Ежедневно с 8:00 до 21:00

+7 (495) 324-50-50

пр. Космонавтов, д.11

+7 (495) 151-88-18

Детское отделение

+7 (495) 989-00-48

пр. Космонавтов, д.37

+7 (495) 156-20-30

ул. Терешковой, д.8

+7 (495) 104-42-00

отдел качества

+7 (495) 801-68-68

Общий телефон

+7 (495) 324-50-50

пр. Космонавтов, д.11

+7 (495) 151-88-18

Детское отделение

+7 (495) 989-00-48

пр. Космонавтов, д.37

+7 (495) 156-20-30

ул. Терешковой, д.8

+7 (495) 104-42-00

отдел качества

Ежедневно с 8:00 до 21:00

Взрослая стоматология
Детская стоматология
+7 (495) 801-68-68

Общий телефон

+7 (495) 324-50-50

пр. Космонавтов, д.11

+7 (495) 151-88-18

Детское отделение

+7 (495) 989-00-48

пр. Космонавтов, д.37

+7 (495) 156-20-30

ул. Терешковой, д.8

+7 (495) 104-42-00

отдел качества

Взрослая стоматология
Детская стоматология

Лечение открытого прикуса

В стоматологической клинике «Интердентос» в Королеве выполняется лечение открытого прикуса у детей и взрослых по современным инновационным методикам.

Открытый прикус - сложные нарушение зубочелюстной системы, которые лечится с применением ортодонтических конструкций. Стоматологи-ортодонты нашего эстетического центра обладают высокой квалификацией и отточили практические навыки в эффективных методиках. Клиника оборудована передовой аппаратурой.

9 клиник

9 клиник

В 5 городах подмосковья:
Королёв, Мытищи, Щёлково, Пушкино и Балашиха.
с 1998 года

с 1998 года

Многолетний накопленный опыт и собственная научная база позволяет решать даже самые сложные случаи
250 тысяч пациентов

250 тысяч пациентов

Доверили нам своё здоровье.
80% из них
— пришли к нам по рекомендациям
-0

Как выглядит открытый прикус

Признаки открытого прикуса видны во внешнем облике человека. Неправильное смыкание верхних и нижних зубных рядов говорит о нарушении окклюзии. Открытый прикус – это когда между верхними и нижними зубами нет полного смыкания в боковых и фронтальных областях. Вертикальная щель изменяет вид человека не в лучшую сторону.

  • Непропорционально выглядят верхняя и нижняя часть (снизу удлинена);
  • Скос подбородка, отсутствие подбородочной складки;
  • Полуоткрытый рот;
  • Укороченная верхняя губа;
  • Нарушение дыхания, приводящие к нарушениям дикции, неправильное глотание и жевание;
  • Чтобы скрыть патологию, пациент выполняет неестественные движения челюстью.

Классификация прикуса включает передний и боковой варианты по месту расположения, а также, ложный и истинный, по способу появления. Ложный прикус появляется в результате травмы, в отличие от истинного, рахитического – от особенностей развития.

Также рассматривается высота щели над нижними зубами. Классификация предполагает три степени патологии, от параметров менее 5 мм, до более 9 мм.

  • 1 степень, отверстие при смыкании во фронтальной зоне;
  • 2 степень – при отверстии 5-9 мм, щель в области передних зубов и моляров;
  • 3 степень – большая щель, не смыкаются зубные ряды ни в одной области, кроме крайних жевательных зубов.

Также существуют классификации щелей по симметрии (симметричные или асимметричные), по расположении на челюсти (верхней, нижней или комбинированный вариант). Если ребенок имеет вредную привычку держать что-то во рту, то щель может повторять контуры этого предмета.

При неправильном прикусе распространены кариозные поражения, скученность зубов, неровные края, гипоплазия эмали. Лечение зубов верхней и нижней челюсти потребуется чаще - быстрее появляются отложения, десна кровоточат, появляются симптомы гингивита гипертрофического типа.

Сложные патологии открытого прикуса корректировать затруднительно, если открытый тип осложнен перекрестным искривлением.

Быстрая запись на приём

Оставьте номер телефона и администратор перезвонит Вам в течение 5 минут.

img

Спасибо!

Наши специалисты свяжутся с вами в ближайшее время.

