Исправление прикуса
Ежедневно с 8:00 до 21:00
Общий телефон
пр. Космонавтов, д.11
Детское отделение
пр. Космонавтов, д.37
ул. Терешковой, д.8
отдел качества
Услуги по исправлению прикуса
Показать всё
Услуги по исправлению прикуса
Показать всё
Услуги
Брекеты
Врачи направления
Цены на исправление прикуса
Исправление прикуса
TENS терапия
-
Депрограммирование нижней челюсти с помощью аппарата ТЭНС
10417
-
Депрограммирование нижней челюсти с помощью аппарата ТЭНС (повторный прием)
6945
Аксиография
-
Аксиография (цифровая) височно-нижнечелюстного сустава
30383
-
Аксиография (цифровая) височно-нижнечелюстного сустава на этапе лечения
15191
-
Аксиография (цифровая) височно-нижнечелюстного сустава (из других ЛПУ)
39376
Безлигатурные брекеты
-
Металлические самолигирующие брекеты СмартКлип (брекеты и замки на одну челюсть)
40953
-
Ортодонтическая коррекция - Применение брекет-системы Металлические самолигирующие брекеты Damon Q или Q2 (брекеты и замки на одну челюсть)
63657
-
Ортодонтическая коррекция - Применение брекет-системы Металлические саморегулирующие брекеты Pitts 21 (брекеты и замки на 1 челюсть)
72966
Брекеты
-
Ортодонтическая коррекция - Применение брекет-системы Carriere SLX 3D (брекеты и замки на одну челюсть)
52736
-
Применение брекет-системы Н4 10 шт. (брекеты и замки на одну челюсть)
62855
-
Применение комбинированной самолигирующей брекет-системы керамические брекеты Damon Сlear 12 шт. + металлические брекеты Damon Q 8 шт (брекеты и замки на две челюсти)
134906
Гнатология
-
Консультация гнатолога
2035
Диагностика ВНЧС
-
Компьютерная томография ВНЧС двух суставов в двух положениях с описанием
5775
-
Компьютерная томография ВНЧС двух суставов в двух положениях с описанием для др. ЛПУ
8663
-
Определение смыкания зубов при помощи аппарата Миотроник
7272
Капы для исправления прикуса
-
Изготовление ретенционой капы прозрачной
6971
-
Коррекция прикуса с использованием съемныхи несъемных ортопедических конструкций, контрольный прием при лечении сплинтом, шиной, капой, коррекция капы на этапе лечения
5539
Керамические брекеты
-
Керамические самолигирующие брекеты Damon Clear 20 шт. (брекеты и замки на две челюсти)
196227
-
Керамические самолигирующие брекеты Кларити 20 шт. (брекеты и замки на две челюсти)
77814
Кондилография
-
Кондилография
38588
-
Кондилография (повторная)
16538
Лечение ВНЧС
-
Коррекция прикуса с использованием съемных и несъемных конструкций, окклюзионная каппа для лечения дисфункции ВНЧС (СПЛИНТ)
35137
-
Прием (осмотр, консультация) врача-стоматолога. Повторная консультация специалиста по итогам результатов исследования ВНЧС
3750
Лечение с помощью пластинок
-
Изготовление и установка Аппарата HAAS Марко Росса
60764
-
Изготовление и установка Аппарата Twin-block
44163
-
Изготовление Пластинки без винта
22533
-
Изготовление Пластинки с винтом
24501
-
Изготовление Пластинки с винтом Бертони
27348
-
Изготовление Пластинки с двумя винтами
25263
-
Изготовление пластинки с заслонкой для языка
22141
-
Изготовление Пластинки с тремя винтами
26723
Лечение элайнерами 3D Smile
-
Ортодонтическая коррекция съемным ортодонтическим аппаратом системы капп 3D-Smile для исправления аномалий прикуса (короткий курс)
146262
-
Ортодонтическая коррекция съемным ортодонтическим аппаратом системы капп 3D-Smile для исправления аномалий прикуса (полный курс)
263271
-
Ортодонтическая коррекция съемным ортодонтическим аппаратом системы капп 3D-Smile для исправления аномалий прикуса (суперкороткий курс)
75619
-
Прогнозирование результата лечения элайнерами 3D-Smile на основании КТ с моделированием движения корней (Виртуальный сетап)
87757
-
Прогнозирование результата лечения элайнерами 3D-Smile на основании ОПТГ (Виртуальный сетап)
43880
Лечение элайнерами Invisalign
-
1 посещение: слепки, заказ виртуального сетапа
48736
-
Ортодонтическая коррекция съемным ортодонтическим аппаратом системы капп Invisalign (14 шт.)
