Ежедневно с 8:00 до 21:00

+7 (495) 324-50-50

пр. Космонавтов, д.11

+7 (495) 151-88-18

Детское отделение

+7 (495) 989-00-48

пр. Космонавтов, д.37

+7 (495) 156-20-30

ул. Терешковой, д.8

+7 (495) 104-42-00

отдел качества

+7 (495) 801-68-68

Общий телефон

+7 (495) 324-50-50

пр. Космонавтов, д.11

+7 (495) 151-88-18

Детское отделение

+7 (495) 989-00-48

пр. Космонавтов, д.37

+7 (495) 156-20-30

ул. Терешковой, д.8

+7 (495) 104-42-00

отдел качества

Ежедневно с 8:00 до 21:00

Взрослая стоматология
Детская стоматология
+7 (495) 801-68-68

Общий телефон

+7 (495) 324-50-50

пр. Космонавтов, д.11

+7 (495) 151-88-18

Детское отделение

+7 (495) 989-00-48

пр. Космонавтов, д.37

+7 (495) 156-20-30

ул. Терешковой, д.8

+7 (495) 104-42-00

отдел качества

Взрослая стоматология
Детская стоматология

Ретейнеры

Ретейнеры для выравнивания зубов – обязательные конструкции, которые назначают пациентам после ношения брекетов.

9 клиник

9 клиник

В 5 городах подмосковья:
Королёв, Мытищи, Щёлково, Пушкино и Балашиха.
с 1998 года

с 1998 года

Многолетний накопленный опыт и собственная научная база позволяет решать даже самые сложные случаи
250 тысяч пациентов

250 тысяч пациентов

Доверили нам своё здоровье.
80% из них
— пришли к нам по рекомендациям
-0

Для чего нужны ретейнеры

Назначение ретейнеров – зафиксировать зубы в правильном положении после выравнивания брекетами или элайнерами, чтобы сохранить эффект и не допустить «отката» в изначальное состояние. С помощью жесткой конструкции зубные ряды в динамической системе челюстей удерживаются от перемещения. Дело в том, что зубы сами по себе не перемещаются без причины. Если их местоположение нарушено, то в большой долей вероятности на это есть какие-то причины, которые после ношения брекетов не устраняются, и после их снятия процесс может продолжиться. Ретейнеры для выравнивания зубов как раз и удерживают зубные корни в новом положении до тех пор, пока они надежно не зарастут тканями. Таким образом, ретейнеры для исправления прикуса обеспечат максимальный эффект при коррекции зубного ряда, и при этом мы гарантируем комфорт после снятия брекет систем.

Носить фиксаторы придется длительное время, пока мышцы окончательно не привыкнут к новому положению зубных единиц, связки переучатся на клеточном уровне, и обратное смещение становится невозможным. Связочный аппарат переучивается долго, всегда по-разному у разных пациентов, но этот процесс необходим, чтобы перестроить мышечную память и предотвратить повторный поворот зубов, приводящий к эстетическим недостаткам.

Что касается проволоки во рту, то немало исследований на эту тему завершались выводами о том, что качественное изделие не влияет на целостность и качество эмали.

Быстрая запись на приём

Оставьте номер телефона и администратор перезвонит Вам в течение 5 минут.

img

Спасибо!

Наши специалисты свяжутся с вами в ближайшее время.

Ежедневно с 8:00 до 21:00

+7 (495) 801-68-68

Общий телефон

+7 (495) 324-50-50

пр. Космонавтов, д.11

+7 (495) 151-88-18

Детское отделение

+7 (495) 989-00-48

пр. Космонавтов, д.37

+7 (495) 156-20-30

ул. Терешковой, д.8

+7 (495) 104-42-00

отдел качества

Наши врачи ортодонты

Все врачи

Цены на ретейнеры

Все цены

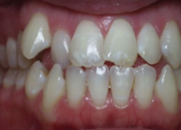
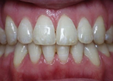
Ретейнеры: фото До и После

Фото ДО
Фото ПОСЛЕ

Наведите для просмотра

Ретейнеры

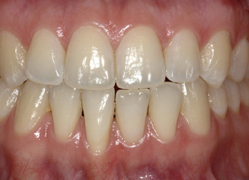
Фото ДО
Фото ПОСЛЕ

Наведите для просмотра

Ретейнеры

Наши клиники

Детское отделение

Клиника «Эксперт»

Центр экспертной ортодонтии и цифровой стоматологии

Клиника экстренной помощи

Наши лицензии

Лечение проводится на основании действующих медицинских лицензий Л041-01162-50/00360420 и Л041-01162-50/00367813. Это гарантирует, что все процедуры — от диагностики до реставрации — выполняются безопасно, с использованием сертифицированных материалов и оборудования, в строгом соответствии с российскими стандартами.

