Ежедневно с 8:00 до 21:00

+7 (495) 324-50-50

пр. Космонавтов, д.11

+7 (495) 151-88-18

Детское отделение

+7 (495) 989-00-48

пр. Космонавтов, д.37

+7 (495) 156-20-30

ул. Терешковой, д.8

+7 (495) 104-42-00

отдел качества

+7 (495) 801-68-68

Общий телефон

+7 (495) 324-50-50

пр. Космонавтов, д.11

+7 (495) 151-88-18

Детское отделение

+7 (495) 989-00-48

пр. Космонавтов, д.37

+7 (495) 156-20-30

ул. Терешковой, д.8

+7 (495) 104-42-00

отдел качества

Ежедневно с 8:00 до 21:00

Взрослая стоматология
Детская стоматология
+7 (495) 801-68-68

Общий телефон

+7 (495) 324-50-50

пр. Космонавтов, д.11

+7 (495) 151-88-18

Детское отделение

+7 (495) 989-00-48

пр. Космонавтов, д.37

+7 (495) 156-20-30

ул. Терешковой, д.8

+7 (495) 104-42-00

отдел качества

Взрослая стоматология
Детская стоматология

Элайнеры для выравнивания зубов

Элайнеры — прозрачные капы, которые сделают ваши зубы идеально ровными без боли и использования неэстетичных брекетов. Это самый современный и востребованный способ коррекции прикуса. Элайнеры для зубов показывают отличный результат при ортодонтических патологиях легкой и средней степени тяжести. В стоматологической клинике «Интердентос» для выравнивания зубного ряда применяют 3 вида элайнеров от известных фирм: Star Smile (Россия), Invisalign (США), 3D Smile (Россия).
9 клиник

9 клиник

В 5 городах подмосковья:
Королёв, Мытищи, Щёлково, Пушкино и Балашиха.
с 1998 года

с 1998 года

Многолетний накопленный опыт и собственная научная база позволяет решать даже самые сложные случаи
250 тысяч пациентов

250 тысяч пациентов

Доверили нам своё здоровье.
80% из них
— пришли к нам по рекомендациям
-0

Основные преимущества

Исправление прикуса элайнерами — комфортная альтернатива брекетам и возможность получить красивую улыбку в любом возрасте по приемлемой цене. Ортодонтические капы широко применяются в стоматологии, поскольку они:

  • Комфортные. Изделия тонкие и гладкие, плотно прилегают к эмали, не вызывают раздражение слизистых оболочек ротовой полости.
  • Безболезненные. Аккуратное и постепенное перемещение зубов не вызывает боли даже у чувствительных людей.
  • Незаметные. Невидимые прозрачные конструкции позволяют вести активную социальную жизнь и не стесняться общения с людьми.
  • Простые в уходе. Для чистки элайнеров достаточно обычной зубной пасты и щетки. Вам не нужно покупать дорогостоящие ершики и другие специальные приспособления.
  • Эффективные. Выравнивание зубов капами с большим успехом используется у пациентов разного возраста, к тому же результат лечения известен заранее благодаря системе 3D моделей.

Еще один важный момент — коррекция прикуса проходит без существенных ограничений и изменения образа жизни. В отличие от программы лечения брекетами, вам не придется отказываться от любимых продуктов, а домашняя гигиена ротовой полости не вызовет никаких трудностей.

Быстрая запись на приём

Оставьте номер телефона и администратор перезвонит Вам в течение 5 минут.

img

Спасибо!

Наши специалисты свяжутся с вами в ближайшее время.

Ежедневно с 8:00 до 21:00

+7 (495) 801-68-68

Общий телефон

+7 (495) 324-50-50

пр. Космонавтов, д.11

+7 (495) 151-88-18

Детское отделение

+7 (495) 989-00-48

пр. Космонавтов, д.37

+7 (495) 156-20-30

ул. Терешковой, д.8

+7 (495) 104-42-00

отдел качества

Врачи направления

Все врачи

Цена элайнеров для выравнивания зубов

Все цены

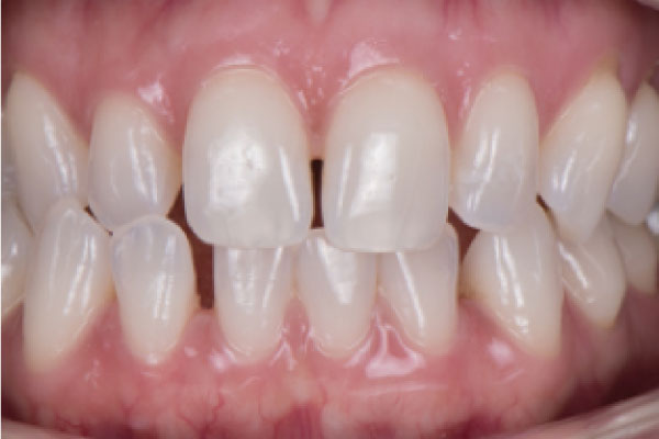
Элайнеры: фото До и После

Фото ДО
Фото ПОСЛЕ

Наведите для просмотра

Элайнеры

Фото ДО
Фото ПОСЛЕ

Наведите для просмотра

Элайнеры

Фото ДО
Фото ПОСЛЕ

Наведите для просмотра

Элайнеры

Наши клиники

Детское отделение

Клиника «Эксперт»

Центр экспертной ортодонтии и цифровой стоматологии

Клиника экстренной помощи

Наши лицензии

Лечение проводится на основании действующих медицинских лицензий Л041-01162-50/00360420 и Л041-01162-50/00367813. Это гарантирует, что все процедуры — от диагностики до реставрации — выполняются безопасно, с использованием сертифицированных материалов и оборудования, в строгом соответствии с российскими стандартами.