352884
-
Ортодонтическая коррекция съемным ортодонтическим аппаратом системы капп Invisalign (от 15 шт.)
468035
Лечение элайнерами StarSmile
-
1 посещение: слепки, заказ виртуального сетапа
37414
-
Ортодонтическая коррекция съемным ортодонтическим аппаратом системы капп Star Smile 10 шт
96533
-
Ортодонтическая коррекция съемным ортодонтическим аппаратом системы капп Star Smile 20 шт
176979
-
Ортодонтическая коррекция съемным ортодонтическим аппаратом системы капп Star Smile Full (от 21 шт.)
305688
-
Ортодонтическая коррекция съемным ортодонтическим аппаратом системы капп Star Smile 5шт
48270
Лингвальные брекеты Incognito
-
Лингвальные брекеты Incognito (за 1 челюсть)
173250
Металлические брекеты
-
Металлические лигатурные брекеты Thino (брекеты и замки на одну челюсть)
13929
-
Металлические самолигирующие брекеты Damon Q или Q2 (брекеты и замки на одну челюсть)
63657
-
Ортодонтическая коррекция - Применение брекет-системы Металлические брекеты Discovery (брекеты и замки на одну челюсть)
36568
Открытый прикус
-
Аксиография (цифровая) височно-нижнечелюстного сустава
31598
-
Изготовление ретенционой капы прозрачной, одна челюсть
7807
-
Компьютерная томография челюстно-лицевой области
4213
-
Компьютерная томография челюстно-лицевой области, расширенная ДКТ челюстно-лицевой области (17х21)
4814
-
Контрольные приемы
533
-
Коррекция прикуса с использованием съемных и несъемных конструкций, окклюзионная каппа для лечения дисфункции ВНЧС (СПЛИНТ)
38333
-
Ортодонтическая коррекция - Применение брекет-системы керамические самолигирующие брекеты Damon Clear 20 шт. (брекеты и замки на две челюсти)
217030
-
Ортодонтическая коррекция - Применение брекет-системы керамические самолигирующие брекеты Кларити 20 шт. (брекеты и замки на две челюсти)
80927
-
Ортодонтическая коррекция - Применение брекет-системы Металлические самолигирующие брекеты Damon Q или Q2 (брекеты и замки на одну челюсть)
66204
-
Ортодонтическая коррекция - Применение брекет-системы Н4 20 шт. (брекеты и замки на две челюсти)
130739
-
Ортодонтическая коррекция - фиксация вестибулярных брекетов в полости рта (за 1 челюсть)
33378
-
Ортодонтическая коррекция съемным ортодонтическим аппаратом системы капп 3D-Smile для исправления аномалий прикуса (короткий курс)
152112
-
Ортодонтическая коррекция съемным ортодонтическим аппаратом системы капп 3D-Smile для исправления аномалий прикуса (полный курс)
273801
-
Ортодонтическая коррекция съемным ортодонтическим аппаратом системы капп 3D-Smile для исправления аномалий прикуса (суперкороткий курс)
78644
-
Ортодонтическая коррекция съемным ортодонтическим аппаратом системы капп 3D-Smile для исправления аномалий прикуса на одной челюсти
182534
-
Ортодонтическая коррекция съемным ортодонтическим аппаратом системы капп 3D-Smile с моделированием движения корней для исправления аномалий прикуса (безлимитный курс)
304224
-
Ортодонтическое скрепление металлической проволокой - Установка Несъемного ретейнера (1 зубной ряд)
25617
-
Планирование лечения элайнерами на основании анализа диагностических моделей
11620
-
Прием (осмотр, консультация) врача-ортодонта первичный
1838
-
Проведение Расширенной 3D-цефалометрии
7875
-
Проведение Стандартной 3D-цефалометрии
7350
-
Прогнозирование результата лечения элайнерами (Виртуальный сетап)
28287
-
Прогнозирование результата лечения элайнерами 3D-Smile на основании КТ с моделированием движения корней (Виртуальный сетап)
