Взрослая стоматология Королёв
Ежедневно с 8:00 до 21:00
Общий телефон
пр. Космонавтов, д.11
Детское отделение
пр. Космонавтов, д.37
ул. Терешковой, д.8
отдел качества
Полный спектр услуг
-
Диагностика
- Аксиография
- ДКТ
- Кондилография
- ТРГ
- Консилиум врачей
- Консультация с искусственным интеллектом Diagnocat
-
Исправление прикуса
- Брекеты
- Элайнеры
- Выравнивание зубов
- TENS терапия
- Миография
- Открытый прикус
- Исправление прикуса без брекетов
- Трейнеры
- Сплинт терапия
- Диагностика ВНЧС
- Консультация гнатолога
- Лечение ВНЧС
- Капа для зубов
- Ретейнеры
-
Имплантация зубов
- Имплантация нижних зубов
- Одномоментная имплантация зубов
- Имплантация верхних зубов
- Полная имплантация зубов
- Синус лифтинг
- Имплантация зубов под ключ
- Имплантация одного зуба
- Имплантация передних зубов
- All on 6
- All on 4
- Импланты Ankylos
- Импланты Osstem
- Импланты Straumann
- Имплантация жевательных зубов
- Имплантация зубов под наркозом
Наше оборудование
Цены на взрослую стоматологию
Диагностика
-
Консультация терапевта-стоматолога
1076
-
Консультация ортодонта-стоматолога
1290
-
Прием (осмотр, консультация) врача-ортодонта первичный (К11 и К37)
1823
-
Прием (осмотр, консультация) врача-ортопеда первичный (К11 и К37)
1823
-
Прием (осмотр, консультация) врача-стоматолога хирурга первичный (К11 и К37)
1823
-
Прием (осмотр, консультация) врача-терапевта первичный (К11 и К37)
1823
-
ОПТГ (по направлению нашей клиники)
1823
-
ОПТГ (по направлению из другого ЛПУ)
3197
ДКТ - (Дентальная компьютерная томография)
-
ДКТ (пациенту из другого ЛПУ)
8930
-
ДКТ (по направлению нашей клиники)
4254
Искусственный интеллект Diagnocat
-
Первичная консультация с искусственным интеллектом Diagnocat
1823
Совместные консультации
-
Прием врачей-стоматологов (терапевт, хирург, ортопед, ортодонт), совместная консультация 4-х специалистов
4725
-
Прием врачей-стоматологов (терапевт, хирург, ортопед), совместная консультация 3-х специалистов
3675
-
Прием врачей-стоматологов (хирург, ортопед), совместная консультация 2-х специалистов
2625
ТРГ (Телерентгенограмма)
-
ТРГ (по направлению нашей клиники)
1758
-
ТРГ(по направлению из другого ЛПУ)
3638
Лечение зубов
Лечение кариеса
-
Лечение кариеса (стоимость без учета снимка и анестезии)
12619
Лечение под микроскопом
-
Лечение кариеса под микроскопом (стоимость без учета снимка и анестезии)
14165
-
Эндодонтическое лечение пульпита под микроскопом ( за 1 канал) ( стоимость без учета снимка и анестезии )
24922
Лечение под седацией и наркозом
-
Анестезиолог (сбор анамнеза, консульт, назнач. анализов и их дальнейшая проверка)
1781
-
Наркоз газ "Севоран" первые (30 минут)
13270
-
Наркоз следующие (30 минут)
8845
-
Седация ЗАКС (60 мин)
8042
Лечение пульпита/периодонтита
-
Восстановление жевательного зуба после эндодонтического лечения
14320
-
Восстановление зуба пломбировочным материалом, с использованием анкерных штифтов, жевательного
13320
-
Восстановление зуба пломбировочным материалом, с использованием анкерных штифтов, фронтального
16147
-
Восстановление зуба пломбировочным материалом, с использованием стекловолоконного штифта, жевательного
14066
-
Восстановление зуба пломбировочным материалом, с использованием стекловолоконного штифта, фронтального
14924
-
Эндодонтическое лечение пульпита ( за 1 канал) (стоимость без учета снимка и анестезии)
22498
Гигиена полости рта
-
Гигиена методом ClinPro для взрослых (услуга не оказывается в клинике г. Королёв, Космонавтов 11)
10123
-
Глубокое фторирование эмали зубов с помощью геля APF
1211
-
