Ежедневно с 8:00 до 21:00

+7 (495) 324-50-50

пр. Космонавтов, д.11

+7 (495) 151-88-18

Детское отделение

+7 (495) 989-00-48

пр. Космонавтов, д.37

+7 (495) 156-20-30

ул. Терешковой, д.8

+7 (495) 104-42-00

отдел качества

+7 (495) 801-68-68

Общий телефон

+7 (495) 324-50-50

пр. Космонавтов, д.11

+7 (495) 151-88-18

Детское отделение

+7 (495) 989-00-48

пр. Космонавтов, д.37

+7 (495) 156-20-30

ул. Терешковой, д.8

+7 (495) 104-42-00

отдел качества

Ежедневно с 8:00 до 21:00

Взрослая стоматология
Детская стоматология
+7 (495) 801-68-68

Общий телефон

+7 (495) 324-50-50

пр. Космонавтов, д.11

+7 (495) 151-88-18

Детское отделение

+7 (495) 989-00-48

пр. Космонавтов, д.37

+7 (495) 156-20-30

ул. Терешковой, д.8

+7 (495) 104-42-00

отдел качества

Взрослая стоматология
Детская стоматология

Несъемное протезирование

В стоматологической клинике «Интердентос» в Королеве несъемное протезирование выполняется с применением самых современных материалов мировых брендов. Изготовление протезов проводится в нашей собственной лаборатории, оснащенной 3D-оборудованием и инновационными технологиями.

9 клиник

9 клиник

В 5 городах подмосковья:
Королёв, Мытищи, Щёлково, Пушкино и Балашиха.
с 1998 года

с 1998 года

Многолетний накопленный опыт и собственная научная база позволяет решать даже самые сложные случаи
250 тысяч пациентов

250 тысяч пациентов

Доверили нам своё здоровье.
80% из них
— пришли к нам по рекомендациям
-0

Особенности несъемного протезирования

При отсутствии зубов несъемные протезы являются идеальным средством восстановления улыбки и функционала жевания, хотя имеют не только преимущества, но и недостатки.

Для установки несъемного протеза необходимы соседние зубы — опоры, к которым присоединяют крепления. Если здорового зуба нет, то может устанавливаться имплант, а к нему уже крепиться несъемный протез из диоксида циркония, керамики или металлокерамики. Независимо от варианта крепления они носятся намного комфортнее, чем съемные протезы. С помощью инновационных способов восстановления зубочелюстной системы имплантации и несъемного протезирования зубов современные методы позволяют восстанавливать зубные ряды на верхней и нижней челюсти при потере всех зубов — это «Все на 4» и «Все на 6».

Быстрая запись на приём

Оставьте номер телефона и администратор перезвонит Вам в течение 5 минут.

img

Спасибо!

Наши специалисты свяжутся с вами в ближайшее время.

Ежедневно с 8:00 до 21:00

+7 (495) 801-68-68

Общий телефон

+7 (495) 324-50-50

пр. Космонавтов, д.11

+7 (495) 151-88-18

Детское отделение

+7 (495) 989-00-48

пр. Космонавтов, д.37

+7 (495) 156-20-30

ул. Терешковой, д.8

+7 (495) 104-42-00

отдел качества

Услуги

Услуги

Врачи направления

Все врачи

Наше оборудование

CEREC - технология художественной реставрации зубов за 2 часа

CEREC - технология художественной реставрации зубов за 2 часа

CAD/CAM система CEREC позволяет проводить лечение и протезирование зубов быстро и с высокой точностью – благодаря специальному сканеру, воспроизводящему модель зуба в 3D. CEREC Omnicam, MEDIT  i700,  PrimeScan.
Дентальный микроскоп

Дентальный микроскоп

Использование ультрасовременных дентальных микроскопов создает уникальные возможности для спасения «безнадежных зубов». Микроскопы:  Advanced,  Karl Kaps,  Carl Zeiss EXTARO 300, Prima D с вариоскопом.
3D томограф Galileos