91267
-
Прогнозирование результата лечения элайнерами 3D-Smile на основании ОПТГ (Виртуальный сетап)
45634
-
Услуги по обслуживанию ортодонических аппаратов - снятие брекет-системы (1 челюсть)
6361
Ретейнеры
-
Изготовление ретенционной пластинки, 1 челюсть
13752
-
Установка несъемного ретейнера (1 зубной ряд)
22872
Снятие брекет-системы
-
Изготовление ретенционой капы прозрачной, одна челюсть
6971
-
Ортодонтическое скрепление металлической проволокой - Установка Несъемного ретейнера (1 зубной ряд)
22872
-
снятие брекет-системы (1 челюсть)
5679
Трейнеры
-
Ортодонтическая коррекция съемным ортодонтическим аппаратом - трейнером для брекетов
12987
-
Ортодонтическая коррекция съемным ортодонтическим аппаратом - трейнером преортодонтическим
16467
-
Ортодонтическая коррекция съемным ортодонтическим аппаратом - трейнером финишным ретенционным
13718
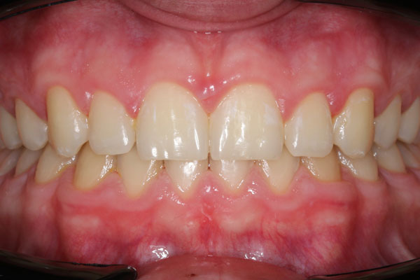
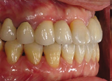
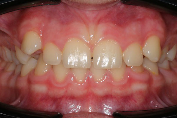
Исправление прикуса: фото До и После
Акции
Наши клиники
Детское отделение
Клиника «Эксперт»
Центр экспертной ортодонтии и цифровой стоматологии
Пн-Вс: 08:00 - 21:00
Санитарный час: 14:00 - 15:00
Клиника экстренной помощи
Наши лицензии
Какой прикус называют неправильным
Окклюзия в современном понимании связывает не только верхнюю и нижнюю челюсти, но и влияет на жевательную мускулатуру, височно-челюстные суставы. Немногие знают, что неправильный прикус и неровное положение зубов не только ухудшает эстетику улыбки, но и негативно влияет на состояние желудочно-кишечного тракта, а также на положение височно-челюстного сустава, с которым связана правильность осанки. Корректируя прикус, вы вернете себе хорошее самочувствие и не допустите влияния патологии на здоровье в целом.
При сомкнутых челюстях физиологически правильном прикусе все зубы одной челюсти контактируют с другой, нет щелей, перехлестов, а челюстная дуга имеет правильную симметричную форму.
Неправильная окклюзия предусматривает несовпадение зубов верхней и нижней челюсти, перекрытие одних зубов другими, повороты вокруг оси. Зубы могут вырастать кучно, выходить за границы ряда, поворачиваться боком. А пациенты с неправильным прикусом часто жалуются на дискомфорт при жевании. Внешне также бывают заметны проявления искривлений и неправильного положения зубных рядов – овал лица нарушен, центр тяжести смещен. У некоторых пациентов имеются проблемы с дикцией.
Виды патологического прикуса
Существует несколько видов патологии прикуса, связанных со степенью нарушений и несоответствием объема верхней и нижней челюсти.
Глубокий
Верхние зубы «наползают» на верхние и почти полностью их скрывают. Такие несовпадения вызывают травмы слизистой, могут провоцировать нарушения ВНЧС.
Открытый
Челюсти смыкаются, но контакта по всему диаметру не происходит из-за щелей между зубами посередине зазора или в боковых отделах. Пациенту с неровным положением зубов сложно пережевывать пищу качественно, появляется напряжением, нарушается носовое дыхание, что негативно влияет на состояние верхних дыхательных путей.
Дистальный
Сужение верхней челюсти, выдвижение ее вверх, из-за чего контакт между верхней и нижней челюстью нарушается. Резцы верхней челюсти заходят над резцами нижней челюсти, неправильный контакт просматривается и в молярах и премолярах. Побочное действие неправильного дистального прикуса – сложности при глотании, нарушения работы ВНЧС.
