Ежедневно с 8:00 до 21:00

+7 (495) 324-50-50

пр. Космонавтов, д.11

+7 (495) 151-88-18

Детское отделение

+7 (495) 989-00-48

пр. Космонавтов, д.37

+7 (495) 156-20-30

ул. Терешковой, д.8

+7 (495) 104-42-00

отдел качества

+7 (495) 801-68-68

Общий телефон

+7 (495) 324-50-50

пр. Космонавтов, д.11

+7 (495) 151-88-18

Детское отделение

+7 (495) 989-00-48

пр. Космонавтов, д.37

+7 (495) 156-20-30

ул. Терешковой, д.8

+7 (495) 104-42-00

отдел качества

Ежедневно с 8:00 до 21:00

Взрослая стоматология
Детская стоматология
+7 (495) 801-68-68

Общий телефон

+7 (495) 324-50-50

пр. Космонавтов, д.11

+7 (495) 151-88-18

Детское отделение

+7 (495) 989-00-48

пр. Космонавтов, д.37

+7 (495) 156-20-30

ул. Терешковой, д.8

+7 (495) 104-42-00

отдел качества

Взрослая стоматология
Детская стоматология

Стоматолог детский

Павлова Татьяна Владимировна

  • Работает только с увеличением (микроскоп), по современным протоколам
  • Контроль и лечение начального кариеса без препарирования (технология ICON).
  • Специалист по эстетическим реставрациям зубов.
Павлова Татьяна Владимировна
Татьяна Владимировна - замечательный врач-эксперт медицинского центра. За 25 лет профессионального стажа доктор стал не только опытным специалистом, но и наставником для коллег. Регулярно совершенствуя свои навыки, доктор проходит стажировки как внутри страны, так и за рубежом (2021 Израиль), что позволяет ей быть в курсе всех последних медицинских достижений в своей области.

В своей практике Татьяна Владимировна специализируется на лечении и реставрации как молочных, так и постоянных зубов с помощью передовых технологий. Она успешно реабилитирует детей с травмами зубов, проводит лечение постоянных зубов у детей с несформированными корнями, а также осуществляет манипуляции с применением микроскопа. Одной из ключевых специализаций доктора является проведение лечения зубов детей под наркозом и седацией, что делает процедуру максимально комфортной для маленьких пациентов.

Особенно стоит отметить огромный опыт Татьяны Владимировны в области психологической адаптации детей к лечению зубов в игровой форме. Ее теплый и заботливый подход к каждому ребенку позволяет маленьким пациентам чувствовать себя комфортно и безопасно во время посещения стоматолога. Родители доверяют доктору и часто сами обращаются к ней за помощью, а многие семьи остаются наблюдаться у нее на протяжении многих лет.

Благодаря высокой квалификации и доверию пациентов, к доктору направляют сложные и нестандартные случаи из других клиник. Ее профессионализм и забота о каждом пациенте делают её одним из лучших специалистов в области стоматологии, особенно в работе с детьми.

Стаж работы

20 лет

Принимает клиниках

  • пр. Космонавтов, 11 (Детское отделение)
  • Клиника в г. Щелково

Специализация

  • Стоматолог детский

Сертификаты

332
333
334
335
336
337
338
339
341
342
343
344
345
346
347
348
349
350
351

Отзывы по врачу

Читать все отзывы

Врач: Павлова Татьяна Владимировна

Врач от Бога! Очень хорошая, внимательная , честная. Были на лечение с ребёнком (ребёнку 5 лет) Подход 100% к ребёнку! Сложное лечение было, справилось на 1000% Рекомендую!!!!...
Врач от Бога! Очень хорошая, внимательная , честная. Были на лечение с ребёнком (ребёнку 5 лет) Подход 100% к ребёнку! Сложное лечение было, справилось на 1000% Рекомендую!!!!
Показать весь отзыв

Врач: Павлова Татьяна Владимировна

Ребенок 5 лет лечил зубы добровольно и не боясь в детской поликлинике. Все было хорошо, пока не потребовалось лечение с анестезией.
«Комарик» все-таки кусается, да и возможно незнакомое онемение в области рта, вызвало у ребенка страх и нежелан...
Ребенок 5 лет лечил зубы добровольно и не боясь в детской поликлинике. Все было хорошо, пока не потребовалось лечение с анестезией.
«Комарик» все-таки кусается, да и возможно незнакомое онемение в области рта, вызвало у ребенка страх и нежелание продолжать лечение.
Обратились в Интердентос, чтоб были и мультики, и уси-пуси, и чтоб качественно, надолго и без стрессов. Врач Павлова Т.В.  была строга, серьезна и сделала свою работу безупречно. Пришлось применить сочетанную анестезию. Ребенок даже не понял что делали, смотрел мультики. Не дешево, но это осознанный выбор.
Показать весь отзыв

Врач: Павлова Татьяна Владимировна

Я Фомина Евгения очень благодарю «МЦ Интердентос» за великолепное лечение зубов всей нашей семьи, особенно ребенку. «Севоран» не опасен, все хорошо перенесли теперь зубки жемчужинки. Отдельная благодарность Павловой Татьяне Владимировне – лучше врача...
Я Фомина Евгения очень благодарю «МЦ Интердентос» за великолепное лечение зубов всей нашей семьи, особенно ребенку. «Севоран» не опасен, все хорошо перенесли теперь зубки жемчужинки. Отдельная благодарность Павловой Татьяне Владимировне – лучше врача не бывает, Профессионал с большой буквы, удивительный подход к ребенку.<br>
<br>
<b>СПАСИБО!!!<br>
</b><br>
Михайлов Эдуард Валентинович, спасибочки большое! И спасибо всему персоналу.
Показать весь отзыв

Работы врача

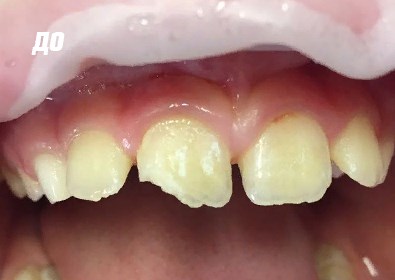
Фото ДО
Фото ПОСЛЕ

Наведите для просмотра

Реставрация скола переднего зуба у ребенка

Фото ДО
Фото ПОСЛЕ

Наведите для просмотра

Реставрация скола

Фото ДО
Фото ПОСЛЕ

Наведите для просмотра

Лечение детского кариеса

Фото ДО
Фото ПОСЛЕ

Наведите для просмотра

Лечение детского кариеса

Фото ДО
Фото ПОСЛЕ

Наведите для просмотра

Лечение детского кариеса

Фото ДО
Фото ПОСЛЕ

Наведите для просмотра

Реставрация CEREC

Фото ДО
Фото ПОСЛЕ

Наведите для просмотра

Реставрация передних зубов

Фото ДО
Фото ПОСЛЕ

Наведите для просмотра

Коронки на молочные зубы

Клиники, в которых принимает специалист

Детское отделение

Клиника в г. Щелково

Консилиум врачей в подарок Получить подарок