Ежедневно с 8:00 до 21:00

+7 (495) 801-68-68

Общий телефон

+7 (495) 324-50-50

пр. Космонавтов, д.11

+7 (495) 151-88-18

Детское отделение

+7 (495) 989-00-48

пр. Космонавтов, д.37

+7 (495) 156-20-30

ул. Терешковой, д.8

+7 (495) 104-42-00

отдел качества

Наши ортодонты

Все врачи

Цены на лечение открытого прикуса

Все цены

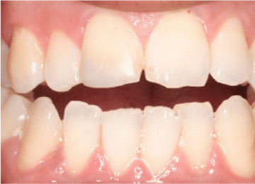
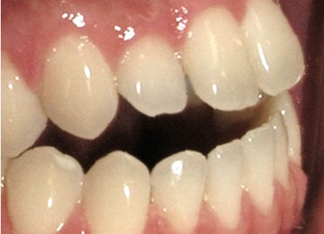
Открытый прикус: фото До и После

Фото ДО
Фото ПОСЛЕ

Наведите для просмотра

Открытый прикус

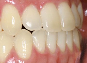
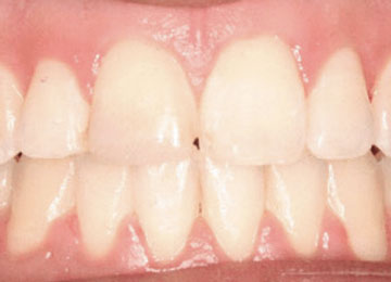
Фото ДО
Фото ПОСЛЕ

Наведите для просмотра

Открытый прикус

Наши клиники

Детское отделение

Клиника «Эксперт»

Центр экспертной ортодонтии и цифровой стоматологии

Клиника экстренной помощи

Наши лицензии

Лечение проводится на основании действующих медицинских лицензий Л041-01162-50/00360420 и Л041-01162-50/00367813. Это гарантирует, что все процедуры — от диагностики до реставрации — выполняются безопасно, с использованием сертифицированных материалов и оборудования, в строгом соответствии с российскими стандартами.

Л041-01162-50/00360420 Л041-01162-50/00360420

Открыть PDF
Л041-01162-50/00367813-1 Л041-01162-50/00367813

Л041-01162-50/00367813-2 Л041-01162-50/00367813

Л041-01162-50/00367813-3 Л041-01162-50/00367813

Л041-01162-50/00367813-4 Л041-01162-50/00367813

Л041-01162-50/00367813-5 Л041-01162-50/00367813

Л041-01162-50/00367813-6 Л041-01162-50/00367813

Л041-01162-50/00367813-7 Л041-01162-50/00367813

Л041-01162-50/00367813-8 Л041-01162-50/00367813

Л041-01162-50/00367813 Л041-01162-50/00367813

Открыть PDF

Как появляется открытый прикус

Патологическая дизокклюзия может начать развиваться в любом возрасте, при смене зубов. В детстве это смена молочных зубов на постоянные, в подростковом возрасте – появление коренных зубов. У детей патология проявляется по различным причинам, но чаще всего, это вредные привычки – грызть и сосать определенные предметы и пальцы, закусывание губы, высовывание языка.

Врожденные патологии верхней и нижней части чаще всего связаны с короткой уздечкой языка, частыми насморками, осложненными полипами или аденоидами. При искривлении носовой перегородки ребенок дышит преимущественно ртом, неправильно глотает, что также может привести к нарушению прикуса и появлению его открытой формы.

Патологическая форма прикуса, связанная с его неправильным формированием, происходит от с детского рахита и недостаточного развития костей.

Другие причины лечения открытого прикуса:

  • Наследственность;
  • Нарушения обмена веществ;
  • Увеличенный язык (макроглоссия);
  • Недостатки витаминов в организме;
  • Физические травмы;
  • Позднее прорезывание зубов;
  • Патологи, полученные во время внутриутробного развития из-за заболеваний, перенесенных матерью.

Помните – открытый прикус считается одно из сложных патологий, тяжело поддающейся исправлению. Чем раньше вы обратитесь к врачу-ортодонту для исправления прикуса, чем больше шансов полностью исправить положение и забыть о проблеме в будущем.

Методы лечения открытого прикуса у детей

Открытый прикус у детей предпочтительнее лечить уже во время формирования молочного прикуса. Профилактические мероприятия не позволяют патологии распространяться больше.

Что нужно делать, чтобы не дать развиться открытому прикусу:

  • Не позволять ребенку сосать пальцы, высовывать язык, так как эти дурные привычки способствуют сильному искривлению прикуса;
  • Учить ребенка дышать через нос, а не через рот;
  • Если стоматолог выявит нарушение средних размеров уздечки, ее можно укоротить;
  • Следить за питанием ребенка и не допускать рахита;
  • Вовремя проводить лечение зубов при появлении кариеса;
  • Чистить зубы и проводить гигиену полости рта у ребенка.

При смене молочного прикуса на постоянный необходимо уделять ребенку особое внимание. Важно больше времени посвящать гигиене полости рта, следить за поведением ребенка, отслеживать формирование зубных рядов.

При легкой форме нарушений для исправления открытого прикуса назначают физиотерапию и миогимнастику. Хороший эффект дает электромиостимуляция. Рекомендуется давать ребенку в пищу больше твердых продуктов для развития жевательных навыков.

