Ежедневно с 8:00 до 21:00

+7 (495) 324-50-50

пр. Космонавтов, д.11

+7 (495) 151-88-18

Детское отделение

+7 (495) 989-00-48

пр. Космонавтов, д.37

+7 (495) 156-20-30

ул. Терешковой, д.8

+7 (495) 104-42-00

отдел качества

+7 (495) 801-68-68

Общий телефон

+7 (495) 324-50-50

пр. Космонавтов, д.11

+7 (495) 151-88-18

Детское отделение

+7 (495) 989-00-48

пр. Космонавтов, д.37

+7 (495) 156-20-30

ул. Терешковой, д.8

+7 (495) 104-42-00

отдел качества

Ежедневно с 8:00 до 21:00

Взрослая стоматология
Детская стоматология
+7 (495) 801-68-68

Общий телефон

+7 (495) 324-50-50

пр. Космонавтов, д.11

+7 (495) 151-88-18

Детское отделение

+7 (495) 989-00-48

пр. Космонавтов, д.37

+7 (495) 156-20-30

ул. Терешковой, д.8

+7 (495) 104-42-00

отдел качества

Взрослая стоматология
Детская стоматология

Гигиена полости рта

Важнейшим и неотъемлемым этапом стоматологических лечебных мероприятий является профессиональная гигиена полости рта. Она заключается в удалении зубного мягкого налета и зубных камней. Во всех наших клиниках эта процедура выполняется стоматологическим гигиенистом.
9 клиник

9 клиник

В 5 городах подмосковья:
Королёв, Мытищи, Щёлково, Пушкино и Балашиха.
с 1998 года

с 1998 года

Многолетний накопленный опыт и собственная научная база позволяет решать даже самые сложные случаи
250 тысяч пациентов

250 тысяч пациентов

Доверили нам своё здоровье.
80% из них
— пришли к нам по рекомендациям
-0

Как проводится профессиональная гигиена полости рта?

  • Cначала чистятся зубные камни, затем пигментированный налет. Удаление зубного камня с помощью ультразвукового скайлера - процедура безболезненная, не травматичная, не вредная для эмали зубов. Ультразвуковой скайлер создает колебательные движения, в результате чего происходит сбивание зубных камней.
  • Для снятия пигментированного налёта применяется порошково-струйное воздействие Air-flow. Метод Air-flow состоит в направленной подаче струи аэрозоля, содержащего воду и абразивное средство. Струя аэрозоля сбивает темный налет. Зубы становятся на два тона светлее.
  • Обязательно покрытие фторсодержащим гелем или лаком, для устранения повышенной чувствительности эмали.
  • Процедура чистки зубов занимает от 30 минут до 1,5 часов.

Быстрая запись на приём

Оставьте номер телефона и администратор перезвонит Вам в течение 5 минут.

img

Спасибо!

Наши специалисты свяжутся с вами в ближайшее время.

Ежедневно с 8:00 до 21:00

+7 (495) 801-68-68

Общий телефон

+7 (495) 324-50-50

пр. Космонавтов, д.11

+7 (495) 151-88-18

Детское отделение

+7 (495) 989-00-48

пр. Космонавтов, д.37

+7 (495) 156-20-30

ул. Терешковой, д.8

+7 (495) 104-42-00

отдел качества

Услуги

Услуги

Врачи гигиенисты

Все врачи

Цены на гигиену полости рта

Все цены

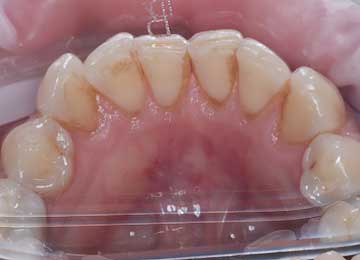
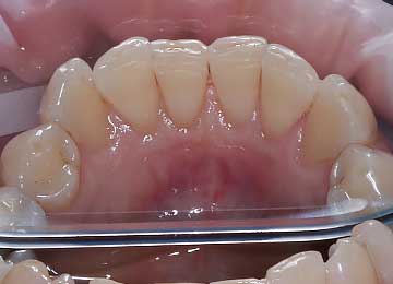
Гигиена полости рта - Фото До и После

Фото ДО
Фото ПОСЛЕ

Наведите для просмотра

Гигиена полости рта

Фото ДО
Фото ПОСЛЕ

Наведите для просмотра

Гигиена полости рта

Фото ДО
Фото ПОСЛЕ

Наведите для просмотра

Гигиена полости рта

Фото ДО
Фото ПОСЛЕ

Наведите для просмотра

Гигиена полости рта

Фото ДО
Фото ПОСЛЕ

Наведите для просмотра

Гигиеническая чистка

Фото ДО
Фото ПОСЛЕ

Наведите для просмотра

Гигиеническая чистка

Фото ДО
Фото ПОСЛЕ

Наведите для просмотра

Гигиена полости рта

Фото ДО
Фото ПОСЛЕ

Наведите для просмотра

Гигиена полости рта

Фото ДО
Фото ПОСЛЕ

Наведите для просмотра

Гигиена полости рта

Фото ДО
Фото ПОСЛЕ

Наведите для просмотра

Профессиональная гигиена полости рта

Фото ДО
Фото ПОСЛЕ

Наведите для просмотра

Гигиена полости рта

Фото ДО
Фото ПОСЛЕ

Наведите для просмотра

Гигиена полости рта

Фото ДО
Фото ПОСЛЕ

Наведите для просмотра

Гигиена полости рта

Фото ДО
Фото ПОСЛЕ

Наведите для просмотра

Гигиена полости рта

Наши клиники

Детское отделение

Клиника «Эксперт»

