Ежедневно с 8:00 до 21:00

+7 (495) 324-50-50

пр. Космонавтов, д.11

+7 (495) 151-88-18

Детское отделение

+7 (495) 989-00-48

пр. Космонавтов, д.37

+7 (495) 156-20-30

ул. Терешковой, д.8

+7 (495) 104-42-00

отдел качества

+7 (495) 801-68-68

Общий телефон

+7 (495) 324-50-50

пр. Космонавтов, д.11

+7 (495) 151-88-18

Детское отделение

+7 (495) 989-00-48

пр. Космонавтов, д.37

+7 (495) 156-20-30

ул. Терешковой, д.8

+7 (495) 104-42-00

отдел качества

Ежедневно с 8:00 до 21:00

Взрослая стоматология
Детская стоматология
+7 (495) 801-68-68

Общий телефон

+7 (495) 324-50-50

пр. Космонавтов, д.11

+7 (495) 151-88-18

Детское отделение

+7 (495) 989-00-48

пр. Космонавтов, д.37

+7 (495) 156-20-30

ул. Терешковой, д.8

+7 (495) 104-42-00

отдел качества

Взрослая стоматология
Детская стоматология

Реставрация зубов

Реставрация зубов заключается в их качественном восстановлении, когда зуб не только вновь приобретает утраченную функциональность, но и выглядит естественно и эстетично, не отличаясь от натуральных зубов.
9 клиник

9 клиник

В 5 городах подмосковья:
Королёв, Мытищи, Щёлково, Пушкино и Балашиха.
с 1998 года

с 1998 года

Многолетний накопленный опыт и собственная научная база позволяет решать даже самые сложные случаи
250 тысяч пациентов

250 тысяч пациентов

Доверили нам своё здоровье.
80% из них
— пришли к нам по рекомендациям
-0

Восстановление зубов от настоящих профессионалов

Реставрацию зубов стоматологи смогли осуществлять после появления высокотехнологичных методов и особых светоотверждаемых материалов, близких по своим физико-химическим свойствам к природному составу зубов. Стоматолог, выполняющий восстановление зубов должен обладать талантом художника, аккуратностью ювелира и интеллектом ученого. Эти качества позволяют доктору создавать настоящие шедевры – прочные и красивые зубы.

Быстрая запись на приём

Оставьте номер телефона и администратор перезвонит Вам в течение 5 минут.

img

Спасибо!

Наши специалисты свяжутся с вами в ближайшее время.

Ежедневно с 8:00 до 21:00

+7 (495) 801-68-68

Общий телефон

+7 (495) 324-50-50

пр. Космонавтов, д.11

+7 (495) 151-88-18

Детское отделение

+7 (495) 989-00-48

пр. Космонавтов, д.37

+7 (495) 156-20-30

ул. Терешковой, д.8

+7 (495) 104-42-00

отдел качества

Услуги

Услуги

Наше оборудование

CEREC - технология художественной реставрации зубов за 2 часа

CEREC - технология художественной реставрации зубов за 2 часа

CAD/CAM система CEREC позволяет проводить лечение и протезирование зубов быстро и с высокой точностью – благодаря специальному сканеру, воспроизводящему модель зуба в 3D. CEREC Omnicam, MEDIT  i700,  PrimeScan.
Дентальный микроскоп

Дентальный микроскоп

Использование ультрасовременных дентальных микроскопов создает уникальные возможности для спасения «безнадежных зубов». Микроскопы:  Advanced,  Karl Kaps,  Carl Zeiss EXTARO 300, Prima D с вариоскопом.
3D томограф Galileos

3D томограф Galileos

Охватывает всю зубочелюстную систему, включая пазухи. А благодаря 3D-моделированию аппарат  позволяет повысить диагностическую точность и виртуально спланировать наиболее эффективное лечение.
Дентальный компьютерный томограф Planmeca ProMax

Дентальный компьютерный томограф Planmeca ProMax

Уникальный компьютерный томограф для качественной диагностики  и планирования лечения
Sleeper One - электронная система анестезии

Sleeper One - электронная система анестезии

Система анестезии нового поколения, объём, скорость и давление подачи препарата контролируется электронной системой. Специальные иглы обеспечивают безболезненность и снижают травматичность тканей.
Стоматологическая установка DENTSPLY SIRONA

Стоматологическая установка DENTSPLY SIRONA

Признаны стоматологами во всём мире, как наиболее совершенные и комфортные, обладающие передовыми характеристиками. Обладают наградами iF Design Gold Award и German Design Award.