Применять методики исправления прикуса применяют для детей старше 4 лет. В сложных случаях врач может назначить:

  • Расширитель небной зоны – когда верхняя и нижняя части не совпадают по размерам.
  • Подбородочный пращ или специальная корректирующая межчелюстная тяга помогут избежать сильного выдвигания нижней челюсти вперед.
  • Базисы – пластинки накусочные, активаторы положения языка, помогают придать ему правильное положение и развивать жевательные мышцы.

В подростковом возрасте происходит завершение смены временного прикуса на постоянный. Тогда после лечения зубов корректирующие процедуры могут быть более существенными – ношение брекет-систем, ортодонтических капп, условно-съемных протезов, установка металлокерамических коронок, ношение аппарата Энгля.

Как корректируется открытый прикус у взрослых

Нужно понимать, что у подростков и взрослых процесс лечения неправильного прикуса сложнее, чем у детей, и времени для этого потребуется больше. Но современные способы, включая брекет-системы, дают хорошие результаты.

Существует несколько распространенных методов:

  • Неинвазивные, включают ношение различных ортодонтических приспособлений - брекеты, капы, коронки;
  • Инвазивные, с применением хирургического вмешательства, направленного на придание зубным рядам физиологически правильного положения.

Хирургия дает самые надежные результаты, однако пациенту придется столкнуться с операцией и реабилитацией. Открытый прикус лучше всего исправляется различными видами брекет-систем.

Мы устанавливаем по показаниям и предпочтениям клиента:

  • Высокоэффективные металлические брекет-системы, которые справляются со сложными нарушениями прикуса;
  • Керамические – менее заметные, эстетичные, дающие хороший эффект при средних и простых нарушениях, особенно часто устанавливают на фронтальную зону;
  • Лингвальные брекет-системы - самый эстетичный вариант, невидимый извне из-за креплений на внутренней стороне.

Почему нужно исправлять открытый прикус у детей и взрослых

Неправильно сформированный прикус в стадии открытого может принести человеку множество проблем, от недостаточной эстетики внешности, до физиологических нарушений.

Из-за открытого прикуса нарушается носовое дыхание. Человек неправильно глотает, страдает дикция, появляются желудочно-кишечные отклонения.

В зубной челюсти развивается кариес, может появиться сухость слизистых оболочек, напряжение жевательных мышц. Человек на фоне этих неприятностей чувствует себя угнетенно, испытывают психологические и моральные проблемы. Нужно понимать, что, если прикус уже с патологией, он не сможет сам исправиться. Даже если установить импланты, это не поможет наладить правильное смыкание челюстей. Только ортодонтические методики помогут выровнять зубные ряды и окклюзию.

Лечение открытого прикуса

  • При визуальном осмотре врач уже может определить патологию и степень ее развития. Врач осматривает не только ротовую полость, а и лицо, замеряет расстояние между противоположными зубами.
  • Для определения внутренних процессов назначается аппаратная диагностика – ТРГ, ортопантомография, процедура рентгеноцефалометрического анализа.
  • При наличии проблем с дыханием и речью пациент направляется на консультацию к логопеду и лору.
  • Вариант коррекции врач выбирает после анализа данных, предварительно согласовав все с пациентом или, если пациент - ребенок, то с его родителями.
  • Лечение прикуса. В случае травматического варианта лечение проходит быстрее. При истинной патологии, как правило, это длительный процесс, занимающий от двух лет.
  • Установка кап, брекет-систем, элайнеров или других конструкций. Сначала выравниваются зубы, а затем усилия направляются на конфигурацию челюстей путем установки тяги – колец из силикона или специального пластика, закрепленного на элайнерах или брекетах.

Ношение кап и тяги

Схему ношения тяг разрабатывает стоматолог-ортодонт. По промежуткам коррекции схемы корректируют. При помощи тяг через несколько месяцев зубы начинают смыкаться, окклюзия становится симметричной.

Тяги не нужно носить во время приема пищи – их снимают, затем проводят очистительные процедуры полости рта, и снова одевают.

Как проводится хирургическое лечение

Самые сложные патологии, которые требуют хирургического вмешательства, лечат в условиях стационара, под общим наркозом.

  • Проводится рассечение кости, придание правильного положения и фиксация для сращивания и реабилитации.
  • Также могут проводить операцию на ольвеолярных отростках.
  • Изменение размера и формы подбородка – гениопластика.

Лицевые дефекты корректируются в таких процедурах: операция в области расщелины верхней губы и небной зоны, пластика уздечки языка.

Записаться в стоматологическую клинику «Интердентос» в Королеве можно по нашим телефонам. С вами будут работать большие профессионалы в своем деле – наши хирурги-стоматологи и ортодонты.

Консилиум врачей в подарок Получить подарок