Мезиальный
Сужение нижней челюсти, выступание вперед. В мезиальном нарушении часто встречаются тремы и диастемы.
Перекрестный
Некоторые единицы одной челюсти перекрыты другой, из-за чего человек может непроизвольно прикусывать щеки и язык.
Зачем исправлять прикус
Чтобы определить тип нарушений, врач проводит всесторонний осмотр полости рта и назначает рентгеновские снимки. Для предотвращения осложнений необходимо исправление прикуса на верхней и нижней челюсти. В современной стоматологической отрасли есть несколько способов коррекции неправильного прикуса ортодонтическими системами. В нашей клинике эстетической стоматологии применятся различные методики лечения зубов и исправления прикуса. Параллельно с эстетическими изменениями отмечаются и положительные моменты, связанные с общим здоровьем пациента:
- При неправильной окклюзии несимметричные лица могут иметь искаженные пропорции, например, высота нижней трети лица выглядит непропорционально. После исправления прикуса лицо становится более симмметричным и пропорциональным.
- Риск кариеса и других заболеваний зубов и десен уменьшается. Зубной налет образуется медленнее, зубы проще чистить и можно доставать в глубоко расположенные зоны, что сложно сделать при скученных зубах.
- Выравнивается нагрузка на зубные ряды нижней и верхней челюсти, что предупреждает возникновение трещин и сколов. Снижается риск развития кариеса, гингивита, пародонтита, пациенты реже прибегают к лечению зубов.
- Гигиена полости рта становится проще. Без скученности зубов можно применять зубные нити, щетки с различной щетиной, ирригаторы.
- Переваривание пищи улучшается из-за более качественного жевания. Пища в желудок и кишечник попадает более мягкой и легче переваривается.
При нормальном положении зубов восстанавливается правильный центр тяжести, что положительно влияет на осанку. Поскольку шея и голова занимают правильное положение, в процессе выравнивания зубов улучшается кровообращение, человек в целом начинает чувствовать себя лучше.
Кому показано выравнивание прикуса
В нашей стоматологии проводится исправление прикуса верхней и нижней челюсти разными способами, при этом технологии выбираются индивидуально, с учетом возраста пациента, целей, степени и типа аномалий прикуса. Уже со старшего школьного возраста можно применять брекеты и другие средства у подростков и взрослых. Настроиться на длительный процесс легко, если держать в фокусе ожидаемый результат на многие последующие годы.
Классические вестибулярные брекеты
Мы применяем самые распространенные наружные брекет-системы, фиксирующиеся снаружи. В современном обществе уже никого не удивишь наличием пластин на передних зубах. Молодые и не очень люди без стеснения улыбаются, не обращая внимание на наличие выпрямляющих конструкций. Фиксация наружных брекет-систем проводится на наружной части зубов.
Другой тип брекетов – лигатурные, в которых в качестве креплений используются лигатуры х специальные резинки.
Преимущества брекетов
С помощью брекет-систем можно устранить любые аномалии прикуса у взрослых и подростков. Популярные ортодонтические системы используют как самостоятельный метод или в комплексном лечении зубов и исправлении прикуса брекетами перед или после проведения хирургической операции (в особо сложных случаях).
- Брекеты имеют широкий функционал, их можно дополнять пружинами, тягами, кнопками, менять лигатуры, устанавливать цепочки для вытяжения ретинированных зубов. В сложных патологиях количество дополнительных элементов больше. Именно поэтому эффект от ношения брекетов максимальный, особенно в случаях, где необходимо расширение зубного ряда.
- Брекеты хорошо справляются при сужении зубного ряда на верхней или нижней челюсти особенно при наличии ретинированных зубов, остановивших свое развитие в десне при скученности. Дуга брекетов стимулирует эти зубы вытягивает их.
- Мы предлагаем конструкции по разным ценам, в зависимости от вашего бюджета. Исправление прикуса брекетами из популярного сапфира стоят дорого, но, если вы не хотите тратить столько денег, можно поставить бюджетные металлические модели, которые также превосходно справляются со своим назначением, хотя визуально более заметны при ношении. Также можно выбрать более эстетичные брекеты из керамики.