3D томограф Galileos

Охватывает всю зубочелюстную систему, включая пазухи. А благодаря 3D-моделированию аппарат  позволяет повысить диагностическую точность и виртуально спланировать наиболее эффективное лечение.
Артикулятор

Артикулятор

Является универсальным прибором для диагностики и терапии, он имитирует жевательные движения, точно определяя анатомические особенности пациента и незаменим при изготовлении ортопедических конструкций.
Дентальный компьютерный томограф Planmeca ProMax

Дентальный компьютерный томограф Planmeca ProMax

Уникальный компьютерный томограф для качественной диагностики  и планирования лечения
Sleeper One - электронная система анестезии

Sleeper One - электронная система анестезии

Система анестезии нового поколения, объём, скорость и давление подачи препарата контролируется электронной системой. Специальные иглы обеспечивают безболезненность и снижают травматичность тканей.
Стоматологическая установка DENTSPLY SIRONA

Стоматологическая установка DENTSPLY SIRONA

Признаны стоматологами во всём мире, как наиболее совершенные и комфортные, обладающие передовыми характеристиками. Обладают наградами iF Design Gold Award и German Design Award.
Интраоральный 3D-сканер

Интраоральный 3D-сканер

3D-сканирование можно назвать новым стандартом в стоматологической практике, который становится всё более распространенным. 3D-сканер позволяет достичь высочайшей точности и качества в протезировании.

Цены на несъемное протезирование

Все цены

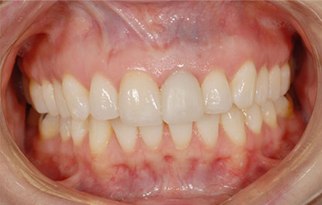
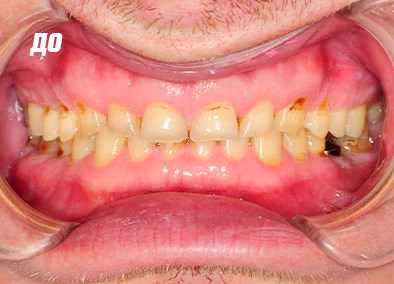
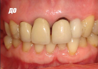
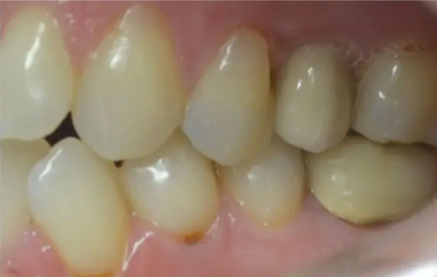
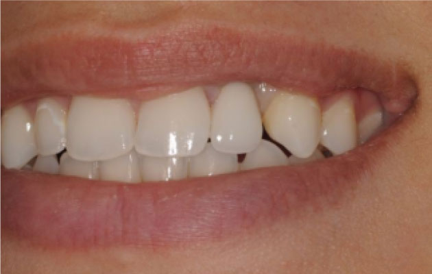
Несъемное протезирование: фото До и После