Местное применение реминерализирующих препаратов в области зуба, обеих челюстей эмаль-ликвидом
3361
-
Профессиональная гигиена полости рта и зубов при постоянном прикусе
9141
Гигиена полости рта (протокол GBT)
-
Профессиональная гигиена полости рта и зубов на аппарате Prophylaxis Master
12518
Реставрация зубов
-
Художественная реставрация композитом
14320
Микропротезирование
-
Керамическая накладка (без учета слепков)
13386
Реставрация CEREC
-
Восстановление зуба виниром Cerec из Emax в клинике
41119
-
Восстановление зуба коронкой Cerec из Emax в клинике
39409
-
Восстановление зуба коронкой Cerec из Emax в клинике, с индивидуализацией
50299
-
Восстановление зуба коронкой Cerec из Empress в клинике
37685
-
Восстановление зуба накладкой Cerec из Emax в клинике
32372
-
Восстановление зуба накладкой Cerec из Emax в клинике, с индивидуализацией
42746
-
Восстановление зуба накладкой Cerec из Empress в клинике
28921
-
Восстановление зуба накладкой Cerec из полевошпатной керамики в клинике
23763
Удаление зубов
-
Простое удаление зуба (стоимость без учета снимка и анестезии)
6327
-
Сложное удаление зуба (стоимость без учета снимка и анестезии)
9844
-
Удаление дистопированного зуба (стоимость без учета снимка и анестезии)
16170
-
Удаление зуба подвижного при пародонтите (стоимость без учета снимка и анестезии)
4218
-
Удаление зуба, подвижного фрагмента (стоимость без учета снимка и анестезии)
4218
Протезирование зубов
АкриФри
-
Протезирование зубов полными съемными пластиночными протезами из безмономерной пластмассы (Акри Фри)
50397
Акриловые протезы
-
Акриловые протезы - одна челюсть
89250
Бюгельный протез
-
Протезирование бюгельным протезом с замковой фиксацией
129083
-
Протезирование съемными бюгельными протезами с кламмерной фиксацией
112427
Квадротти (Quattro Ti)
-
Протезирование съемными бюгельными протезами по технологии Квадротти
72593
Керамические коронки
-
Восстановление зуба коронкой Cerec из Emax в клинике (без слепков)
43388
-
Восстановление зуба коронкой Cerec из Empress в клинике (без слепков)
41461
Коронка на импланте
-
Металлокерамическая коронка на имплант Ankylos (без слепков)
61654
-
Металлокерамическая коронка на имплант Osstem (без слепков)
47913
-
Металлокерамическая коронка на имплант Straumann (без слепков)
65403
-
Цирконевая коронка на имплант Ankylos (без слепков)
52117
-
Цирконевая коронка на имплант Osstem (без слепков)
51383
-
Цирконевая коронка на имплант Straumann (без слепков)
66918
Металлокерамические коронки
-
Металлокерамическая коронка (без слепков)
35359
Мостовидный протез
-
Мостовидный протез из металлокерамики
78750
-
Мостовидный протез из металлокерамики порой на имплантаты
96600
-
Мостовидный протез из циркония
92400
-
Мостовидный протез из циркония с опорой на имплантаты
102900
Нейлоновый протез
-
Протезирование нейлоновым протезом (1 челюсть)
15750
Несъемное протезирование
-
Исследование на диагностических моделях челюстей с восковой моделировкой (Wax-up) будущей ортопедической конструкции с целью планирования препарирования, эстетики и функции (1 ед.) в артикуляторе
2130
-
Снятие оттиска с одной челюсти альгинатного
906
-
Снятие оттиска с одной челюсти для изготовления силиконового ключа
711
-
Снятие оттиска с одной челюсти силиконового (группа С)
1434
-
Снятие оттиска с одной челюсти силиконового, двойного (группа А)
2818
Протез бабочка
-
Протез бабочка
16800
Протезы Premium класса (Candulor)
-
Протезирование зубов полными съемными пластиночными протезами (1 челюсть) армированный (CANDULOR) (без стоимости слепков и временного протезирования)
117411
-
