Ежедневно с 8:00 до 21:00

+7 (495) 324-50-50

пр. Космонавтов, д.11

+7 (495) 151-88-18

Детское отделение

+7 (495) 989-00-48

пр. Космонавтов, д.37

+7 (495) 156-20-30

ул. Терешковой, д.8

+7 (495) 104-42-00

отдел качества

+7 (495) 801-68-68

Общий телефон

+7 (495) 324-50-50

пр. Космонавтов, д.11

+7 (495) 151-88-18

Детское отделение

+7 (495) 989-00-48

пр. Космонавтов, д.37

+7 (495) 156-20-30

ул. Терешковой, д.8

+7 (495) 104-42-00

отдел качества

Ежедневно с 8:00 до 21:00

Взрослая стоматология
Детская стоматология
+7 (495) 801-68-68

Общий телефон

+7 (495) 324-50-50

пр. Космонавтов, д.11

+7 (495) 151-88-18

Детское отделение

+7 (495) 989-00-48

пр. Космонавтов, д.37

+7 (495) 156-20-30

ул. Терешковой, д.8

+7 (495) 104-42-00

отдел качества

Взрослая стоматология
Детская стоматология

Лечение пульпита

Лечение каналов зуба – весьма распространённая процедура в стоматологических клиниках. Обычно, она требуется при запущенном кариесе или пульпите, когда каналы, то есть внутренние полости зуба, в которых «прячется» пульпа, или нерв, поражаются бактериями. Нередко каналы приходится расширять и чистить. Иногда эта процедура предваряет протезирование. В любом случае, лечение каналов – не самая приятная процедура, выполняется специалистами клиники «Инетердентос» профессионально, быстро, с минимальным дискомфортом и безупречным результатом!
9 клиник

9 клиник

В 5 городах подмосковья:
Королёв, Мытищи, Щёлково, Пушкино и Балашиха.
с 1998 года

с 1998 года

Многолетний накопленный опыт и собственная научная база позволяет решать даже самые сложные случаи
250 тысяч пациентов

250 тысяч пациентов

Доверили нам своё здоровье.
80% из них
— пришли к нам по рекомендациям
-0

Что такое пульпит?

Пульпит – это воспаление пульпы, расположенной в каналах зуба, иногда её могут называть нервом. Начальная стадия проявляется в виде боли при перепадов температур, надавливании при жевании. Если боль острая – это уже признак прогрессирующего пульпита. Бывают ситуации, когда пациенту трудно определить, какой из зубов болит, так как болевые ощущения распространяются на всю челюсть.

Существует острый и хронический пульпит:

  • Острый пульпит включает в себя: очаговый и диффузный.
  • Хронический пульпит может быть: фиброзным, гипертрофическим, гангренозным.

Пульпит нуждается в тщательной диагностике на основе рентгена и снимков, сбора анамнеза и тщательном планировании лечения. Метод лечения заключается в обеззараживании, удаление пульпы из каналов и последующем их пломбировании.

Быстрая запись на приём

Оставьте номер телефона и администратор перезвонит Вам в течение 5 минут.

img

Спасибо!

Наши специалисты свяжутся с вами в ближайшее время.

Ежедневно с 8:00 до 21:00

+7 (495) 801-68-68

Общий телефон

+7 (495) 324-50-50

пр. Космонавтов, д.11

+7 (495) 151-88-18

Детское отделение

+7 (495) 989-00-48

пр. Космонавтов, д.37

+7 (495) 156-20-30

ул. Терешковой, д.8

+7 (495) 104-42-00

отдел качества

Врачи направления

Все врачи

Наше оборудование

CEREC - технология художественной реставрации зубов за 2 часа

CEREC - технология художественной реставрации зубов за 2 часа

CAD/CAM система CEREC позволяет проводить лечение и протезирование зубов быстро и с высокой точностью – благодаря специальному сканеру, воспроизводящему модель зуба в 3D. CEREC Omnicam, MEDIT  i700,  PrimeScan.
Дентальный микроскоп

Дентальный микроскоп

Использование ультрасовременных дентальных микроскопов создает уникальные возможности для спасения «безнадежных зубов». Микроскопы:  Advanced,  Karl Kaps,  Carl Zeiss EXTARO 300, Prima D с вариоскопом.
3D томограф Galileos

3D томограф Galileos

Охватывает всю зубочелюстную систему, включая пазухи. А благодаря 3D-моделированию аппарат  позволяет повысить диагностическую точность и виртуально спланировать наиболее эффективное лечение.
Дентальный компьютерный томограф Planmeca ProMax

Дентальный компьютерный томограф Planmeca ProMax

Уникальный компьютерный томограф для качественной диагностики  и планирования лечения
Sleeper One - электронная система анестезии

Sleeper One - электронная система анестезии

Система анестезии нового поколения, объём, скорость и давление подачи препарата контролируется электронной системой. Специальные иглы обеспечивают безболезненность и снижают травматичность тканей.
ICON - лечение кариеса без препарирования

ICON - лечение кариеса без препарирования

ICON - специальный препарат в виде геля, который наносится на участок зуба и глубоко проникает в его ткани, уничтожая кариозные образования и укрепляя ткани зуба.
SAF - революция в лечении зубных каналов

SAF - революция в лечении зубных каналов

Самоадаптирующийся файл из сплава никеля и титана - эффективен в самых сложных случаях лечения каналов, максимально сохраняет здоровые ткани и форму каналов.
Стоматологическая установка DENTSPLY SIRONA

Стоматологическая установка DENTSPLY SIRONA

Признаны стоматологами во всём мире, как наиболее совершенные и комфортные, обладающие передовыми характеристиками. Обладают наградами iF Design Gold Award и German Design Award.

