полости;
  • заболевания крови;
  • активно протекающее воспаление;
  • туберкулез;
  • сахарный диабет:
  • ВИЧ;
  • заболевания иммунной системы;
  • остеопатия и остеопороз в некоторых формах.

Разрежение костной ткани — остеопороз, а также нарушения метаболизма, приводящие к слабости костной ткани, являются противопоказаниями потому, что даже мягко давящие брекеты способны разрушить челюсть и привести к выпадению зубов.

Проблемы иммунной системы нужно скорректировать до установки брекет-системы. Если организм человека чувствителен к болезнетворной микрофлоре, то и мельчайшая ранка может привести к неприятному заболеванию. Дополнительная нагрузка на иммунные клетки не допускается.

Следует помнить: Долг компетентного врача-ортодонта — грамотно рассчитывать риски ортодонтического вмешательства. Пациентам необходимо разъяснить причину запретов, чтобы они не настаивали на операциях, потенциально опасных для их здоровья и жизни!

Цена на брекеты в Королёве

Современная стоматология практически отказалась от изготовления и установки непрактичных и неэстетичных пластиковых брекетов. Экономичной моделью считаются металлические, стоимость установки – от 50 тысяч рублей. Керамические брекеты обычно дороже, ценник начинается от 75 тысяч. Подбор керамических брекетов осуществляется под тон эмали. Цена за сапфировые брекеты начинается от 85 тысяч рублей.

Более дорогими моделями считаются лигнвальные, под заказ их изготавливают по цене от ста тысяч рублей.

Назвать точные цены без предварительной консультации невозможно, так как учитываются пожелания клиента, в том числе эстетические. Запишитесь на прием к врачу – вы получите подробную информацию о стоимости!

Уход за полостью рта

Установка ортодонтической конструкции требует от пациента сознательного отношения. Ношение брекетов предполагает тщательный уход за полостью рта. Чистить зубы требуется специальной щеткой после каждого приема пищи.

Необходимо обратить внимание и на рацион. Твердые продукты могут повредить установленной конструкции, поэтому исключаются орехи, жесткие фрукты и овощи в натуральном виде. Предпочтительно измельчать такие продукты в блендере. Сокращается и количество сладкого, от слишком горячих и слишком холодных блюд тоже лучше отказаться.

Следует помнить: Главной причиной возникновения кариозных поражений является сладкое. Остатки такой пищи служат источником роста бактерий. При возникновении кариеса брекеты придется снимать, чтобы провести лечение.

Альтернатива установки брекетов

Если зубной ряд неровный, детям до 12 лет можно установить не систему брекетов, а съемные пластинки. Эстетичная сторона в этом возрасте имеет меньшее значение, но иногда ортодонтический аппарат требуется снять быстро. Пластинки изготавливаются из никеля и хрома и выглядят аккуратно. Положительными моментами их использования являются:

  • исправление зубного ряда;
  • нормализация мышц челюсти;
  • правильное развитие костной ткани.

Следует помнить: Если ортодонтическое лечение требуется пациентам, не достигшим восемнадцатилетнего возраста, установка корректирующих систем, в том числе брекетов, осуществляется с письменного согласия родителей или опекунов.

Во взрослом возрасте альтернативой брекетам становится протезирование или использование съемных капп. Если между передними зубами слишком большие промежутки, брекеты не помогут исправить подобный дефект. В этом случае подбираются люминиры или виниры — изготовленные из керамики зубные накладки, позволяющие придать зубам нужную форму.

Элайнеры — прозрачные каппы из полимерных материалов, надеваются на ряд зубов для круглосуточного ношения. Снимают их лишь во время еды и для очистки. Плюсы такого способа коррекции:

  • не травмируют слизистую;
  • незаметны при улыбке;
  • не наносят повреждений зубной эмали;
  • легко снимаются;
  • не ухудшают дикцию;
  • безопасны для детей;
  • не вызывают неприятных ощущений;
  • почти не ощущаются во рту.

К сожалению, у элайнеров существуют и минусы — прозрачные каппы помогают справиться лишь с простейшими дефектами зубного ряда. Изготавливать такие конструкции должен квалифицированный специалист.

Элайнеры слабо давят на зубы, поэтому если коронка повернута вокруг оси, они не помогут. Но многие пациенты предпочитают их за прочие достоинства и считают более подходящими для коррекции, чем брекеты.

Реставрация зубов с применением композитных материалов показана, если существуют дефекты формы и кариозные плоскости. Композиты нуждаются в полировке, но решают проблему с глубоким кариесом на резцах.

Поставить брекет-систему в МЦ «Интердентос»!

Если вы хотите получить уверенность в качественном результате, приходите в нашу клинику! С вами будут работать квалифицированные врачи, которые знают, как сделать зубы ровными и красивыми, даже если ситуация действительно сложная:

  • проводим тщательную диагностику и подбираем для каждого пациента индивидуальное решение, которое на 100% будет эффективным и безопасным;
  • учитываем ваши пожелания и запланированный бюджет (предложим вариант, цена которого полностью вас устроит);
  • для изготовления брекетов используем материалы высокого качества.

Доверяйте профессионалам, и ваша улыбка будет сиять красотой и здоровьем! Мы проводим комплексное лечение, чистку зубов, устанавливаем подходящую брекет-систему и подробно рассказываем, как ухаживать за ней. Позвоните или оставьте заявку на сайте, чтобы записаться на прием. Будем рады помочь!


Консилиум врачей в подарок Получить подарок