Протезирование зубов полными съемными пластиночными протезами 1 челюсть (CANDULOR) (без стоимости слепков и временного протезирования)
105626
Съемное протезирование
-
Протезирование зубов полными съемными пластиночными протезами (за 1 челюсть) (без стоимости слепков и временного протезирования)
39796
-
съемный пластиночный протез армированный Locator на 4 имплантах Straumann (без учета хирургического этапа) (без стоимости слепков и временного протезирования)
249633
-
съемный пластиночный протез армированный Locator на 2 имплантах Ankylos (без учета хирургического этапа) (без стоимости слепков и временного протезирования)
144357
-
съемный пластиночный протез армированный Locator на 2 имплантах Osstem (без учета хирургического этапа) (без стоимости слепков и временного протезирования)
166219
-
съемный пластиночный протез армированный Locator на 2 имплантах Straumann ( без учета хирургического этапа) (без стоимости слепков и временного протезирования)
170903
-
съемный пластиночный протез армированный Locator на 4 имплантах Ankylos (без учета хирургического этапа) (без стоимости слепков и временного протезирования)
196542
-
съемный пластиночный протез армированный Locator на 4 имплантах Osstem (без учета хирургического этапа) (без стоимости слепков и временного протезирования)
240265
Циркониевые коронки
-
Циркониевая коронка (без слепков)
42725
Имплантация зубов
-
Внутрикостная дентальная имплантация с применением имплантатов, проведение операции (без учета импланта)
34129
Имплантация All on 4
-
съемный протез на 4 имплантах Candulor на имплантах Ankylos ( без учета хирургического этапа, без стоимости слепков и временного протезирования)
314535
-
съемный протез на 4 имплантах Candulor на имплантах Straumann (без учета хирургического этапа, без стоимости слепков и временного протезирования)
348231
-
съемный протез на 4 имплантах Candulor на имплантах Osstem ( без учета хирургического этапа, без стоимости слепков и временного протезирования)
276334
Имплантация All on 6
-
съемный протез на 6 имплантах Candulor на имплантах Straumann ( без учета хирургического этапа, без стоимости слепков и временного протезирования)
453030
-
съемный протез на 6 имплантах Candulor на имплантах Osstem ( без учета хирургического этапа, без стоимости слепков и временного протезирования )
345183
-
съемный протез на 6 имплантах Candulor на имплантах Ankylos ( без учета хирургического этапа, без стоимости слепков и временного протезирования)
402483
Импланты Ankylos
-
Дентальная имплантация с применением имплантатов Ankylos (стоимость без учета снимка и анестезии)
89937
Импланты Osstem
-
Дентальная имплантация с применением имплантатов Osstem (стоимость без учета снимка и анестезии)
71382
Импланты Straumann
-
Дентальная имплантация с применением имплантатов Straumann (стоимость без учета снимка и анестезии)
102415
Синус лифтинг
-
Синус-лифтинг (костная пластика, остеопластика) закрытый (без учета костного материала)
28668
-
Синус-лифтинг (костная пластика, остеопластика) открытый (без учета костного материала)
50944
Исправление прикуса
TENS терапия
-
Депрограммирование нижней челюсти с помощью аппарата ТЭНС
10417
-
Депрограммирование нижней челюсти с помощью аппарата ТЭНС (повторный прием)
6945
Аксиография
-
Аксиография (цифровая) височно-нижнечелюстного сустава
30383
-
Аксиография (цифровая) височно-нижнечелюстного сустава на этапе лечения
15191
-
Аксиография (цифровая) височно-нижнечелюстного сустава (из других ЛПУ)
39376
Безлигатурные брекеты
-
Металлические самолигирующие брекеты СмартКлип (брекеты и замки на одну челюсть)