Цены на лечение пульпита зубов

Все цены

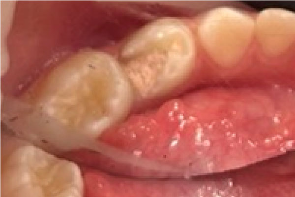
Лечение пульпита: фото До и После

Фото ДО
Фото ПОСЛЕ

Наведите для просмотра

Лечение пульпита

Фото ДО
Фото ПОСЛЕ

Наведите для просмотра

Лечение пульпита

Фото ДО
Фото ПОСЛЕ

Наведите для просмотра

Лечение пульпита

Фото ДО
Фото ПОСЛЕ

Наведите для просмотра

Лечение пульпита

Фото ДО
Фото ПОСЛЕ

Наведите для просмотра

Лечение пульпита

Наши клиники

Детское отделение

Клиника «Эксперт»

Центр экспертной ортодонтии и цифровой стоматологии

Клиника экстренной помощи

Наши лицензии

Лечение проводится на основании действующих медицинских лицензий Л041-01162-50/00360420 и Л041-01162-50/00367813. Это гарантирует, что все процедуры — от диагностики до реставрации — выполняются безопасно, с использованием сертифицированных материалов и оборудования, в строгом соответствии с российскими стандартами.

Л041-01162-50/00360420 Л041-01162-50/00360420

Открыть PDF
Л041-01162-50/00367813-1 Л041-01162-50/00367813

Л041-01162-50/00367813-2 Л041-01162-50/00367813

Л041-01162-50/00367813-3 Л041-01162-50/00367813

Л041-01162-50/00367813-4 Л041-01162-50/00367813

Л041-01162-50/00367813-5 Л041-01162-50/00367813

Л041-01162-50/00367813-6 Л041-01162-50/00367813

Л041-01162-50/00367813-7 Л041-01162-50/00367813

Л041-01162-50/00367813-8 Л041-01162-50/00367813

Л041-01162-50/00367813 Л041-01162-50/00367813

Открыть PDF

Почему воспаляются каналы зуба?

Чаще всего каналы зуба воспаляются по следующим причинам:

  • гигиена полости рта недостаточна;
  • в полости зуба попала инфекция;
  • мягкие ткани челюсти получили механические повреждения.

Симптомами воспаления каналов зуба являются боль при жевании и надавливании на зуб. Если же десна опухла, покраснела, воспалилась, произошло нагноение, то это повод немедленно обратиться к врачу, тем более что в нашей стоматологической клинике вы всегда получите быструю и квалифицированную помощь профессионалов.

Этапы лечения каналов зуба

Очень редкая раньше, сейчас эта стоматологическая процедура выполняется нашими специалистами часто и занимает непродолжительное время. Она включает в себя несколько основных этапов:

  • Подготовка. Предварительно доктор осмотрит пораженную область, при необходимости сделает рентгенографию зуба, чтобы поставить точный диагноз и принять решение о лечении.
  • Если необходима чистка каналов, то десна предварительно обезболивается, а сам зуб изолируется, чтобы во время лечения туда не попадала слюна.
  • Зуб рассверливается до пульпы, пораженные ткани (иногда вся пульпа целиком) удаляются, а каналы обеззараживаются.
  • Каналы пломбируются. При необходимости восстанавливается коронка зуба или в каналы устанавливается штифт, в дальнейшем будущий основой для зубного импланта.

Показания к лечению каналов

Лечение каналов зуба – процедура, требующая высокой квалификации от врачей. В советское время стоматологи чаще решали удалить сам зуб, но сегодня понимают, что естественный зуб просто необходимо сохранять, если имеется хоть малейшая возможность. Помимо эстетичности и функциональности такой зуб может в дальнейшем помочь своему обладателю и превратиться в надёжную опору для установки мостовидного протеза.

Основными показаниями к лечению каналов становятся:

  • кариес;
  • периодонтит;
  • пульпит.

Все эти заболевания сопровождаются дискомфортом и болью в ротовой полости. Очень часто зуб болит либо постоянно, либо периодически, при жевании и надавливании. Нередко проблема сопровождается отёчностью десны, иногда – её нагноением. Это говорит о серьёзном воспалении и требует немедленного вмешательства специалиста, поскольку промедление уничтожает возможность спасти зуб – тогда его придётся удалить, а на пустующее место установить имплант.

Немного о противопоказаниях

Лечение каналов зуба не проводится только в том случае, если спасти зуб не представляется возможным или целесообразным. Например, если зуб очень серьезно поражен пародонтозом, если сам зуб слишком повреждён механически, и его нельзя восстановить, если мягкие ткани зуба не оставляют возможности для спасения.

Отдельно стоит отметить анатомическую особенность некоторых зубов с невероятно длинными и ветвистыми каналами, которые невозможно обработать качественно. В этом случае лечение тоже не может быть осуществлено.

Консилиум врачей в подарок Получить подарок