Л041-01162-50/00360420 Л041-01162-50/00360420

Открыть PDF
Л041-01162-50/00367813-1 Л041-01162-50/00367813

Л041-01162-50/00367813-2 Л041-01162-50/00367813

Л041-01162-50/00367813-3 Л041-01162-50/00367813

Л041-01162-50/00367813-4 Л041-01162-50/00367813

Л041-01162-50/00367813-5 Л041-01162-50/00367813

Л041-01162-50/00367813-6 Л041-01162-50/00367813

Л041-01162-50/00367813-7 Л041-01162-50/00367813

Л041-01162-50/00367813-8 Л041-01162-50/00367813

Л041-01162-50/00367813 Л041-01162-50/00367813

Открыть PDF

Что нужно знать о выравнивании зубов элайнерами

Как работают элайнеры

Элайнеры представляют собой съемные ортодонтические капы, которые изготавливаются по оттискам зубного ряда пациента. Их делают из прозрачного термопластичного полимера SmartTrack, который имеет полную биосовместимость с тканями организма и не вызывает аллергических реакций.

Благодаря особой форме элайнеры оказывают давление на зубы с правильной силой и в нужном направлении, что позволяет постепенно сдвигать их и выравнивать прикус. Этот процесс происходит гармонично по всему зубному ряду. Каждый следующий комплект немного отличается по форме и размеру от предыдущего, чтобы исправление положения зубов было постепенным, щадящим и непрерывным.

С помощью элайнеров перемещаются не только видимые части (коронки), но и корни зубов, которые создают стабильное давление на стенку костной лунки. Вследствие этого выемки в челюстной кости меняют свою форму, а зубные единицы занимают правильное положение и остаются в покое. Затем начинается процесс регенерации и закрепления эффекта.

Этапы лечения

  • Диагностика. Сначала нужно посетить консультацию ортодонта, который осмотрит полость рта, назначит ортопантомограмму и другие исследования, сделает оттиски. Для подбора элайнеров используются современные 3D технологии: вы увидите анимированную модель исправления зубного ряда и узнаете, какое количество времени потребуется для достижения идеальной улыбки.
  • Этап выравнивания зубов. Вы получаете несколько индивидуальных наборов кап, которые нужно менять через 2 недели. Каждые 6-8 недель планируют контрольные визиты к ортодонту: врач оценивает, насколько эффективно проходит лечение элайнерами, и выдает новые комплекты.
  • Ретенционный этап. После достижения красивой улыбки нужно закрепить полученный результат, чтобы зубные корни зафиксировались на новом месте. Для этого используют несъемные ретейнеры на нижний зубной ряд и прозрачные ночные пластины для верхних зубов. Длительность ретенционного периода в среднем в 2 раза больше, чем срок ношения элайнеров.

Кому подходит лечение элайнерами

Элайнеры применяются для взрослых людей любого возраста и для подростков старше 14 лет. У младших детей капы не используют, поскольку у них продолжается активный рост челюсти, и подобное лечение будет затруднено.

Установка элайнеров рекомендуется пациентам с такими дефектами:

  • скученность зубов;
  • широкие межзубные промежутки;
  • наклон или неправильное положение одного или нескольких зубов в ряду;
  • незначительные аномалии мезиального, дистального, открытого, перекрестного, глубокого прикуса.

Нужно учитывать, что при множественных и сложных аномалиях зубочелюстного аппарата капы не смогут выровнять улыбку. В такой ситуации ортодонт сначала подбирает брекет-систему для коррекции основных дефектов, а затем может назначить элайнеры, которые помогают закрепить результат.

Других строгих противопоказаний к лечению нет. Большинство ограничений имеет временный характер: острые заболевания полости рта, требующие консервативной терапии, непрорезавшиеся зубы, которые нужно будет удалить перед снятием оттисков и изготовлением кап.

Начните свой путь к красивой улыбке прямо сейчас — запишитесь на консультацию стоматолога-ортодонта для диагностики и подбора методов коррекции зубного ряда. На приеме вы узнаете, сколько стоят элайнеры для выравнивания зубов, и сможете задать любые интересующие вас вопросы.

Вопросы и ответы


Сколько времени занимает лечение?

Срок ношения кап зависит от исходного состояния зубного ряда, типа аномалий прикуса и скорости их исправления. Каждый случай индивидуален, поэтому точный ответ стоматолог сможет дать после консультации. Минимальный период лечения занимает 6 месяцев — это намного меньше, чем при использовании брекет-систем, которые придется носить 1-3 года.


Сколько кап потребуется для выравнивания зубов?

При небольшой скученности зубов необходимо 8-10 комплектов элайнеров, каждый из которых используют в течение 2 недель. При значительных ортодонтических аномалиях может потребоваться 20-30 наборов. От их количества зависит итоговая стоимость лечения.


Можно ли снимать элайнеры?

Элайнеры для выравнивания зубов должны оказывать постоянное давление, поэтому их нужно носить не менее 20-22 часов в день. Капы снимают на время приема пищи и для проведения гигиены полости рта, а затем сразу же надевают обратно. Привыкнуть к элайнерам намного проще, чем к брекетам, к тому же они не травмируют эмаль зубов и слизистые оболочки. Постоянное использование ортодонтических конструкций не вызывает дискомфорта у большинства пациентов.


Можно поставить элайнеры только на одну челюсть?

Да, в некоторых ситуациях такой способ лечения будет эффективным. Обычно его назначают, когда один зубной ряд у пациента идеально ровный, а в другом присутствует небольшая скученность зубов.


Консилиум врачей в подарок Получить подарок