Ежедневно с 8:00 до 21:00

+7 (495) 324-50-50

пр. Космонавтов, д.11

+7 (495) 151-88-18

Детское отделение

+7 (495) 989-00-48

пр. Космонавтов, д.37

+7 (495) 156-20-30

ул. Терешковой, д.8

+7 (495) 104-42-00

отдел качества

+7 (495) 801-68-68

Общий телефон

+7 (495) 324-50-50

пр. Космонавтов, д.11

+7 (495) 151-88-18

Детское отделение

+7 (495) 989-00-48

пр. Космонавтов, д.37

+7 (495) 156-20-30

ул. Терешковой, д.8

+7 (495) 104-42-00

отдел качества

Ежедневно с 8:00 до 21:00

Взрослая стоматология
Детская стоматология
+7 (495) 801-68-68

Общий телефон

+7 (495) 324-50-50

пр. Космонавтов, д.11

+7 (495) 151-88-18

Детское отделение

+7 (495) 989-00-48

пр. Космонавтов, д.37

+7 (495) 156-20-30

ул. Терешковой, д.8

+7 (495) 104-42-00

отдел качества

Взрослая стоматология
Детская стоматология

Ортопед

Гордеева Елена Николаевна

  • Цифровое планирование лечения с использованием ИИ
  • Эксперт по эстетической реабилитации
  • Специалист по работе с технологиями CAD/CAM
Гордеева Елена Николаевна
Елена Николаевна - опытный и высококвалифицированный стоматолог-ортопед с 36-летним стажем работы. Профессионализм, талант и стремление помогать пациентам делают доктора одним из лучших специалистов в области ортопедии и стоматологии.

Основные направления деятельности Елены Николаевны включают:
- Проведение ортопедического лечения любой сложности, обеспечивая пациентам качественную помощь в восстановлении зубного ряда;
- Осуществление всех видов съемного и несъемного протезирования с применением современных технологий и материалов;
- Владение методикой препарирования зубов под микроскопом, что позволяет обеспечить точность и качество лечебных манипуляций;
- Проведение эстетической реставрации, микропротезирования и протезирования на имплантах для достижения оптимальных результатов и удовлетворения пожеланий пациентов по внешнему виду и функциональности зубов.

Наши пациенты часто рекомендуют доктора своим друзьям и знакомым. Это свидетельствует о доверии и уважении, которые доктор завоевала благодаря своему профессионализму, заботе и индивидуальному подходу к каждому человеку. Ее умение уделять внимание деталям, стремление к совершенству и высокие стандарты качества помогают достигать отличных результатов и укрепляют позиции доктора среди пациентов и коллег.

Стаж работы

25 лет

Принимает клиниках

  • г. Королёв, пр. Космонавтов, 37

Специализация

  • Ортопед

Сертификаты

3863
807
808
809
810
811
812
813
814
815
816
817
818
819
820
821
822
823
824
825

Отзывы по врачу

Читать все отзывы

Врач: Гордеева Елена Николаевна

Выражаю огромную благодарность врачу-ортопеду Гордеевой Елене Николаевне, врачу-хирургу Нечаеву Георгию Ивановичу за высокий профессионализм, внимание, доброе отношение. Я очень довольна результатом, вы просто волшебники, дарящие людям радость, улыбк...
Выражаю огромную благодарность врачу-ортопеду Гордеевой Елене Николаевне, врачу-хирургу Нечаеву Георгию Ивановичу за высокий профессионализм, внимание, доброе отношение. Я очень довольна результатом, вы просто волшебники, дарящие людям радость, улыбку, комфорт и здоровье. Желаю творческих успехов в вашем благородном труде! С уважением, Серенко О.
Показать весь отзыв

Врач: Гордеева Елена Николаевна

Очень благодарна ортопеду Гордеевой Елене Николаевне! Спасибо большое, я снова с зубами!

Врач: Гордеева Елена Николаевна


Я хочу выразить глубокую благодарность коллективу клиники Интердентос (Королев, Космонавтов 37). Начиная с конца 2020 года, я являюсь постоянным пациентом клиника. Я удаляла зубы, мне ставили имплантаты на нижнюю и верхнюю че...

<p>
Я хочу выразить глубокую благодарность коллективу клиники Интердентос (Королев, Космонавтов 37). Начиная с конца 2020 года, я являюсь постоянным пациентом клиника. Я удаляла зубы, мне ставили имплантаты на нижнюю и верхнюю челюсти, изготавливали протезы, делали рентгеновские снимки. Я очень довольна, что попала именно в клинику Интердентос. Я встретилась с врачами Нечаевым Георгием Ивановичем, Гордеевой Еленой Николаевной - которые являются прекрасными профессионалами. Им ассистируют прекрасные медицинские сестры.
</p>
Отдельно мне хочется отметить, что весь персонал клиники: врачи, сестры,
менеджер Наталья, девочки на ресепшн не просто вежливы, потому что положение
обязывает, но по-настоящему душевные, расположенные к пациентам люди. Всем им мне
хочется сказать огромное спасибо!
Показать весь отзыв

Врач: Гордеева Елена Николаевна


Выражаю большую благодарность Гордеевой Елене Николаевне за высокий профессионализм, внимание и доброжелательность. Желаю здоровья, счастья и благополучия.

...
<p>
Выражаю большую благодарность Гордеевой Елене Николаевне за высокий профессионализм, внимание и доброжелательность. Желаю здоровья, счастья и благополучия.
</p>
Показать весь отзыв

Врач: Гордеева Елена Николаевна


Спасибо большое Елене Николаевне Гордеевой!!! Очень внимательный и профессиональный врач! Всегда качественное выполнение работы. Всегда работает с настроением и улыбкой, всегда подбадривает.



Хо...

<p>
Спасибо большое Елене Николаевне Гордеевой!!! Очень внимательный и профессиональный врач! Всегда качественное выполнение работы. Всегда работает с настроением и улыбкой, всегда подбадривает.
</p>
<p>
Хочу пожелать Елене Николаевне профессионального роста и успехов в карьере!
</p>
Показать весь отзыв

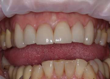
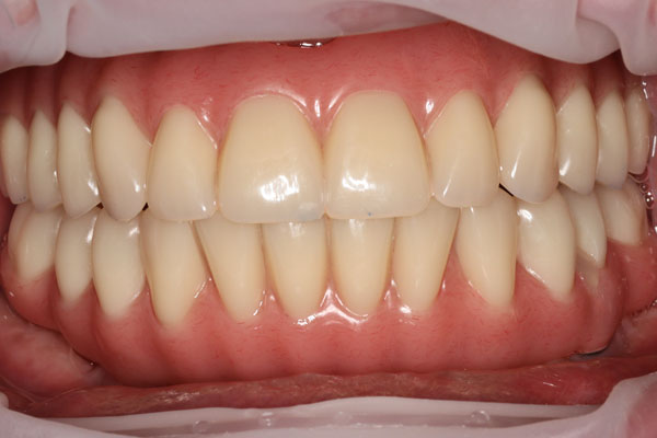
Работы врача

Фото ДО
Фото ПОСЛЕ

Наведите для просмотра

тотальное протезирование верхней и нижней челюсти

Фото ДО
Фото ПОСЛЕ

Наведите для просмотра

Виниры

Фото ДО
Фото ПОСЛЕ

Наведите для просмотра

Цельнокерамические коронки и виниры - ВЧ

Клиники, в которых принимает специалист

Центр экспертной ортодонтии и цифровой стоматологии

Консилиум врачей в подарок Получить подарок