Фото ДО
Фото ПОСЛЕ

Наведите для просмотра

Коронка на имплант

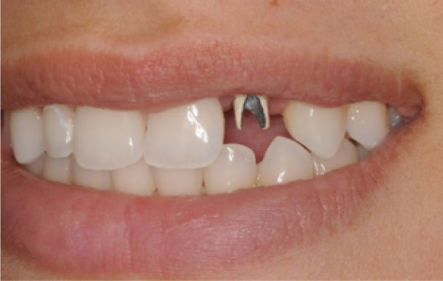
Фото ДО
Фото ПОСЛЕ

Наведите для просмотра

Коронка на имплант

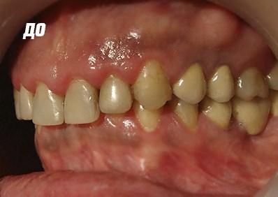
Фото ДО
Фото ПОСЛЕ

Наведите для просмотра

Коронка на имплант

Фото ДО
Фото ПОСЛЕ

Наведите для просмотра

Протезирование коронками

Фото ДО
Фото ПОСЛЕ

Наведите для просмотра

Протезирование коронками

Фото ДО
Фото ПОСЛЕ

Наведите для просмотра

Брекет-системы

Фото ДО
Фото ПОСЛЕ

Наведите для просмотра

Протезирование коронками

Фото ДО
Фото ПОСЛЕ

Наведите для просмотра

Коронки

Фото ДО
Фото ПОСЛЕ

Наведите для просмотра

Протезирование коронками

Фото ДО
Фото ПОСЛЕ

Наведите для просмотра

Протезирование коронками

Наши клиники

Детское отделение

Клиника «Эксперт»

Центр экспертной ортодонтии и цифровой стоматологии

Клиника экстренной помощи

Наши лицензии

Лечение проводится на основании действующих медицинских лицензий Л041-01162-50/00360420 и Л041-01162-50/00367813. Это гарантирует, что все процедуры — от диагностики до реставрации — выполняются безопасно, с использованием сертифицированных материалов и оборудования, в строгом соответствии с российскими стандартами.

Л041-01162-50/00360420 Л041-01162-50/00360420

Открыть PDF
Л041-01162-50/00367813-1 Л041-01162-50/00367813

Л041-01162-50/00367813-2 Л041-01162-50/00367813

Л041-01162-50/00367813-3 Л041-01162-50/00367813

Л041-01162-50/00367813-4 Л041-01162-50/00367813

Л041-01162-50/00367813-5 Л041-01162-50/00367813

Л041-01162-50/00367813-6 Л041-01162-50/00367813

Л041-01162-50/00367813-7 Л041-01162-50/00367813

Л041-01162-50/00367813-8 Л041-01162-50/00367813

Л041-01162-50/00367813 Л041-01162-50/00367813

Открыть PDF

Отсутствие зубов приносит много проблем пациентам, и это не только хромающая эстетика, но и плохое жевание, которое ведет к патологиям желудочно-кишечного тракта, нарушению дикции, изменению овала лица.

Зубы, которые находятся рядом с новоиспеченной лункой от удаленной единицы, начинают смещаться в сторону, что со временем может привести к новым патологиям. Несъемное протезирование является лучшим способом восстановления зубного ряда. Оно может быть итогом имплантации или протезирования зубов с креплением на здоровые зубы.

Несъемное протезирование дает комфорт и уверенность с минимальными недостатками и по приемлемой стоимости. Полные или неполные несъемные протезы могут быстро вернуть улыбку с помощью индивидуального решения. Записаться на первый прием можно прямо сейчас!

Любой пациент, который приходит к нам с надеждой, получит высокое качество обслуживания и инновационные материалы мировых брендов. В клинике работает команда стоматологов - ортодонты, имплантологи, проходящие различные специализации по программам самых современных брендов стоматологического оборудования и материалов для протезов. Каждый визит пациента проходит комфортно, безопасно, без волнений и стрессов.

Виды несъемных зубных протезов

По сравнению со съемными протезами, несъемное протезирование представляет более стабильное решение.

Различают несъемные протезы:

1. Зубные коронки

Поврежденный зуб закрывается своеобразным чехлом, повторяющим контуры зуба. Материалами для изготовления коронок служат керамика, металл, металлокерамика, стеклокерамика, пластмасса, диоксид циркония.

2. Мостовидные протезы

Один или несколько отсутствующих зубов закрываются коронками, прикрепленными к искусственной десне. Мосты традиционные способны закрыть дефект 1-2 зуба подряд (редко 3), опираясь на соседние здоровые зубы или импланты, служащие опорами. Например, для одного искусственного зуба изготавливается несъемный протез, мост, содержащий три коронки. Две по бокам закрывают соседние зубы, используемые в качестве креплений, а посередине остается полностью искусственный зуб. Два пропущенных зуба предусматривает четыре коронки. На три удаленных зуба мосты ставятся очень редко, так как может быть сильная нагрузка на здоровые зубы.