Центр экспертной ортодонтии и цифровой стоматологии

Клиника экстренной помощи

Наши лицензии

Лечение проводится на основании действующих медицинских лицензий Л041-01162-50/00360420 и Л041-01162-50/00367813. Это гарантирует, что все процедуры — от диагностики до реставрации — выполняются безопасно, с использованием сертифицированных материалов и оборудования, в строгом соответствии с российскими стандартами.

Л041-01162-50/00360420 Л041-01162-50/00360420

Открыть PDF
Л041-01162-50/00367813-1 Л041-01162-50/00367813

Л041-01162-50/00367813-2 Л041-01162-50/00367813

Л041-01162-50/00367813-3 Л041-01162-50/00367813

Л041-01162-50/00367813-4 Л041-01162-50/00367813

Л041-01162-50/00367813-5 Л041-01162-50/00367813

Л041-01162-50/00367813-6 Л041-01162-50/00367813

Л041-01162-50/00367813-7 Л041-01162-50/00367813

Л041-01162-50/00367813-8 Л041-01162-50/00367813

Л041-01162-50/00367813 Л041-01162-50/00367813

Открыть PDF

Как возникают зубные отложения?

Во-первых, если индивидуальная гигиена полости рта неудовлетворительна, то образуется зубная бляшка, на поверхности которой идет формирование, накопление мягкого зубного налета и его постепенное распространение на поверхности зубов.

Во-вторых, под воздействием микрофлоры полости рта, продуктов их распада, происходит постепенная минерализация зубного налета и его превращение в твердый зубной камень.

Зачем делать профессиональную чистку зубов?

Профессиональную чистку зубов необходимо проводить перед терапевтическим, ортопедическим, хирургическим и ортодонтическим лечением.

В терапии - облегчается доступ и пломбировка кариозных полостей разной степени сложности, отсутствие кровоточивости позволяет пломбировать зубы в одно посещение, не нарушая технологий, и качественно использовать современные реставрационные материалы (подбор цвета);

В ортопедии - быстрое и эффективное препарирование зубов под несъемные конструкции, качественные оттиски опорных зубов и окружающих зубы тканей;

В пародонтологии - уменьшение времени на проведение консервативной терапии заболеваний десен, на подготовку пациентов к хирургическому лечению, а так же быстрое купирование воспаления пародонта; Регулярная профгигиена пациентам с заболеваниями пародонта препятствует дальнейшему распространению зубного камня внутрь по корню зуба и образованию клубоких зубодесневых карманов.

В имплантологии - предотвращение образования на поверхности имплантата микробного налета, своевременное и регулярное его снятие обеспечивает хорошие результаты имплантации.

Реминерализируюущая терапия после гигиены для профилактики кариеса:

Процесс реминерализации эмали зубов — это ее насыщение минеральными компонентами, приводящее к восстановлению ее структуры. Реминерализацию зубов проводят с применением составов, содержащих кальций и фосфор. Для повышения эффективности ремтерапию сочетают с применением фторидсодержащих препаратов

Показания для проведения ремтерапии:

  • всем пациентам (взрослым и детям), имеющим кариес зубов, перед пломбированием для восстановления эмали по краю кариозных полостей, и в дальнейшем, для увеличения срока службы пломб
  • с целью профилактики кариеса – у детей в период незрелой эмали, у беременных и кормящих женщин – эмаль становится более прочной и устойчивой к растворению
  • при начальном кариесе в стадии белого пятна – происходит насыщение ослабленного участка эмали минералами,  уменьшение или полное исчезновение пятна
  • при некариозных поражениях зубов (флюороз, гипоплазия эмали, эрозия эмали зубов, клиновидный дефект, патологическая стираемость и пр.)– для снижения повышенной чувствительности зубов и укрепления пораженных тканей, пятна на эмали становятся менее заметными, появляется блеск эмали
  • для снижения повышенной чувствительности зубов – эффект связан с восстановление структуры эмали, в то время как большинство средств для снижения повышенной чувствительности запечатывают дентинные канальцы, не влияя на растворимость эмали
  • в период отбеливания зубов и по завершении - с целью снижения риска кариеса, стабилизации результатов отбеливания и снижения повышенной чувствительности
  • в процессе ортодонтического лечения и по завершении – для лечения начальных форм кариеса и профилактики кариеса

Ремтерапию можно проводить как в клинике, на приеме гигиениста, так и в домашних условиях. Сегодня производители средств для индивидуальной гигиены полости рта предлагают препараты для ремтерапии, которые Вы можете приобрести в наших клиниках.

Консилиум врачей в подарок Получить подарок