Детская стоматология в Королёве
Основной принцип работы детской стоматологии нашего центра: «Лечение детских зубов быстро и качественно, без боли и слез!»
Каждый из детских врачей-стоматологов «Интердентос» становится маленькому пациенту настоящим другом. Огромный опыт работы и знание детской психологии позволяет дантистам найти индивидуальный подход к каждому малышу, снять напряжение и развеять тревогу, подобрать оптимальную методику лечения и добиться отличного результата.
Ежедневно с 8:00 до 21:00
Общий телефон
пр. Космонавтов, д.11
Детское отделение
пр. Космонавтов, д.37
ул. Терешковой, д.8
отдел качества
Полный спектр услуг
-
Лечение зубов детям
- Лечение кариеса молочных зубов
- Лечение пульпита молочных зубов
- Лечение периодонтита у детей
- Реставрация молочных зубов
- Лечение постоянных зубов у детей, подростков
- Адаптация детей к лечению у стоматолога
- Лечение зубов детям под седацией
- Лечение под наркозом детей
- Лечение зубов особенным детям
- Лечение травм зубов у детей
-
Исправление прикуса у детей
- Пластинка для зубов
- Установка брекетов подросткам
- Индивидуальные капы (спортивные) для защиты от травм зубов
Детские стоматологи
Наше оборудование
Цены на детскую стоматологию
Герметизация фиссур
-
Запечатывание фиссур зуба герметиком, микроабразия эмали с применением opalustre
5062
-
Запечатывание фиссуры зуба герметиком, молочного или постоянного зуба
3445
ДКТ - (Дентальная компьютерная томография)
-
ДКТ (пациенту из другого ЛПУ)
8505
-
ДКТ (по направлению нашей клиники)
4051
Диагностика (детская)
-
Консультация ортодонта-стоматолога
1229
-
Консультация терапевта-стоматолога
1025
-
ОПТГ (по направлению из другого ЛПУ)
3045
-
ОПТГ (по направлению нашей клиники)
1736
Исправление прикуса детям и подросткам
-
Изготовление пластинок для исправления прикуса
22141
-
Коррекция прикуса с использованием съемных и несъемных конструкций, окклюзионная каппа для лечения дисфункции ВНЧС (СПЛИНТ)
32976
-
фиксация вестибулярных брекетов в полости рта (за 1 челюсть)
29802
Коронки на молочные зубы
-
Восстановление зуба коронкой, молочного зуба,стандартной металлической 3М
14115
-
Восстановление зуба коронкой, молочного зуба,металлической с композитной облицовкой NuSmile
16927
Лечение кариеса молочных зубов
-
Лечение кариеса молочного зуба
10509
Лечение под наркозом и седацией
-
Анестезиолог (сбор анамнеза, консульт, назнач. анализов и их дальнейшая проверка)
1781
-
Наркоз газ "Севоран" первые (30 минут)
10044
-
Наркоз следующие (30 минут)
13270
-
Седация ЗАКС (60 мин)
8042
Лечение постоянных зубов у подростков
-
Лечение кариеса постоянного зуба
12619
-
Эндодонтическое лечение пульпита постоянного зуба
20932
-
Эндодонтическое лечение пульпита постоянного зуба (одноканального) в два посещения
25521
Лечение пульпита и периодонтита молочных зубов
-
Лечение пульпита многокорневого молочного зуба
17260
-
Лечение пульпита однокорневого молочного зуба
15713
Логопед
-
Индивидуальное занятие логопеда (5 занятий)
9487
-
Индивидуальное занятие логопеда (разовое)
2321
-
Индивидуальное занятие по миофункциональной коррекции (абонемент на 5 занятий)
10500
-
Первичная консультация логопеда
3150
-
Первичный приём специалиста по миофункциональной коррекции
3167
-
Повторный приём логопеда по миофункциональной коррекции
2730
Профессиональная гигиена зубов у детей
-
Глубокое фторирование эмали зуба, обеих челюстей эмаль-ликвидом
3361
-
Местное применение реминерализующих препаратов в области зуба, фторпрофилактика зубов детям обеих челюстей гелем APF
1196
-
Обучение гигиене полости рта и зубов индивидуальное, подбор средств и предметов гигиены полости рта
884
-
Профессиональная гигиена полости рта и зубов на детском прием по методу "СLINPRO"
7366
-
Профессиональная гигиена полости рта и зубов при молочном и сменном прикусе (дети до 12 лет)
4419
-
Профессиональная гигиена полости рта и зубов при постоянном прикусе детям (старше 12 лет)
5851
Реставрация молочных зубов
-
Восстановление молочного зуба
7032
ТРГ (Телерентгенограмма)
-
ТРГ (по направлению нашей клиники)
1674
-
ТРГ(по направлению из другого ЛПУ)
3347
Френулопластика
-