Л041-01162-50/00360420 Л041-01162-50/00360420

Открыть PDF
Л041-01162-50/00367813-1 Л041-01162-50/00367813

Л041-01162-50/00367813-2 Л041-01162-50/00367813

Л041-01162-50/00367813-3 Л041-01162-50/00367813

Л041-01162-50/00367813-4 Л041-01162-50/00367813

Л041-01162-50/00367813-5 Л041-01162-50/00367813

Л041-01162-50/00367813-6 Л041-01162-50/00367813

Л041-01162-50/00367813-7 Л041-01162-50/00367813

Л041-01162-50/00367813-8 Л041-01162-50/00367813

Л041-01162-50/00367813 Л041-01162-50/00367813

Открыть PDF

Чем отличается лечение ретейнерами

В стоматологической клинике «Итердентос» в Королеве проводится выравнивание зубов и исправление прикуса «под ключ», поэтому при планировании установки брекетов мы обязательно информируем пациентов о ношении ретейнеров и поясняем, что это такое, и какие цели это преследует для сохранения прекрасной улыбки на длительный срок.

После снятия брекетов мы обязательно установим ретейнеры и расскажем, как их носить, сколько времени займет процесс, и как за ними ухаживать.

Мы предлагаем нашим пациентам установку ретейнеров «под ключ» или в продолжение процедуры исправления прикуса с фиксированной стоимостью, как и при имплантации зубов, не меняя цены на материалы и услуги в процессе наблюдения. Наши врачи уже хорошо обучены и сертифицированы в работе с материалами для ортодонтического лечения ведущих мировых производителей. Каждый пациент получает внимание и назначение на основе его индивидуальной клинической картинки. Ваша улыбка будет безупречной!

Терапия ретейнерами для исправления прикуса имеет некоторые особенности, с которыми необходимо ознакомиться еще до их установки.

  • Время ношения определит врач, и его рекомендации необходимо выполнять безукоризненно.
  • Некоторые пациенты должны будут носить ретейнеры для выравнивания зубов на протяжении всей жизни, но переживать по этому поводу не стоит – конструкции незаметны снаружи, к ним быстро привыкаешь, они не мешают полноценно принимать пищу и улыбаться.
  • Ретейнеры изготавливают из гипоаллергенных составов, повышение чувствительности десен не грозит. Однако съемные модели могут привести к повышенному слюнообразованию. Меняется внешний вид, некоторые пациенты все-таки стесняются улыбаться и комплексуют.
  • Периодически придется приходить к ортодонту на прием, не допускать нарушений гигиены, вовремя проводить лечение кариеса.

Пациенты должны понимать, что для выравнивания зубов и исправления прикуса недостаточно относить брекеты для получения результата. Важно удержать этот результат, а для этого требуется носить брекеты гораздо больший срок. После снятия брекетов установка конструкции не занимает более 15 минут, причем установка проводится абсолютно безболезненно.

Показания и противопоказания

Поскольку процедура выравнивания зубов и исправления прикуса комплексная, то показания к ношению ретейнеров те же, что и при установке брекетов.

  • Укрепление зубов в нужном положении до обрастания натуральными тканями и изменения мышечной памяти;
  • Профилактика возврата к прежнему положению корней зуба.

А противопоказаниями ортодонтического лечения зубов являются только те, что возникают в период ношения брекетов - появление кариеса и налета в местах установки фиксаторов.

Установка ретейнеров проводится только после подготовки зубов. Врач тщательно обследует зубы после снятия брекетов, при необходимости проводит лечение кариеса. Проводится санация полости рта, устраняются все патологии, удаляется зубной камень. В стоимость ретейнеров включены профилактическая профессиональная чистка зубов, способ креплений, вид конструкции и проведение дополнительных исследований.

Варианты ретейнеров – какие выбрать?

Ретейнеры различаются по размерам, материалам изготовления, функционалу. Некоторые модели монолитно держатся в ротовой полости, другие можно снимать. Каждая конструкция имеет свои недостатки и достоинства.

Несъемные ретейнеры

Этот аппарат фиксируется с внутренней стороны с помощью закрепляющей проволоки и композитных компонентов. После снятия брекетов ортопед сразу установит несъемные ретейнеры и закрепит их для постоянной носки. Изделие легко носится, не мешает внутри ротовой полости, через некоторое время пациент ее практически не замечает, может говорить, петь, выступать публично. На адаптацию уходит примерно неделя.