40953
-
Ортодонтическая коррекция - Применение брекет-системы Металлические самолигирующие брекеты Damon Q или Q2 (брекеты и замки на одну челюсть)
63657
-
Ортодонтическая коррекция - Применение брекет-системы Металлические саморегулирующие брекеты Pitts 21 (брекеты и замки на 1 челюсть)
72966
Брекеты
-
Ортодонтическая коррекция - Применение брекет-системы Carriere SLX 3D (брекеты и замки на одну челюсть)
52736
-
Применение брекет-системы Н4 10 шт. (брекеты и замки на одну челюсть)
62855
-
Применение комбинированной самолигирующей брекет-системы керамические брекеты Damon Сlear 12 шт. + металлические брекеты Damon Q 8 шт (брекеты и замки на две челюсти)
134906
Гнатология
-
Консультация гнатолога
2035
Диагностика ВНЧС
-
Компьютерная томография ВНЧС двух суставов в двух положениях с описанием
5775
-
Компьютерная томография ВНЧС двух суставов в двух положениях с описанием для др. ЛПУ
8663
-
Определение смыкания зубов при помощи аппарата Миотроник
7272
Капы для исправления прикуса
-
Изготовление ретенционой капы прозрачной
6971
-
Коррекция прикуса с использованием съемныхи несъемных ортопедических конструкций, контрольный прием при лечении сплинтом, шиной, капой, коррекция капы на этапе лечения
5539
Керамические брекеты
-
Керамические самолигирующие брекеты Damon Clear 20 шт. (брекеты и замки на две челюсти)
196227
-
Керамические самолигирующие брекеты Кларити 20 шт. (брекеты и замки на две челюсти)
77814
Кондилография
-
Кондилография
38588
-
Кондилография (повторная)
16538
Лечение ВНЧС
-
Коррекция прикуса с использованием съемных и несъемных конструкций, окклюзионная каппа для лечения дисфункции ВНЧС (СПЛИНТ)
35137
-
Прием (осмотр, консультация) врача-стоматолога. Повторная консультация специалиста по итогам результатов исследования ВНЧС
3750
Лечение с помощью пластинок
-
Изготовление и установка Аппарата HAAS Марко Росса
60764
-
Изготовление и установка Аппарата Twin-block
44163
-
Изготовление Пластинки без винта
22533
-
Изготовление Пластинки с винтом
24501
-
Изготовление Пластинки с винтом Бертони
27348
-
Изготовление Пластинки с двумя винтами
25263
-
Изготовление пластинки с заслонкой для языка
22141
-
Изготовление Пластинки с тремя винтами
26723
Лечение элайнерами 3D Smile
-
Ортодонтическая коррекция съемным ортодонтическим аппаратом системы капп 3D-Smile для исправления аномалий прикуса (короткий курс)
146262
-
Ортодонтическая коррекция съемным ортодонтическим аппаратом системы капп 3D-Smile для исправления аномалий прикуса (полный курс)
263271
-
Ортодонтическая коррекция съемным ортодонтическим аппаратом системы капп 3D-Smile для исправления аномалий прикуса (суперкороткий курс)
75619
-
Прогнозирование результата лечения элайнерами 3D-Smile на основании КТ с моделированием движения корней (Виртуальный сетап)
87757
-
Прогнозирование результата лечения элайнерами 3D-Smile на основании ОПТГ (Виртуальный сетап)
43880
Лечение элайнерами Invisalign
-
1 посещение: слепки, заказ виртуального сетапа
48736
-
Ортодонтическая коррекция съемным ортодонтическим аппаратом системы капп Invisalign (14 шт.)
352884
-
Ортодонтическая коррекция съемным ортодонтическим аппаратом системы капп Invisalign (от 15 шт.)
468035
Лечение элайнерами StarSmile
-
1 посещение: слепки, заказ виртуального сетапа
37414
-
Ортодонтическая коррекция съемным ортодонтическим аппаратом системы капп Star Smile 10 шт
96533
-
Ортодонтическая коррекция съемным ортодонтическим аппаратом системы капп Star Smile 20 шт
176979
-
Ортодонтическая коррекция съемным ортодонтическим аппаратом системы капп Star Smile Full (от 21 шт.)