Пластика уздечки верхней губы
8718
-
Пластика уздечки нижней губы
8718
-
Пластика уздечки языка
8718
-
Пластика уздечки языка детям до 6 мес
2036
Фторирование зубов
-
Глубокое фторирование эмали зуба, 1 зуб, эмаль-ликвидом
575
-
Глубокое фторирование эмали зуба, обеих челюстей эмаль-ликвидом
3361
Хирургия детская
-
Сложное удаление молочного зуба (без учета снимка и анестезии)
5204
-
Удаление молочного зуба (без учета снимка и анестезии)
2109
-
Удаление постоянного зуба (без учета снимка и анестезии)
6327
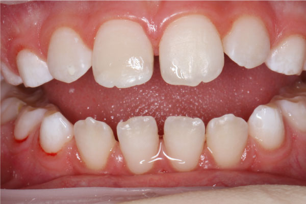
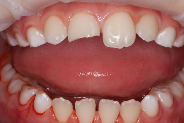
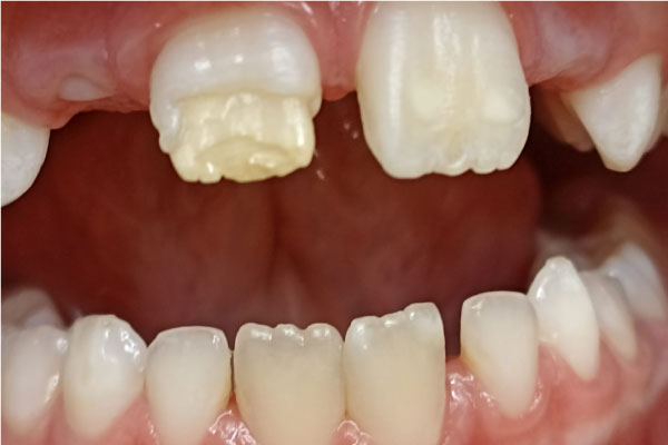
Примеры лечения зубов детям
Акции
Наши клиники
Детское отделение
Клиника «Эксперт»
Центр экспертной ортодонтии и цифровой стоматологии
Пн-Вс: 08:00 - 21:00
Санитарный час: 14:00 - 15:00
Клиника экстренной помощи
Наши лицензии
Клиника детской стоматологии в Королеве
Детская стоматология – это совершенно отдельное направление в стоматологии, так как все физиологические процессы в детском организме происходят иначе, чем у взрослых. Поэтому детский стоматолог должен быть специалистом не только в стоматологических дисциплинах, но также в педиатрии и детской психологии. Современная детская стоматология включает в себя детскую терапевтическую и хирургическую стоматологию, а также направление детской ортодонтии.
Детские стоматологи в течение длительного времени проходят серьезное обучение, и лишь после этого получают право на стоматологическое лечение детей. Эти специалисты занимаются лечением и профилактикой заболеваний детских зубов (как молочных, так и постоянных) и полости рта, а также назначают необходимое лечение при неправильном формировании зубных рядов. Стоматология детского возраста требует особого профессионального подхода. Стоматологическое лечение малышей проводится по тщательно продуманной методике, используются специальные лекарства и инструменты, позволяющие оказать эффективную стоматологическую помощь маленьких пациентов.
О здоровье детских зубов следует позаботиться как можно раньше, если нет жалоб, то первый визит к детскому стоматологу целесообразно запланировать с ребенком по достижении им двухлетнего возраста. Дело в том, что малыши часто не жалуются на проблемы с зубами, и, если не производить регулярные профилактические осмотры, то можно запустить болезнь. А вот своевременно начатое лечение позволит ребенку сохранить свои зубы здоровыми и крепкими. Чем младше ребенок, тем более эффективным будет ортодонтическое лечение в случае неправильного прикуса – исправить такие нарушения у детей гораздо проще, чем у взрослых.
Стоматологическое лечение детей с гарантированным результатом

Детская платная стоматология в медицинском центре «Интердентос» имеет все разрешительные документы и лицензии на право заниматься соответствующей деятельностью. Лечение проводится на высокотехнологичном оборудовании с использованием материалов и инструментов, созданных специально для детского стоматологического лечения. В случае лечения под наркозом соблюдаются меры безопасности высочайшего уровня, а все манипуляции проводятся квалифицированными детскими анестезиологами.
Все детские стоматологические услуги не только оказываются с высоким качеством, но и абсолютно понятны родителям маленьких пациентов. Прозрачное ценообразование и адекватная стоимость лечения позволяют нам с достоинством встречать постоянных и новых клиентов.
Детский стоматолог в «Интердентос» – это мастер своего дела и настоящий друг
Большое значение имеет тот факт, что в центре «Интердентос» каждый специалист не просто хорошо выполняет свою работу, но и искренне любит детей, и потому в клинике царит искренняя и доброжелательная атмосфера. Все наши детские стоматологи – это дипломированные специалисты, постоянно повышающие свою квалификацию на профессиональных семинарах и вебинарах, конференциях, тренингах и симпозиумах. Кроме того, наши доктора специализируются именно на детской стоматологии, поэтому они не только в совершенстве владеют методиками лечения и инструментарием, но и обладают глубокими знаниями психологии детей всех возрастных групп.