Это - ваша конструкция, если самодисциплина для вас сложный квест, а резцы в нижней части челюсти требуют коррекции. Также важно ношение ретейнеров для тех, у кого в анамнезе диастема, и пациент боится ее повторного восстановления.

После проводится лечение кариеса, зубы пломбируют. Затем устанавливается проволочная конструкция и крепится на резцах и клыках. Несъемные конструкции пациент не может снимать самостоятельно, при обнаружении проблем нужно прийти к врачу в смотровой кабинет. Корректирующее приспособление очень маленькое, мешать оно не будет. Фиксирующие элементы полируют для гладкости. В первое время аккуратней относиться к твердой пище, постараться не злоупотреблять твердыми продуктами.

Очевидно, что несъемные ретейнеры более удобны в ношении, так как через неделю на них можно не обращать внимания. По окончании намеченного срока в своем кабинете ортодонт снимает приспособления и тщательно шлифует зубы со всех сторон.

Съемные ретейнеры

Существует два варианта съемных ретейнеров для исправления прикуса – в виде капы и пластинки, но оба их называют «ретенционными капами». Съемные конструкции требуют большего внимания, и несмотря на это необходимо тщательно выполнять рекомендации врача по срокам и способам их ношения. Стоят они дороже несъемных моделей, так как для их изготовления требуется больше манипуляций, нужно снимать слепки и передавать техникам для изготовления индивидуальных конструкций.

Они необходимы для стабилизации всех зубов, особенно для контроля положения корней резцов. Иногда моляры удаляют и важно сохранить промежутки между оставшимися зубами.

Для изготовления таких приспособлений применяют гипоаллергенный пластик. Ортодонт снимает слепки на одном или двух челюстях, в зависимости от плана лечения зубов. Полученные изделия полностью повторяют небные и анатомические изгибы зубов, металлическая дуга сжимает зубы, фиксируя их ненавязчиво и незаметно. Обязательно предварительно проводится лечение кариеса.

Часто съемные и несъемные модели сочетают, чтобы часть конструкции снимать на день, а проволоку оставлять внутри круглосуточно. Ночью капы работают, и этого достаточно, чтобы поддерживать равновесие корней.

Типы съемных конструкций

Существует два типа съемных ретейнеров, определяемых по виду материала изготовления.

  • Прозрачные силиконовые капы, блестящие, которые органично выглядят на зубах. Окружающие их практически не видят, а сам пациент быстро привыкает и забывает о дискомфорте. Можно смело улыбаться, вести социальную жизнь, а на время гигиены снимать капы.
  • Пластины на пластиковой основе, полупрозрачные. Крепления, металлические петли и дуга изготовлены из стальной проволоки. Ношение пластин требует самодисциплины.

Необходимо точно следовать рекомендациям стоматолога, чтобы процесс выравнивания зубов не пошел вспять и все усилия не были потрачены напрасно. Даже две недели пропуска ношения пластин могут нарушить совмещение конструкции на зубных рядах.

Выбор конструкции всегда индивидуален. В основном врач отталкивается об образа жизни пациента, его материальных возможностей и наличия самодисциплины. Что касается технических моментов, то оба варианта отлично справляются со своим назначением.

Куда устанавливают комбинированные ретейнеры

Иногда особенности челюстей требуют ношения и съемных, и несъемных конструкций. Для установки комбинированных моделей сначала выбирается последовательность ношения. Иногда разные типы ретейнеров устанавливают на верхней и нижней челюсти, или сначала применяется несъемная конструкция, а через несколько месяцев заменяется съемной или условно съемной.

Сколько времени носить конструкцию для исправления прикуса, рассчитывает врач, учитывая возраст пациента. В среднем, срок ношения капы или пластины будет в два раза больше, срок ношения брекетов.

Иногда несъемные ретейнеры устанавливают пожизненно, но чаще всего график ношения может включать несколько часов в день, на время сна или днем.

Последовательность установки ретейнеров

Установка ретейнеров назначается сразу после снятия брекетов.

  • Сначала аккуратно снимается клей на поверхности зубов от фиксации брекетов. Мы работаем специальными приспособлениями, не повреждая эмаль. Обязательно проводится профессиональная чистка зубов от налета и камня, наносится специальный состав для улучшения минерализации и снижения чувствительности.
  • Наносится адгезивный раствор для улучшения сцепления поверхностей.
  • Ретейнер укладывается на место, укрепится композитным материалом. Места сцепок шлифуются.
  • Избыточные налеты композита полируются для удобства ношения.
  • Врач проверяет правильность смыкания челюстей, при необходимости корректирует и дает практические советы, как ухаживать за ретейнерами, инструкции по ношению.
  • Запись на следующий прием.