Существуют консольные несъемные протезы, мосты на бондах Maryland и мосты с опорой на имплантаты.

Также рассматривают несъемные протезы мостовидного типа:

  • По материалам: из металла, металлопластика, керамики, композитных материалов, диоксида циркония, акрила и пластмассы.
  • По способу изготовления протезы могут быть цельнолитые и адгезивные, паяные (устаревший метод, практически не используется в современной стоматологии). Цельнолитые протезы изготавливаются из сплавов никеля, титана или кобальта с хромом. Керамические протезы также относятся к цельнолитым.
  • Прямые и дугообразные протезы, (бюгельные).
  • Количество опорных зубов: с одной (консольные) или двух сторон.

Все несъемные протезы восстанавливают зубные ряды и помогают восстановить жевательные и речевые функции.

3. Протезы на имплантанты

Имплантация зубов - самое надежное решение для восстановления зубного ряда, с самой долгосрочной гарантией. Искусственные корни изготавливаются из высокопрочного и адаптированного к организму человека титана. Импланты служат основой для восстановления зубного ряда мостами, коронками на абатменте или протезами. На имплантах устанавливают самые качественные коронки, которые могут служить несколько десятилетий, затем их можно менять.

4. Программы имплантации зубов и несъемного протезирования на полностью беззубую челюсть All-on-4 и All-on-6

Эти протоколы с протезированием зубов предусматривают установку 4 или 6 имплантов, где может быть от 12 до 14 несъемных протезов в виде искусственных зубов на одной челюсти. Техники позволяют заменить полностью все зубы с длительной гарантией. Несъемные протезы практически не отличаются от естественных зубов.

5. Вкладки и накладки

Реставрация зубов с вкладками и накладками помогает улучшить внешний вид умеренно поврежденных зубов. Такие несъемные протезы, как вкладки и накладки, позволяют реставрировать зубы.

6. Виниры

Виниры - пластины для эстетического вида передних зубов, крепятся только на переднюю поверхность. С помощью виниров скрываются дефекты видимой части фронтальной зоны, корректируется форма и цвет эмали. Виниры проигрывают полноценным коронкам из дорогих материалов по долговечности — они служат до 10 лет. Однако они дают потрясающий эстетический эффект, поэтому особенно ценятся у пациентов в молодом возрасте.

Как выбирают зубные протезы

Назначение делает врач после полной диагностики и определения возможности для конкретного вида протезирования.

От метода изготовления несъемного протеза зависит его стоимость.

Цельнолитные протезы изготавливаются из сплавов никеля, титана или кобальта с хромом. Керамические протезы также относятся к цельнолитным. Пластиковые несъемные протезы выглядят хорошо, но не являются долговечными, их чаще всего применяют для временных конструкций, а также для устранения небольших изменений зубов (например, после травм).

В передней зоне лучше всего смотрится керамика, хотя и недостаточно прочная, она идеально совпадает с естественными зубами не только по оттенкам, но и по свойству светопропускания. Наиболее привлекательными после керамики, с точки зрения качества и эстетики, являются модели, состоящие из металлического каркаса (диоксида циркония) и покрытые сверху керамическим слоем.

Для жевательных и боковых зубов применяют металлокерамику.

Если рассматривать прочность зубов по количеству опор, то две опоры лучше удерживают каркас, чем одна.

Показания и противопоказания

Показания

  • Несъемные протезы устанавливают при отсутствии зубов на верхней или нижней челюсти, в любой зоне — фронтальной, жевательной, боковой.
  • За несъемными протезами обращаются пациенты, которые предпочитают иметь естественную улыбку с комфортным ношением, в том числе при протезировании после имплантации. Для этого необходимо иметь здоровые десна и высокую плотность костной ткани, если речь не идет об имплантации — то здоровые опорные зубы для крепления протезов.

