Ежедневно с 8:00 до 21:00

+7 (495) 324-50-50

пр. Космонавтов, д.11

+7 (495) 151-88-18

Детское отделение

+7 (495) 989-00-48

пр. Космонавтов, д.37

+7 (495) 156-20-30

ул. Терешковой, д.8

+7 (495) 104-42-00

отдел качества

+7 (495) 801-68-68

Общий телефон

+7 (495) 324-50-50

пр. Космонавтов, д.11

+7 (495) 151-88-18

Детское отделение

+7 (495) 989-00-48

пр. Космонавтов, д.37

+7 (495) 156-20-30

ул. Терешковой, д.8

+7 (495) 104-42-00

отдел качества

Ежедневно с 8:00 до 21:00

Взрослая стоматология
Детская стоматология
+7 (495) 801-68-68

Общий телефон

+7 (495) 324-50-50

пр. Космонавтов, д.11

+7 (495) 151-88-18

Детское отделение

+7 (495) 989-00-48

пр. Космонавтов, д.37

+7 (495) 156-20-30

ул. Терешковой, д.8

+7 (495) 104-42-00

отдел качества

Взрослая стоматология
Детская стоматология

Стоматолог

Калашникова (Мишина) Надежда Владимировна

  • Эксперт по лечению кариеса и его осложнений
  • Восстановление глубоко разрушенных зубов
  • Владеет методикой психологической адаптация взрослых пациентов к стоматологическому приему.
Калашникова (Мишина) Надежда Владимировна
Надежда Владимировна - опытный врач-терапевт, эндодонтист и кариесолог медицинского центра. Стаж работы доктора 15 лет. Зарекомендовала себя специалистом, способным решать самые сложные случаи в области стоматологии.

В своей практике Надежда Владимировна специализируется на восстановлении сложных зубов с помощью инновационного аппарата Церек, что позволяет восстанавливать сильно разрушенные зубы за одно посещение. Она также проводит лечение кариеса под микроскопом, успешно справляясь с самыми сложными каналами. Доктор выполняет эстетические реставрации зубов, делая улыбки своих пациентов еще более привлекательными.

Надежда Владимировна предлагает своим пациентам лечение под седацией и наркозом в сопровождении опытных анестезиологов, особенно для тех, кто испытывает сильный страх перед стоматологическими процедурами. Её заботливый и профессиональный подход к каждому пациенту создает атмосферу комфорта и доверия, что позволяет даже самым настороженным пациентам пройти лечение без лишних стрессов.

Пациенты Надежды Владимировны часто наблюдаются у неё семьями и с удовольствием рекомендуют доктора своим друзьям и близким. Ее профессионализм, отзывчивость и высокий уровень мастерства делают ее одним из лучших специалистов медицинского центра, вызывающим искреннее доверие пациентов.

Стаж работы

15 лет

Принимает клиниках

  • пр. Космонавтов, 11

Специализация

  • Стоматолог

Сертификаты

443
444
445
446
447
448
449
450
451
452
453
454
455

Отзывы по врачу

Читать все отзывы

Врач: Калашникова (Мишина) Надежда Владимировна

Реставрация, которую не отличить от своих зубов
После падения скололся передний зуб — переживала, что будет видно. Но Надежда Владимировна сделала реставрацию так, что даже я сама забываю, где пломба! Работает с ювелирной точностью, и всё в оди...
Реставрация, которую не отличить от своих зубов
После падения скололся передний зуб — переживала, что будет видно. Но Надежда Владимировна сделала реставрацию так, что даже я сама забываю, где пломба! Работает с ювелирной точностью, и всё в один визит. Спасибо за уверенность в улыбке!
Показать весь отзыв

Врач: Калашникова (Мишина) Надежда Владимировна

Лучшее отбеливание в моей жизни!
Делала отбеливание у Надежды Владимировны — зубы стали на 5 тонов светлее, и никакого дискомфорта! Врач объяснила все нюансы ухода, дала чек-лист, чтобы эффект сохранился. Очень деликатная и с отличным вкусом &#...
Лучшее отбеливание в моей жизни!
Делала отбеливание у Надежды Владимировны — зубы стали на 5 тонов светлее, и никакого дискомфорта! Врач объяснила все нюансы ухода, дала чек-лист, чтобы эффект сохранился. Очень деликатная и с отличным вкусом (подобрала идеальный оттенок).
Показать весь отзыв

Врач: Калашникова (Мишина) Надежда Владимировна

Спасла мой разрушенный зуб!
Пришла с почти безнадёжным зубом — думала, что придётся удалять. Но Надежда Владимировна сделала невозможное: вылечила каналы и поставила аккуратную пломбу. Всё без боли, с душой, и даже сэкономила мне деньги, не отп...
Спасла мой разрушенный зуб!
Пришла с почти безнадёжным зубом — думала, что придётся удалять. Но Надежда Владимировна сделала невозможное: вылечила каналы и поставила аккуратную пломбу. Всё без боли, с душой, и даже сэкономила мне деньги, не отправляя к хирургу. Теперь только к ней!
Показать весь отзыв

Врач: Калашникова (Мишина) Надежда Владимировна

Хочется сказать слова огромной благодарности стоматологу Надежде Владимировне Калашниковой. Я в течении 3 года езжу на лечение только к ней! Всегда доброжелательна, отзывчива, специалист своего дела! Огромное спасибо!...
Хочется сказать слова огромной благодарности стоматологу Надежде Владимировне Калашниковой. Я в течении 3 года езжу на лечение только к ней! Всегда доброжелательна, отзывчива, специалист своего дела! Огромное спасибо!
Показать весь отзыв

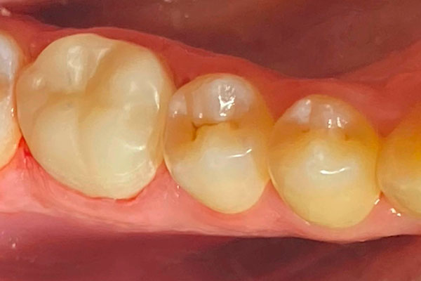
Работы врача

Фото ДО
Фото ПОСЛЕ

Наведите для просмотра

Лечение кариеса

Фото ДО
Фото ПОСЛЕ

Наведите для просмотра

Восстановление зуба керамической накладкой

Фото ДО
Фото ПОСЛЕ

Наведите для просмотра

Восстановление зуба керамической накладкой

Клиники, в которых принимает специалист

Клиника «Эксперт»

Консилиум врачей в подарок Получить подарок