На установку конструкции потребуется не более 15-25 минут. Весь прием укладывается в рамки обычного приема стоматолога.

В первые дни пациент может ощущать явный дискомфорт, который уходит за пару дней. Если неприятные ощущения сохранятся свыше этого срока, следует обратиться к ортодонту.

Сколько времени носят ретейнеры

Длительность ношения контролирующих прикус конструкций определяет врач. Все зависит от того, за сколько времени мышцы привыкнут к корректирующему положению челюсти. В целом их нужно носить несколько лет, а в редких случаях – пожизненно. В среднем - срок от 3 до 6 лет. Отменять ретейнеры также нужно постепенно.

Сначала их носят только ночью, а затем через день, чередуя, чтобы терапевтический результат стал естественным. Менять или снимать постоянный ретейнер должен врач, чтобы пациент не повредил эмаль зубов и мягкую ткань десен.

Что влияет на сроки ношения ретейнеров:

  • Насколько сильно был искривлен прикус;
  • Насколько сильно были кривыми зубы;
  • Образ жизни человека, возраст (чем старше человек, тем больше ношение систем);
  • Наличие сопутствующих заболеваний десен и костных тканей.

Ваш ортодонт регулярно будет контролировать состояние зубов. Мы призываем пациентов ответственно относиться к этому периоду, чтобы результаты радовали вас длительное время, и не обманули ожиданий.

Как ухаживать за несъемными ретейнерами

При отсутствии должного ухода за несъемными ретейнерами под конструкцией могут скапливаться бактерии, которые приводят к развитию инфекции в полости рта. Кариес быстро распространяется, и результат не только не оправдает существенных вложений, но может ухудшить ситуацию.

За несъемными ретейнерами необходимо ухаживать в весь срок ношения приспособления.

Правила ухода:

  • Тщательная гигиена полости рта обязательна. При чистке зубов и конструкции обычной щеткой, детально проходитесь по всем ее составляющим, очищайте зубы на внутренней поверхности. Приобретите жесткий ершик для чистки зубов в труднодоступных участках, а также зубные нити и ирригаторы.
  • Бережно относитесь к зубам при приеме твердых продуктов.
  • Не перекусывайте твердые предметы – провода, нитки проволоку, скорлупу орехов. Не открывайте зубами бутылки и банки, даже если они закрыты пластиковыми крышками.
  • Если ретейнер отклеился, срочно обратитесь к врачу и не пытайтесь сами устранять недостатки. Если изделие сломалось по вине неправильной эксплуатации, то замена изделия проводится платно. Также придется корректировать конструкцию при удалении зуба или имплантации зубов.
  • Полощите рот фторовыми составами для укрепления эмали.
  • Два раза в год проводите профессиональную чистку зубов для снятия зубного камня.

Если женщина к моменту снятия брекетов забеременела, то ретейнеры носить не рекомендуется. Также не устанавливают несъемную конструкцию спортсменам контактных силовых видов спорта (например, бокс).

Уход за съемными ретейнерами

Капы и съемные пластины устанавливают только после гигиенической чистки зубов.

  • Конструкции нужно снимать и тщательно промывать в мыльном растворе, и полоскать в проточной воде.
  • Для чистки зубов предпочтительны мягкие неабразивные пасты, не оставляющие следов на блестящих гладких поверхностях.
  • Мыть их следует холодной или теплой водой, но, ни в коем случае, не горячей, чтобы не спровоцировать деформацию изделия.
  • При поломке конструкции обратиться к врачу;
  • Для хранения изделий используйте герметичные контейнеры.

Прежде чем использовать конструкцию по назначению, каждый раз очищайте рот полощите антибактериальными растворами или простой водой.

Помните, что чем тщательнее вы соблюдаете рекомендации врача, тем больше гарантий у вас будет для красоты зубов, которая не меркнет со временем. А это еще и хороший прикус, эстетичный вид, равномерное распределение нагрузки на зубы, качественная речь.

При установке брекетов и ретейнеров, а также и в других услугах, например, удалении зуба или имплантации зубов, мы предлагаем своим клиентам европейский сервис. Прием ведут Профессионалы с большой буквы на современном стоматологическом оборудовании.

Консилиум врачей в подарок Получить подарок