Ежедневно с 8:00 до 21:00

+7 (495) 324-50-50

пр. Космонавтов, д.11

+7 (495) 151-88-18

Детское отделение

+7 (495) 989-00-48

пр. Космонавтов, д.37

+7 (495) 156-20-30

ул. Терешковой, д.8

+7 (495) 104-42-00

отдел качества

+7 (495) 801-68-68

Общий телефон

+7 (495) 324-50-50

пр. Космонавтов, д.11

+7 (495) 151-88-18

Детское отделение

+7 (495) 989-00-48

пр. Космонавтов, д.37

+7 (495) 156-20-30

ул. Терешковой, д.8

+7 (495) 104-42-00

отдел качества

Ежедневно с 8:00 до 21:00

Взрослая стоматология
Детская стоматология
+7 (495) 801-68-68

Общий телефон

+7 (495) 324-50-50

пр. Космонавтов, д.11

+7 (495) 151-88-18

Детское отделение

+7 (495) 989-00-48

пр. Космонавтов, д.37

+7 (495) 156-20-30

ул. Терешковой, д.8

+7 (495) 104-42-00

отдел качества

Взрослая стоматология
Детская стоматология

Ортопед

Потемкин Александр Сергеевич

  • Эксперт по эстетике улыбки
  • Специалист по сложным случаям 
  • Реставрация коронками и винирами
Потемкин Александр Сергеевич
Александр Сергеевич - опытный стоматолог-ортопед со стажем работы в стоматологии 13 лет. В медицинском центре доктор работает с 2022 года.

Доктор специализируется на всех видах съемных и несъемных ортопедических конструкций, что позволяет ему предоставлять широкий спектр услуг и подходить к лечению каждого пациента индивидуально и комплексно.

Благодаря широкому клиническому мышлению, доктор способен видеть проблему пациента комплексно, что позволяет ему разрабатывать наиболее эффективные планы лечения. Его ""легкая"" рука и внимательное отношение к пациентам создают доверительную обстановку на приеме. 

Александр Сергеевич - специалист, который не только обладает высоким профессионализмом, но и проникнут заботой о благополучии своих пациентов, стремясь обеспечить им наилучшее качество стоматологического лечения.

Стаж работы

12 лет

Принимает клиниках

  • г. Королёв, пр. Космонавтов, 37

Специализация

  • Ортопед

Сертификаты

1819
1820
1821
1822
1823
1824
1825
1826
1827
1828
1829
1830

Отзывы по врачу

Читать все отзывы

Врач: Потемкин Александр Сергеевич

Александр Сергеевич — настоящий мастер своего дела! Лечил у него дисфункцию ВНЧС. Врач внимательно выслушал мои жалобы и предложил эффективное решение. После лечения чувствую себя намного лучше — боль исчезла, и я снова могу жевать без дискомфорта....
Александр Сергеевич — настоящий мастер своего дела! Лечил у него дисфункцию ВНЧС. Врач внимательно выслушал мои жалобы и предложил эффективное решение. После лечения чувствую себя намного лучше — боль исчезла, и я снова могу жевать без дискомфорта.
Показать весь отзыв

Врач: Потемкин Александр Сергеевич

Я ходила к Александру Сергеевичу на имплантацию зубов после травмы. У меня были серьезные проблемы с потерей зубов, и врач предложил комплексное решение. После его работы чувствую себя увереннее в своей улыбке. Рекомендую всем!...
Я ходила к Александру Сергеевичу на имплантацию зубов после травмы. У меня были серьезные проблемы с потерей зубов, и врач предложил комплексное решение. После его работы чувствую себя увереннее в своей улыбке. Рекомендую всем!
Показать весь отзыв

Врач: Потемкин Александр Сергеевич

Обратился к Александру Сергеевичу с проблемой скученности зубов. Он предложил лечение брекетами и всё объяснил доступно, без сложных терминов. Процедура прошла комфортно, а результат превзошёл все ожидания — теперь мои зубы идеально ровные! Спасибо в...
Обратился к Александру Сергеевичу с проблемой скученности зубов. Он предложил лечение брекетами и всё объяснил доступно, без сложных терминов. Процедура прошла комфортно, а результат превзошёл все ожидания — теперь мои зубы идеально ровные! Спасибо врачу за профессионализм!
Показать весь отзыв

Врач: Гибадуллина Зухра Загидовна; Потемкин Александр Сергеевич

Являюсь пациентом клиники уже более 10 лет. Клиника вообще сразу понравилась, и со временем изменилась к лучшему в техническую сторону, а в "душевную" не изменилась совсем. Врачи профессионалы своего дела, и очень приветливые люди, что тоже...
Являюсь пациентом клиники уже более 10 лет. Клиника вообще сразу понравилась, и со временем изменилась к лучшему в техническую сторону, а в "душевную" не изменилась совсем. Врачи профессионалы своего дела, и очень приветливые люди, что тоже располагает. Делала в этой клинике много всего - и восстанавливала зубы у Гибадуллиной Зухры Загидовны (она чудесный врач и душевный человек), и проходила поэтапную имплантацию с помощью Александра Сергеевича Потёмкина (безусловный асс своего дела). Особо хочу отметить любую работу хирурга Лагутина Сергея Анатольевича, обращалась с разными проблемами, всё решалось чётко, профессионально и с попутными обьяснениями для "чайников". Понравилась работа терапевта реставратора зубов - Щербаковой Марии, рекомендую её! Ежегодная гигиена зубов тоже оставляет положительные впечатления. Особо хочу отметить работу менеджеров клиники, в частности Людмилы и Виктории - замечательные люди, всегда "слышат" Клиента и идут навстречу. И самое главное - цены в "эксперт" Клинике конечно высокие, но это не останавливает по причине 100-процентного доверия специалистам. Клинику однозначно рекомендую! Может и не дёшево, по сравнению с другими, но однозначно "вкусно"
Показать весь отзыв

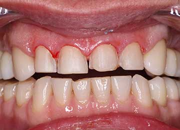
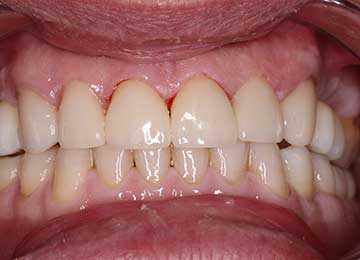
Работы врача

Фото ДО
Фото ПОСЛЕ

Наведите для просмотра

Установка виниров

Фото ДО
Фото ПОСЛЕ

Наведите для просмотра

Установка виниров

Клиники, в которых принимает специалист

Центр экспертной ортодонтии и цифровой стоматологии

Консилиум врачей в подарок Получить подарок