Противопоказания

  • Пародонтоз, пародонтит, кариес, инфекционный процесс в полости рта. Необходимо пролечить заболевания полости рта.
  • Для протезирования на имплантах - недостаточная плотность костной ткани.
  • Прием медикаментов, которые могут повлиять на заживление тканей.
  • Системные заболевания, психические отклонения, затрудняющие коммуникации.

Как устанавливают несъемные протезы

1. Оценка состояния полости рта на первом осмотре

Врач выявит наличие и отсутствие зубов, направит на рентген или компьютерную томографию, чтобы оценить степень истончения костной ткани. Рекомендации врача — какие протезы лучше поставить, обсуждаются с пациентом.

2. Лечение зубов

Стоматолог планирует лечение кариеса, профессиональную чистку зубов, с учетом потребностей пациента. Подбирается и утверждается вариант материалов несъемных протезов и технологий.

3. Имплантация зубов перед протезированием

Если речь идет об установке зубных имплантов, проверяется качество костной ткани.

  • Если используется классическая двухэтапная имплантация, при недостатке костной ткани проводится подсадка костной массы, чтобы импланту было где укрепиться. Вживление тканей займет несколько месяцев.
  • Далее идет внедрение титанового штифта методом разреза или высокотехнологичным проколом. Может устанавливаться временный протез из акрила (легкой пластмассы) либо ставятся заглушки, и пациент ждет приживления импланта, который должен срастись с костью и дать надежную базу для удержания протезов.
  • После остеоинтеграции устанавливаются абатменты и постоянные протезы. У каждого пациента свой срок остеоинтеграции, зависящий от состояния его здоровья, в среднем - от 6 до 15 месяцев.

Как ставится постоянный протез

  • После вкручивания абатментов снимается слепок для изготовления протеза, или выполняется цифровое сканирование полости рта. В последнем случае создается 3D модель для изготовления протезов в зуботехнической лаборатории.
  • Пациент приходит на прием для примерки и подгонки протеза. Если результат удовлетворительный, то несъемный протез ставится в тот же день. Пациент может прийти еще 1-2 раза для подгонки протеза в полости рта, если со временем останутся неудобства.

Как ухаживать за зубами с несъемными протезами

Врач дает рекомендации по гигиене полости рта, чистке и уходу за протезами. В первые дни у пациента могут быть боли и неприятные ощущения. Можно принимать рекомендованные врачом болеутоляющие. Если через 2-3 дня боли не проходят, следует обратиться к стоматологу.

В целом, процесс остается общим для естественных зубов. Это, прежде всего, регулярное соблюдение гигиены полости рта.

  • Не менее двух раз в день необходимо чистить зубы. Желательно полоскать рот после каждого приема пищи. Вокруг несъемных протезов необходима более тщательная чистка зубов, чтобы бактерии не скапливались и не создавали питательную среду для размножения. Приобретите зубную нить и водный флоссер, ирригатор.
  • Старайтесь избегать слишком твердой или слишком вязкой пищи, так как несъемные протезы могут сломаться при откусывании жесткого предмета. Откажитесь от жвачек и ирисок.
  • Если пациент страдает бруксизмом (непроизвольном срежете зубами), желательно корректировать сон каппами.
  • Старайтесь беречь здоровые зубы и полость рта. Хорошо помогает при этом сбалансированная диета с ограничением кислых и слишком сладких продуктов.
  • Приходите к стоматологу на прием раз в полгода, проводите профессиональную чистку зубов и протезов.

Следуя этим правилам, вы сможете защитить свои зубы после несъемного протезирования от дальнейшего разрушения.

Клиника «Интердентос» в Королеве имеет самую современную аппаратуру, вами займутся опытные врачи. Мы делаем все, чтобы прием проходил в атмосфере тепла и уюта. Позвоните в нашу клинику для записи на прием — мы подберем удобное для вас время.

Консилиум врачей в подарок Получить подарок