305688
-
Ортодонтическая коррекция съемным ортодонтическим аппаратом системы капп Star Smile 5шт
48270
Лингвальные брекеты Incognito
-
Лингвальные брекеты Incognito (за 1 челюсть)
173250
Металлические брекеты
-
Металлические лигатурные брекеты Thino (брекеты и замки на одну челюсть)
13929
-
Металлические самолигирующие брекеты Damon Q или Q2 (брекеты и замки на одну челюсть)
63657
-
Ортодонтическая коррекция - Применение брекет-системы Металлические брекеты Discovery (брекеты и замки на одну челюсть)
36568
Открытый прикус
-
Аксиография (цифровая) височно-нижнечелюстного сустава
31598
-
Изготовление ретенционой капы прозрачной, одна челюсть
7807
-
Компьютерная томография челюстно-лицевой области
4213
-
Компьютерная томография челюстно-лицевой области, расширенная ДКТ челюстно-лицевой области (17х21)
4814
-
Контрольные приемы
533
-
Коррекция прикуса с использованием съемных и несъемных конструкций, окклюзионная каппа для лечения дисфункции ВНЧС (СПЛИНТ)
38333
-
Ортодонтическая коррекция - Применение брекет-системы керамические самолигирующие брекеты Damon Clear 20 шт. (брекеты и замки на две челюсти)
217030
-
Ортодонтическая коррекция - Применение брекет-системы керамические самолигирующие брекеты Кларити 20 шт. (брекеты и замки на две челюсти)
80927
-
Ортодонтическая коррекция - Применение брекет-системы Металлические самолигирующие брекеты Damon Q или Q2 (брекеты и замки на одну челюсть)
66204
-
Ортодонтическая коррекция - Применение брекет-системы Н4 20 шт. (брекеты и замки на две челюсти)
130739
-
Ортодонтическая коррекция - фиксация вестибулярных брекетов в полости рта (за 1 челюсть)
33378
-
Ортодонтическая коррекция съемным ортодонтическим аппаратом системы капп 3D-Smile для исправления аномалий прикуса (короткий курс)
152112
-
Ортодонтическая коррекция съемным ортодонтическим аппаратом системы капп 3D-Smile для исправления аномалий прикуса (полный курс)
273801
-
Ортодонтическая коррекция съемным ортодонтическим аппаратом системы капп 3D-Smile для исправления аномалий прикуса (суперкороткий курс)
78644
-
Ортодонтическая коррекция съемным ортодонтическим аппаратом системы капп 3D-Smile для исправления аномалий прикуса на одной челюсти
182534
-
Ортодонтическая коррекция съемным ортодонтическим аппаратом системы капп 3D-Smile с моделированием движения корней для исправления аномалий прикуса (безлимитный курс)
304224
-
Ортодонтическое скрепление металлической проволокой - Установка Несъемного ретейнера (1 зубной ряд)
25617
-
Планирование лечения элайнерами на основании анализа диагностических моделей
11620
-
Прием (осмотр, консультация) врача-ортодонта первичный
1838
-
Проведение Расширенной 3D-цефалометрии