Цены на восстановление зубов

Все цены

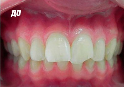
Результат восстановления зубов

Фото ДО
Фото ПОСЛЕ

Наведите для просмотра

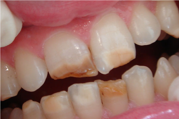
Реставрация фронтальной группы зубов

Фото ДО
Фото ПОСЛЕ

Наведите для просмотра

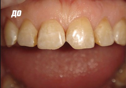
Реставрация фронтального зуба

Фото ДО
Фото ПОСЛЕ

Наведите для просмотра

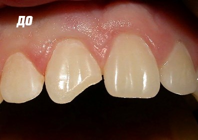
Реставрация скола переднего зуба

Фото ДО
Фото ПОСЛЕ

Наведите для просмотра

Реставрация скола

Фото ДО
Фото ПОСЛЕ

Наведите для просмотра

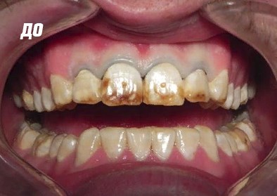
Реставрация зубов / микропротезирование

Фото ДО
Фото ПОСЛЕ

Наведите для просмотра

Реставрация зубов

Фото ДО
Фото ПОСЛЕ

Наведите для просмотра

Реставрация фронтальной группы зубов

Фото ДО
Фото ПОСЛЕ

Наведите для просмотра

Реставрация сколотого зуба

Фото ДО
Фото ПОСЛЕ

Наведите для просмотра

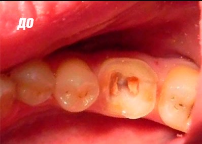
Реставрация жевательных зубов

Фото ДО
Фото ПОСЛЕ

Наведите для просмотра

Реставрация CEREC

Наши клиники

Детское отделение

Клиника «Эксперт»

Центр экспертной ортодонтии и цифровой стоматологии

Клиника экстренной помощи

Наши лицензии

Лечение проводится на основании действующих медицинских лицензий Л041-01162-50/00360420 и Л041-01162-50/00367813. Это гарантирует, что все процедуры — от диагностики до реставрации — выполняются безопасно, с использованием сертифицированных материалов и оборудования, в строгом соответствии с российскими стандартами.

Л041-01162-50/00360420 Л041-01162-50/00360420

Открыть PDF
Л041-01162-50/00367813-1 Л041-01162-50/00367813

Л041-01162-50/00367813-2 Л041-01162-50/00367813

Л041-01162-50/00367813-3 Л041-01162-50/00367813

Л041-01162-50/00367813-4 Л041-01162-50/00367813

Л041-01162-50/00367813-5 Л041-01162-50/00367813

Л041-01162-50/00367813-6 Л041-01162-50/00367813

Л041-01162-50/00367813-7 Л041-01162-50/00367813

Л041-01162-50/00367813-8 Л041-01162-50/00367813

Л041-01162-50/00367813 Л041-01162-50/00367813

Открыть PDF

Реставрация зубов рекомендована в следующих случаях

  • При лечении кариеса, чтобы пломба по цвету и структуре не отличалась от здоровой ткани зуба;
  • При визуальных дефектах зуба – флюорозе, сколах, асимметрии;
  • При изменениях цвета вследствие некачественного эндодонтического лечения;
  • При отсутствии одного зуба;
  • Для придания зубу нужной анатомической формы.

Реставрация отличается от прочих методов восстановления зубов множеством преимуществ:

  • Во-первых, осуществляется стоматологом за один-два визита пациента.
  • Во-вторых, материалы обладают высокой прочностью и эластичностью.
  • В-третьих, возможна оперативная коррекция в случае сколов или других повреждений материала.

В стоматологическом центре «Интердентос» реставрацию зубов проводят только высококвалифицированные стоматологи, прошедшие специальную подготовку. При восстановлении зубов учитывается их цвет, прозрачность и форма. А в случае повышенной стираемости врач дополнительно корректирует прикус, оценив нарушения на специальном оборудовании.

Консилиум врачей в подарок Получить подарок