Недостатки наружных брекетов
- Брекет системы всегда заметны, больше или меньше в зависимости от материала изготовления. не каждый пациент может легко проходить психологический барьер.
- С брекетами поддержание гигиены занимает больше времени и сил. Необходимо осознанно подходить к процедурам, чтобы в процессе исправления прикуса не развивались бактерии под конструкциями. Особенно важно это проводить в общественных местах, где гигиена не очень удобна – в командировках, в ресторанах и кафе, после уличной еды. Налет на зубах может спровоцировать развитие кариеса и заболевания десен, поэтому гигиена крайне важна.
- У людей с низким болевым порогом могут проявляться болезненные ощущения, особенно после активации системы, в течение нескольких дней после коррекции брекетов верхней и нижней челюсти. Царапание слизистой, натирание могут усилить неприятные ощущения. Некоторые пациенты очень страдают от этого. Врач предлагает заклеивать выступы брекетов ортодонтическим воском, чтобы они меньше натирали.
- Во время ношения систем пациенты должны исключить слишком твердую и травматичную пищу – орехи, сухари, жесткие фрукты. пища должна быть мягкой, не травмировать. Все эти недостатки не перекрывают положительные эффекты от коррекции прикуса и выравнивания зубов, поэтому многие люди готовы мириться с ними, чтобы в конце концов наслаждаться красивой улыбкой.
Лингвальные брекеты
Фиксация таких моделей проводится на внутренней стороне зубного ряда и не заметны снаружи. Стоматолог закрепляет их с помощью специальных зеркал.
Это дорогие конструкции, со стоимостью в два и более раз превышающие обычные наружные брекет системы.
Плюсы:
- Технологии 3D-моделирования брекет-систем позволяют визуализировать результат лечения.
- На любом этапе можно корректировать процесс.
- Системы незаметны для окружающих.
Минусы:
- Лингвальные брекеты самые болезненные, по степени болезненности они превосходят и наружные модели, и элайнеры.
- Дуга располагается внутри челюсти и давит на язык, мешает разговаривать. Может измениться дикция. Люди публичных профессий страдают от этого больше всех.
- Воск не поможет в случае лингвальных брекетов защитить слизистые от натирания.
- Процесс лечения происходит дольше.
- Для замены дуги врач тратит больше времени.
Элайнеры
Элайнеры (ортодонтические каппы) являются эффективным и эстетичным способом восстановления правильности зубных рядов и исправления прикуса у взрослых. Прозрачный силиконовый чехол для зубов не заметен снаружи, его не видно на небольшой дистанции, на фото. С помощью 3D-моделирования результат будет ожидаемым. Изготавливается несколько комплектов элайнеров, которые после определенного промежутка ношения меняются – так формируется мышечная память. Одна пара элайнеров носится две недели, при этом посетить врача нужно раз в 2-3 месяца.
За ними легко ухаживать, а на прием пищи они снимаются.
Из минусов отмечается ограничения в количество отклонений, которые они могут корректировать. К тому же это очень дорогой способ лечения, но для тех людей, кто ценит свои усилия готов оплачивать комфорт, имеет место. Элайнеры применяют в простых случаях, с незначительными изменениями прикуса.
В особенно сложных случаях применяется хирургическая операция, как важный этап коррекции. Но перед операцией и после все равно придется носить перечисленные конструкции на выбор. Как правило, хирургическим путем решаются врожденные аномалии прикуса, так как оно дает более стабильный результат без откатов назад. Метод лечения выбирает врач, полностью обследовав пациента и составив клиническую картину. Стоимость конструкции определяется только после назначения врача.
Клиника Индердентос в Королеве рада предложить инновационные ортодонтические разработки для коррекции прикуса нижней и верхней челюсти. Мы предлагаем установку самолигирующих и наружных брекетов, элайнеры.
Заявку можно подать через сайт или просто позвонить. Все обследования проводятся на современной аппаратуре, дающей исчерпывающую информацию о положении зубов на верхней и нижней челюсти. У нас используются материалы мировых производителей по ценам поставщиков. Приходите к нам за красивой и здоровой улыбкой!