7875
-
Проведение Стандартной 3D-цефалометрии
7350
-
Прогнозирование результата лечения элайнерами (Виртуальный сетап)
28287
-
Прогнозирование результата лечения элайнерами 3D-Smile на основании КТ с моделированием движения корней (Виртуальный сетап)
91267
-
Прогнозирование результата лечения элайнерами 3D-Smile на основании ОПТГ (Виртуальный сетап)
45634
-
Услуги по обслуживанию ортодонических аппаратов - снятие брекет-системы (1 челюсть)
6361
Ретейнеры
-
Изготовление ретенционной пластинки, 1 челюсть
13752
-
Установка несъемного ретейнера (1 зубной ряд)
22872
Снятие брекет-системы
-
Изготовление ретенционой капы прозрачной, одна челюсть
6971
-
Ортодонтическое скрепление металлической проволокой - Установка Несъемного ретейнера (1 зубной ряд)
22872
-
снятие брекет-системы (1 челюсть)
5679
Трейнеры
-
Ортодонтическая коррекция съемным ортодонтическим аппаратом - трейнером для брекетов
12987
-
Ортодонтическая коррекция съемным ортодонтическим аппаратом - трейнером преортодонтическим
16467
-
Ортодонтическая коррекция съемным ортодонтическим аппаратом - трейнером финишным ретенционным
13718
Эстетическая стоматология
Виниры
-
Восстановление зуба виниром Cerec из керамики Empress (без стоимости слепков)
37926
-
Восстановление зуба виниром Cerec из керамики Emах (без стоимости слепков)
43388
-
Восстановление зуба виниром Cerec из полевошпатной керамики (без стоимости слепков)
37926
Отбеливание зубов
-
Профессиональное отбеливание зубов клиническое системой ZOOM 4 в лечебных целях
37496
Пародонтология
-
Закрытый кюретаж при заболеваниях пародонта в области зуба
1863
-
Открытый кюретаж при заболеваниях пародонта в области зуба
5303
Лечение десен
-
Закрытый кюретаж (за 1 зуб)
1863
-
Открытый кюретаж (за 1 зуб)
5303
-
Удаление наддесневых и поддесневых зубных отложений с применением аппарата Вектор ( за 1 ед)
1577
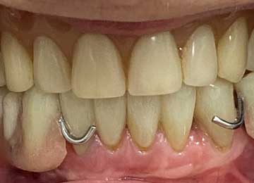
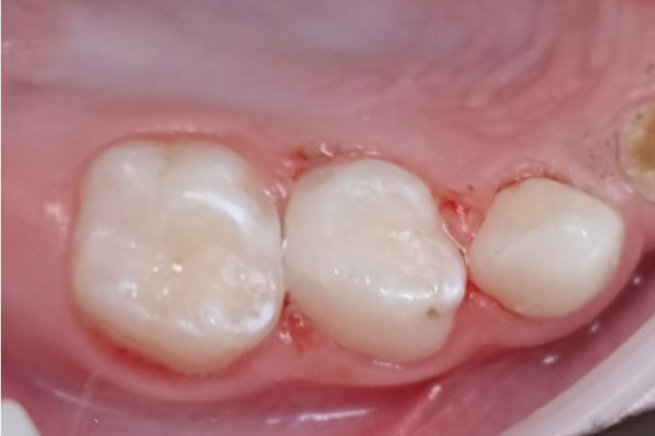
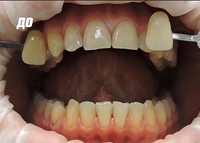
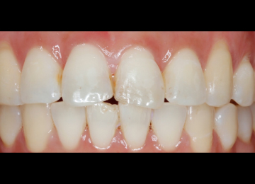
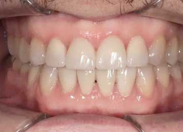
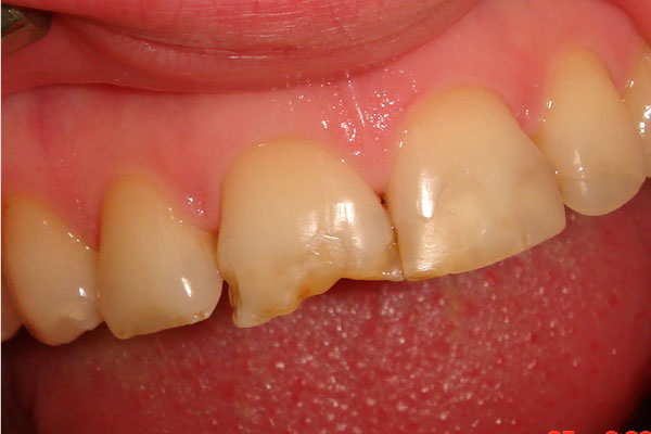
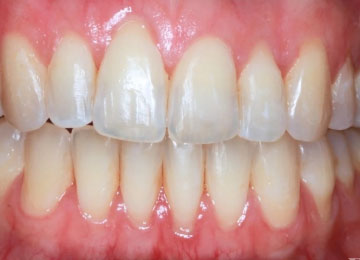
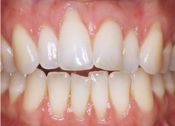
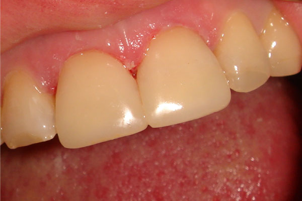
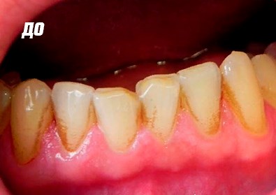
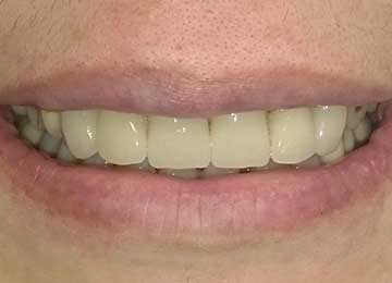
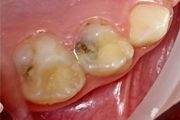
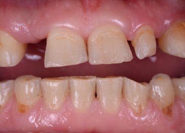
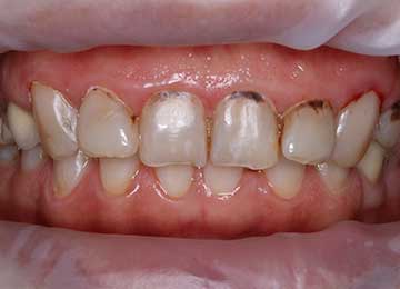
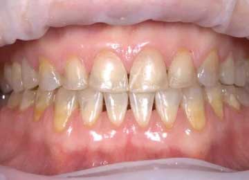
Примеры лечения зубов
Акции
Наши клиники
Детское отделение
Клиника «Эксперт»
Центр экспертной ортодонтии и цифровой стоматологии
Пн-Вс: 08:00 - 21:00
Санитарный час: 14:00 - 15:00